WHAT IS A SKIN BIOPSY?During a visit to the dermatologist (skin specialist), it is sometimes necessary to remove a small piece of skin for examination. This is called a skin biopsy . This piece of skin is usually removed with a punch, a small, apple-shaped instrument.
The "apple-shaped instrument" used to remove such a piece of skin is also called a punch biopsy . A punch biopsy is simply a steel tube with a sharp cutting edge. It is used to punch out a small tube of skin with a rotating motion. Punches are available in various sizes, ranging from small (1 or 2 mm in diameter) to large (8 or 10 mm in diameter).
Various sizes of punches (1, 2, 3, 4, 5, 6 and 8 mm)
WHEN IS A SKIN BIOPSY TAKEN?A skin biopsy is taken when a skin abnormality is not entirely clear. There are many skin conditions that a dermatologist can easily identify and diagnose without any doubt. However, sometimes the picture is unclear, and it's necessary to examine the skin under a microscope.
Biopsies are also often taken from moles to determine whether they are benign. Moles are often removed entirely for microscopic examination.HOW IS A SKIN BIOPSY TAKEN?The area where the skin biopsy will be taken is numbed by injecting a small amount of anesthetic (usually lidocaine). This is the same anesthetic used by dentists. The injection can be a little painful, but most patients find it very bearable. The biopsy is then removed by making a circular incision in the skin with a circular motion, then lifting it slightly with tweezers and cutting it off. This will leave a small round hole in the skin. This can be sutured, but this isn't essential. Small biopsy holes of 1-4 mm are usually not sutured. Larger holes of 4-8 mm are usually sutured, but even those aren't always sutured. A round hole in the skin heals very well and leaves a natural, round, and inconspicuous scar. The apple corer can also be used to remove moles with a nice round shape.
![Taking a biopsy (click on photo to enlarge) [source: www.huidziekten.nl] Taking a biopsy](../../images/surgery/biopt-afnemen-1z.jpg) |
![Taking a biopsy (click on photo to enlarge) [source: www.huidziekten.nl] Taking a biopsy](../../images/surgery/biopt-afnemen-2z.jpg) |
![Taking a biopsy (click on photo to enlarge) [source: www.huidziekten.nl] Taking a biopsy](../../images/surgery/biopt-afnemen-3z.jpg) |
| take a skin biopsy |
take a skin biopsy |
take a skin biopsy |
![Taking a biopsy (click on photo to enlarge) [source: www.huidziekten.nl] Taking a biopsy](../../images/surgery/biopt-afnemen-4z.jpg) |
![Taking a biopsy (click on photo to enlarge) [source: www.huidziekten.nl] Taking a biopsy](../../images/surgery/biopt-afnemen-5z.jpg) |
![Taking a biopsy (click on photo to enlarge) [source: www.huidziekten.nl] Taking a biopsy](../../images/surgery/biopt-afnemen-6z.jpg) |
| take a skin biopsy |
take a skin biopsy |
take a skin biopsy |
![Taking a biopsy (click on photo to enlarge) [source: www.huidziekten.nl] Taking a biopsy](../../images/surgery/biopt-afnemen-7z.jpg) |
![Taking a biopsy (click on photo to enlarge) [source: www.huidziekten.nl] Taking a biopsy](../../images/surgery/biopt-afnemen-8z.jpg) |
![Taking a biopsy (click on photo to enlarge) [source: www.huidziekten.nl] Taking a biopsy](../../images/surgery/biopt-afnemen-9z.jpg) |
| take a skin biopsy |
take a skin biopsy |
take a skin biopsy |
BIOPSY IN CHILDRENChildren don't enjoy a biopsy and often cry because they find the needle itself frightening. The pain can be reduced somewhat by applying a numbing cream (EMLA cream) beforehand and letting it work for 45 minutes. But even then, you'll still feel some of it. It's no worse than any other injection, or a vaccination at the child health clinic.OTHER FORMS OF BIOPSY TAKINGThe removal of a small area of skin (discussed in this brochure) is called a punch biopsy .
Moles that are convex and protrude slightly can be cut from the skin with a surgical knife or razor blade. This is called a shave biopsy .
Moles that are difficult to see from the outside can be cut into an oval shape and then sutured to leave a stripe-shaped scar. This is called an excisional biopsy .
