SCABIES NORVEGICA (SCABIES CRUSTOSA) home ICD10: B86

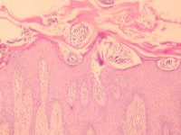
Scabies Norvegica (scabies crustosa) is een zeer besmettelijke vorm van verwaarloosde, soms niet herkende scabies (ooit in Noorwegen voor het eerst beschreven) die voorkomt bij bepaalde groepen patiënten (personen met een afweerstoornis, patiënten die immunosuppressiva gebruiken, patiënten met neuropathie, paresen of bewegingsbeperkingen, hoogbejaarden in zorginstellingen). Het wordt gekenmerkt door dikke witte of geelbruine hyperkeratose en schilfering, vooral op de romp, met fissuren en crustae, en papels en nodi op met name de extremiteiten. Soms zijn er juist opvallend weinig huidafwijkingen en blijft het klinische beeld beperkt tot een wat droge, schilferige huid en/of lijkt het op een eczemateuze aandoening. Bij gebruik van lokale of systemische corticosteroïden kan het beeld nog atypischer worden (scabies incognito). De anders zo uitgesproken jeuk kan verminderd of zelfs afwezig zijn. De mijten kunnen ook voorkomen op de behaarde hoofdhuid, handpalmen en voetzolen. Scabies crustosa kan overgaan in erytrodermie. Zie verder onder scabies.

Scabies (schurft) Scabies (schurft) Scabies (schurft)
scabies Norvegica scabies Norvegica scabies Norvegica

Scabies (schurft) Scabies (schurft) Scabies (schurft)
scabies Norvegica scabies Norvegica scabies Norvegica

Scabies norvegica Scabies norvegica Scabies norvegica
scabies crustosa (bij HIV) scabies crustosa (bij HIV) scabies crustosa (bij HIV)

Foto scabies Norvegica linksboven: Ukster1 - Wikimedia (Creative Commons License 1.0 - Public Domain Image).
Foto scabies Norvegica midden en rechtsboven: Ekmekci TR,  Koslu A. Dermatology Online Journal 2006;12(6):23 (Creative Commons License 4.0 - Public Access Journal).


De huidschilfers zitten vol mijten en jongere mijtenstadia. Het volstaat om wat schilfers af te schrapen van een hyperkeratotisch schilferend gebied en daar een KOH-preparaat van te maken, daar moeten dan tientallen mijten en eieren in te zien zijn om de diagnose scabies crustosa te mogen stellen. Deze schilfers zijn zeer besmettelijk. Door het krabben kunnen de met schurftmijt beladen huidschilfers door de kamer dwarrelen en anderen besmetten (verzorgers, medepatiënten, bezoekers, huishoudelijk personeel). Als een patiënt met scabies Norvegica in een instelling verblijft is dat een risico voor het personeel en gelden strengere isolatiemaatregelen. Iedereen die in de kamer geweest is moet preventief worden behandeld met éénmalig ivermectine. Zie ook de richtlijn van het RIVM voor de aanpak van een uitbraak van scabies. In instellingen indien mogelijk de patiënt om de week verplaatsen naar een schone kamer en de oude kamer 1 week niet betreden.

Scabies mijten in het KOH preparaat

Mijten bij scabies crustosa Mijten bij scabies crustosa
mijten bij scabies crustosa mijten bij scabies crustosa

Mijten bij scabies crustosa Mijten bij scabies crustosa
mijten bij scabies crustosa mijten bij scabies crustosa


Therapie:
Voor scabies crustosa is 1 of 2 keer behandelen niet genoeg. De CDC adviseert 3-7 behandelingen met ivermectine, in combinatie met lokaal permetrine. Daarbij moet de behandeling net zolang worden voortgezet totdat de schilferende plaques en nodi zijn verdwenen.

R/ ivermectine (Stromectol) 200 µg/kg, tabletten 3 mg (innemen met voedsel) op dag 1, dag 2 en dag 8. Tegelijkertijd ook gedurende de eerste week elke dag en daarna 2 keer per week tot aan genezing lokaal behandelen met permetrine om de verspreiding van de schurftmijt via de schilfers zoveel mogelijk af te remmen, maar ook omdat ivermectine onvoldoende door kan dringen in een dikke hyperkeratotische hoornlaag. In ernstige gevallen moet ivermectine vaker gegeven worden, bijvoorbeeld op dag 1, 2, 8, 9, en 15 (ongeveer). In zeer ernstige gevallen op dag 1, 2, 8, 9, 15, 22, en 29 (ongeveer; en dan ook doorgaan met permetrine lokaal twee keer per week). De dosering is voor de gemiddelde volwassene eenmalig 12 of 15 mg, en voor kinderen 200 µg/kg. Het is het beste om precies op lichaamsgewicht te doseren volgens onderstaand schema:
15-24 kg: 1 tab (3 mg)
25-35 kg: 2 tab (6 mg)
36-50 kg: 3 tab (9 mg)
51-65 kg: 4 tab (12 mg)
66-79 kg: 5 tab (15 mg)
> 80 kg: 6 tab (18 mg)
Kinderen onder de 15 kg en zwangeren mogen het niet hebben (te weinig bekend over de veiligheid). Bij kinderen < 6 jaar de tabletten verpulveren. Binnen 2 uur voor en 2 uur na inname geen voedsel gebruiken.

