ULCUS HYPERTENSIVUM / ULCUS HYPERTONICUM VAN MARTORELL home ICD10: L97

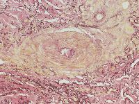
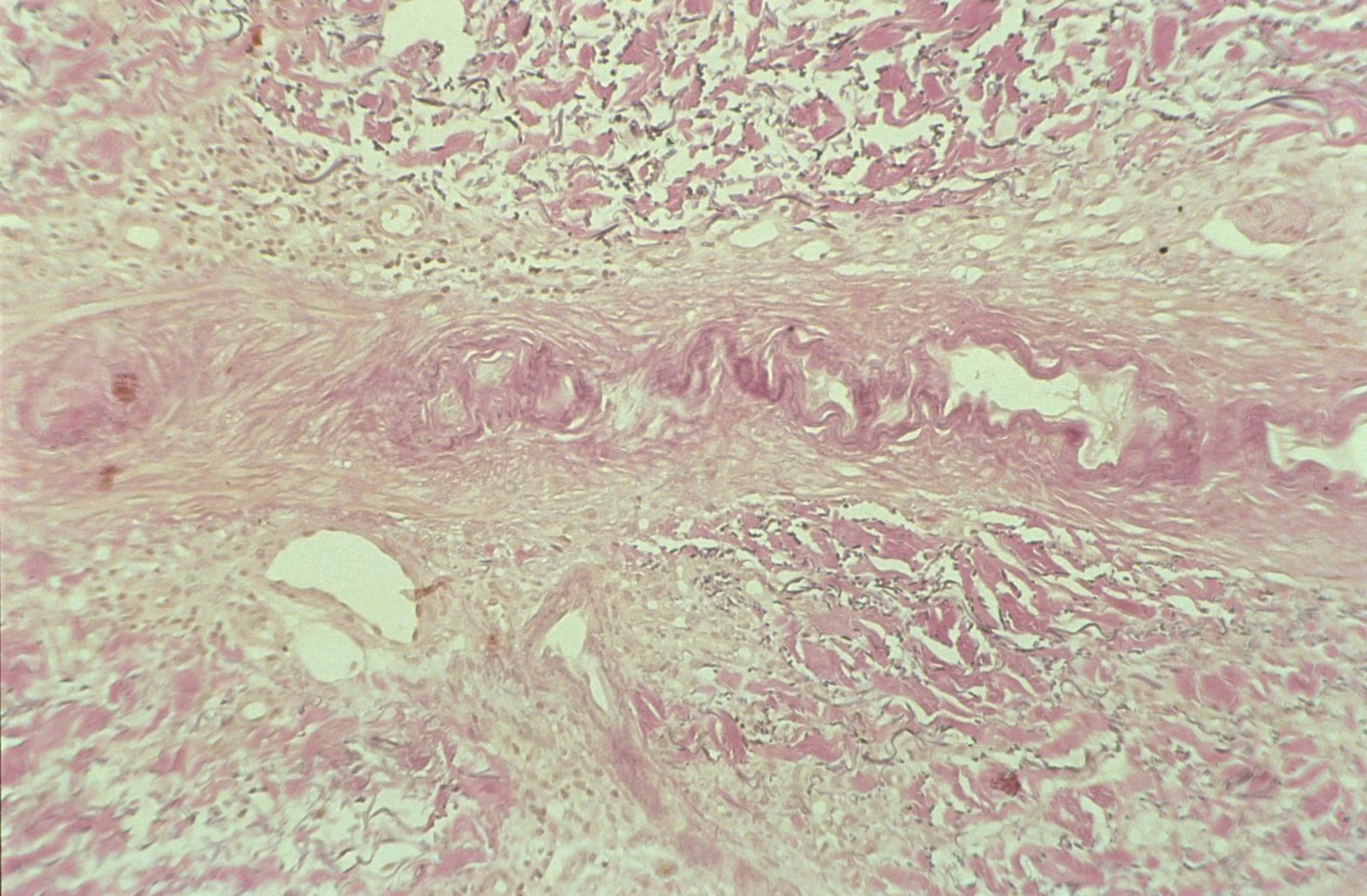
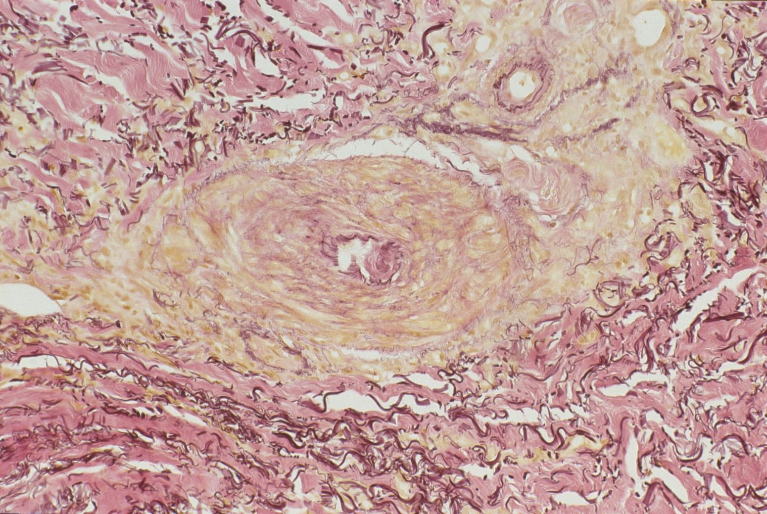
Het ulcus hypertensivum of ulcus van Martorell wordt veroorzaakt door hypertensie. Hypertensie is een bekende risicofactor voor hart en vaatziekten. Daarnaast kunnen bij hypertensie voorgeschreven antihypertensiva (bèta-blokkers) ischemie verergeren vanwege hun bijwerking perifere vasoconstrictie.[1] Het zeldzame ulcus hypertensivum van Martorell wordt gezien bij patiënten met langdurige, ernstige en meestal suboptimaal ingestelde hypertensie [2]. De ulceratie wordt veroorzaakt door ischemie ten gevolge van een verhoogde vaatweerstand. De ulcera zijn meestal gelokaliseerd op het onderbeen, boven het enkelgebied, zijn in het begin meestal zwart-necrotisch, en zeer pijnlijk. De anamnese past bij een arterieel ulcus (patiënt heeft het been het liefst omlaag hangen). De distale arteriële pulsaties zijn normaal. Met het gebruikelijke arteriële vaatlab zoals een enkel arm index en een arterieel Duplex onderzoek wordt de diagnose gemist. De diagnose wordt gesteld op het klinisch beeld, het histologisch beeld (uitgesproken hypertrofie van de media door toename van spierweefsel, een klein lumen van de musculaire arteriën waarin de intima gekronkeld ligt), en door het uitsluiten van andere oorzaken die in dit gebied necrotische ulcera kunnen veroorzaken (zie onder DD van ulcus cruris).