COMPLICATIONSComplications after a biopsy may include post-operative bleeding or infection. This is rare. Post-operative bleeding can occur if a blood vessel is punctured, or in patients taking anticoagulation or with a clotting problem. In the event of post-operative bleeding, apply pressure to the wound for 20 minutes. In the case of an infection, the skin becomes red, warm, swollen, and painful. Antibiotics may be prescribed. If you experience any problems, contact the outpatient clinic or a GP.WHY DOES IT TAKE SO LONG FOR THE RESULTS TO BE KNOWN?After the biopsy is taken, it must undergo several processing steps in the laboratory before it can be examined under a microscope by the pathologist. The pathologist needs time to examine the skin sample. Sometimes, additional processing steps are required, such as special stains. It can also be difficult for the pathologist to determine what the biopsy might be. The pathologist consults with their colleagues. Sometimes, a special meeting is organized with the dermatologists, during which any photographs taken of the patient are also included. Sometimes, biopsies are even sent to pathologists at another hospital to obtain their opinion. The pathologist then also has to create a summary, which must be typed by a typist and sent to the doctor who requested it. All these steps are very time-consuming.
Therefore, it is difficult to predict how long it will take for the results to be available. Most results are available within two weeks. If it is truly urgent, the pathology laboratory can ensure that the biopsy can be reviewed by the pathologist within a few hours to a day. This sometimes happens with very sick patients or those with blisters. But usually, there's no real urgency.WHAT NEXT HAPPENS WITH THE BIOPSY THAT HAS BEEN TAKEN?First, it's placed in a container filled with formalin. The tissue remains intact in formalin for a very long time, even for years.
The container of formalin is delivered to the pathology lab. There, they slowly replace the formalin the sample is floating in with another liquid, usually alcohol. The pathology lab has equipment that slowly rotates the sample, gradually increasing the amount of alcohol and decreasing the amount of formalin in the containers.
![Editing a skin biopsy - in formalin (click on photo to enlarge) [source: www.pathologysciences.com] Editing a skin biopsy - in formalin](../../images/figures/biopsie/huidbiopt-3z.jpg) |
![Editing a skin biopsy - in alcohol (click on photo to enlarge) source: www.websites.labx.com] Editing a skin biopsy - in alcohol](../../images/figures/biopsie/huidbiopt-5z.jpg) |
| Jar of formalin |
Rotating containers with formalin and alcohol |
Next, the skin sample is placed in a container filled with liquid (heated) wax. The wax solidifies as it cools. The entire skin sample is then enclosed in a block of wax. The next step is cutting this block containing the skin sample into very thin slices. This is done in the pathology laboratory using a precision cutting device. The wafer-thin slices are then placed in a container of warm water. The wax makes them float. The temperature in the water bath is slowly increased, melting away any remaining wax. Only wafer-thin skin samples then float on the surface of the water. These skin slices are then placed on a glass slide. This is done by passing the slide under the thin skin slices floating on the warm water surface.
The slides containing the skin slices are then placed in an oven to dry and melt away any remaining wax.
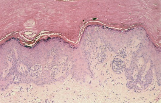
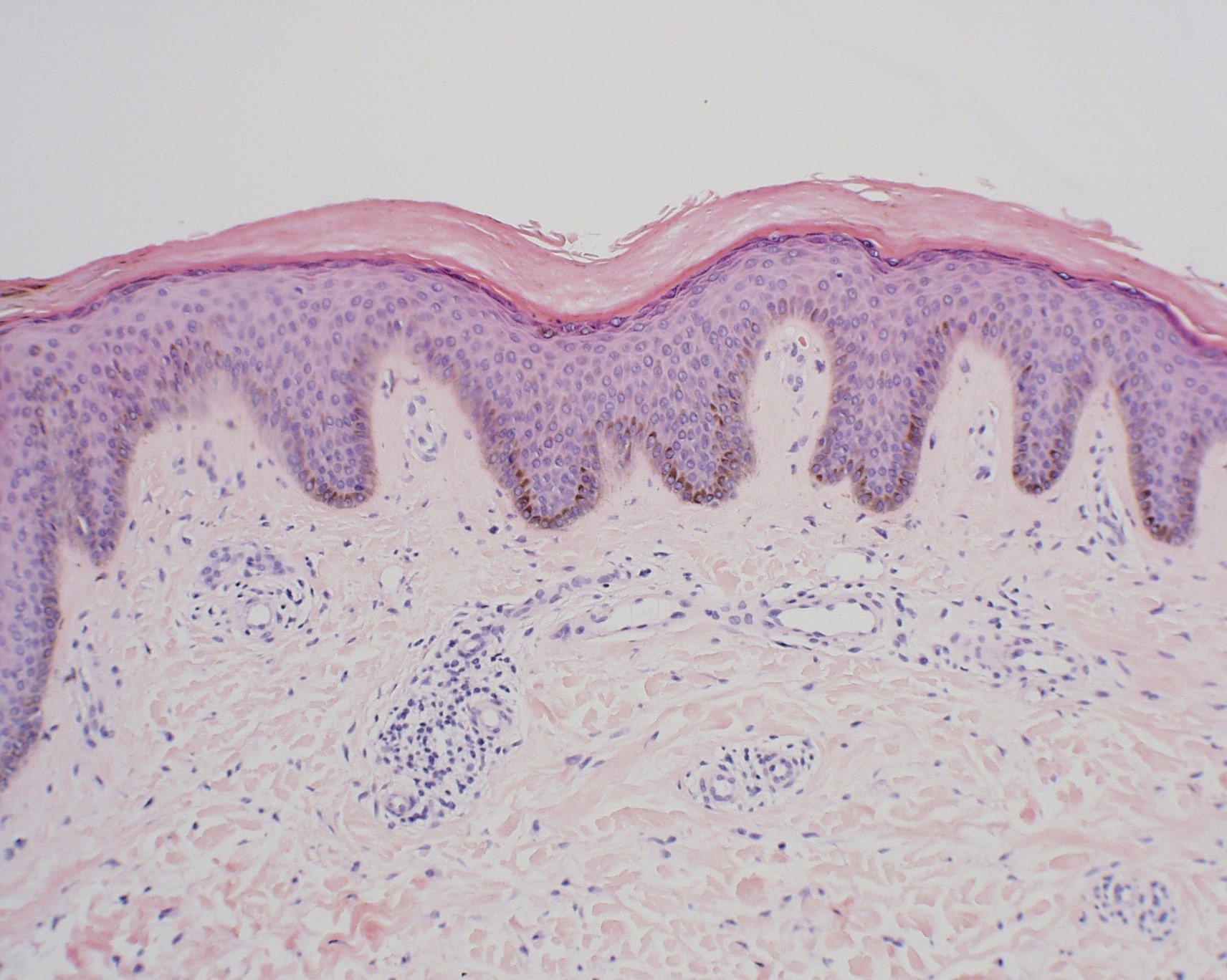
Finally, the skin samples are stained in various dye baths. The dyes ensure that the cells and various components are clearly visible. The pathologist places the slide under the microscope and tries to describe what is seen as accurately as possible. The pathologist has already received a list of possible skin conditions from the dermatologist and examines the most likely diagnosis under the microscope.
![Editing a skin biopsy - in formalin (click on photo to enlarge) [source: www.pathologysciences.com] Editing a skin biopsy - in formalin](../../images/figures/biopsie/huidbiopt-6z.jpg) |
![Editing a skin biopsy - in alcohol (click on photo to enlarge) source: www.websites.labx.com] Editing a skin biopsy - in alcohol](../../images/figures/biopsie/huidbiopt-7z.jpg) |
| Cast in wax |
Cutting |
![Editing a skin biopsy - in alcohol (click on photo to enlarge) source: www.websites.labx.com] Editing a skin biopsy - in alcohol](../../images/figures/biopsie/huidbiopt-8z.jpg) |
![Editing a skin biopsy - in alcohol (click on photo to enlarge) source: www.websites.labx.com] Editing a skin biopsy - in alcohol](../../images/figures/biopsie/huidbiopt-9z.jpg) |
| In a warm water tank |
Put on a glass |
![Editing a skin biopsy - in alcohol (click on photo to enlarge) source: www.websites.labx.com] Editing a skin biopsy - in alcohol](../../images/figures/biopsie/huidbiopt-10z.jpg) |
![Editing a skin biopsy - in alcohol (click on photo to enlarge) source: www.websites.labx.com] Editing a skin biopsy - in alcohol](../../images/figures/biopsie/huidbiopt-11z.jpg) |
| Applying dyes |
View under the microscope |
The end result: the skin seen through the microscope
|