Ulcus hypertensivum Ulcus hypertensivum Ulcus hypertensivum
ulcus hypertensivum
van Martorell
media hypertrofie
en klein lumen
mediahypertrofie
arteriën


DD:
- occlusie van kleinere arterietakjes (huidinfarct) door andere oorzaken, b.v. arteriosclerose en/of diabetes
- vasculitis
- thrombo-emboliën (boezemfibrilleren, murale thrombi)
- hypercoagulabiliteit
- cryoglobulinemie
- hypercholesterolemie
- calciphylaxis
- pyoderma gangrenosum

Diagnostiek:
pulsaties voelen, temperatuur voet, capillary refill, enkel pols index, vaatlab (arterieel Duplexonderzoek)
routine bloedonderzoek inclusief cholesterol en triglyceriden
een ruim (5 mm) en diep biopt (om arterietakjes aan te treffen) aan de rand van het ulcus (rekening houdend met onderliggende anatomische structuren !)

Therapie:
De behandeling bestaat uit het omlaag brengen van de bloeddruk, het stoppen (vervangen) van de bèta-blokker, pijnbestrijding en adequate wondverzorging.
Bij stagnatie kan hyperbare zuurstof therapie de vorming van nieuwe bloedvaten bevorderen.
Een goede pijnbestrijding is noodzakelijk, dit maakt het mogelijk voor de patiënt om te gaan lopen, hetgeen goed is voor de circulatie.


Referenties
1. Diehm C. Effects of beta-adrenergic blocking drugs on arterial blood flow. VASA 1984;13:201-206.
2. Graves JW, Morris JC. Martorell's hypertensive leg ulcer: case report and concise review of the literature. J Hum Hypertens 2001;15:279-283.


Author(s):
dr. Jan R. Mekkes. Dermatologist, Amsterdam UMC.

31-05-2023 (JRM) - www.skin-diseases.eu Terug naar homepagina



Diagnosis codes:
ICD10 L97 Ulcus van onderste extremiteit, niet elders geclassificeerd: ulcus hypertonicum (hypertensivum) Martorell
ICD10 L97 Ulcer of lower limb, not elsewhere classified: hypertensive ischaemic ulcer (Martorell)
SNOMED 238795008 Hypertensive leg ulcer
DBC 22 Ulcus cruris