R/ permetrine 5% crème (Loxazol). Tube 30 g. De crème aanbrengen op het hele lichaam, op schone droge huid. Hoeveelheid: kinderen > 12 en volwassen 1 tube (30g), kinderen 5-12 jr: 1/2 tube (15 g), 1-5 jaar: 1/4 tube (10 g), 2 mnd-1 jr: 1/8 tube (5 g). De crème 10-24 uur laten inwerken, daarna grondig wassen. Relatief gecontra-indiceerd bij zwangerschap en borstvoeding. Bij scabies crustosa is het advies om naast ivermectine oraal gedurende de eerste week elke dag permetrine toe te passen, en daarna 2 keer per week zolang als er nog crusteuze / hyperkeratotische afwijkingen zijn.

R/ voor de post scabies jeuk kan een verzorgende crème (vaseline 10 of 20% in lanettecrème I FNA of gewoon Nivea crème) en/of een klasse 2-3 corticosteroïd crème of zalf (Cutivate crème, Locoid vetcrème, bij dikke hyperkeratotische plaques Diprosalic zalf) en antihistaminica worden voorgeschreven.

Richtlijnen:
Voor een scabies crustosa en een uitbraak van scabies in een instelling zijn op de website van het RIVM uitgebreide draaiboeken te vinden. De werkgroep infectiepreventie (WIP) geeft in de richtlijn scabies in ziekenhuizen de volgende, veel compactere adviezen over de isolatie en aanpak van scabies crustosa in het ziekenhuis:

Besmettingsweg
Bij contact met een patiënt met scabies crustosa is een vluchtig contact, zoals het opmaken van een bed, al voldoende om besmetting te doen plaatsvinden. Een patiënt met scabies crustosa is zeer besmettelijk door de aanwezigheid van grote aantallen mijten in de huidschilfers en doordat de diagnose veelal laat wordt gesteld. Overdracht van scabiesmijten kan daarom ook al bij kortdurende lichaamscontacten en door het beddengoed (via schilfers) plaatsvinden. Patiënten met deze vorm van scabies vormen vooral voor de medewerkers in de gezondheidszorg en voor de medepatiënten een groot risico.

Contactonderzoek
Bij scabies crustosa zal een inventarisatie van klachten bij álle contacten van de patiënt met scabies crustosa naast de profylactische behandeling moeten plaatsvinden. Dit betreft dus niet alleen nauwe contacten zoals verzorgenden en partners (thuis of elders) maar óók alle mensen die vluchtig lichamelijk contact met de patiënt hebben gehad en zelfs mensen die geen lichamelijk contact hebben gehad, maar wel contact hebben gehad met kleding of beddengoed of stoel of bank van de patiënt en zo met diens huidschilfers. Dit betreft iedereen die in de kamer van de patiënt is geweest of een kamer met de patiënt heeft gedeeld. Gezien het feit dat patiënten weinig of geen symptomen hebben, met name tijdens de eerste maand van de infectie terwijl ze wel besmettelijk zijn, lijkt screening op scabies niet of nauwelijks zinvol. Bij een uitbraak is profylactische behandeling noodzakelijk.
Maak een overzicht van waar de patiënt op welk tijdstip is geweest en wie daar mogelijk besmet is geraakt. Meestal zal dit resulteren in behandeling van een hele afdeling, of soms een hele instelling. Soms zijn er uitbraken in meerdere instellingen tegelijkertijd, bijvoorbeeld bij een patiënt met scabies crustosa die woont in een verpleeg- of verzorgingshuis en later is opgenomen in een ziekenhuis. Personeelsleden die een reëel risico hebben gelopen op besmetting, mogen geen andere patiënten verzorgen of behandelen, tenzij die patiënten tot de contactgroep behoren. Deze restrictie geldt tot 24 uur na de behandeling van de patiënt en het personeelslid.

Personeelsleden die de scabies norvegica patiënt hebben verpleegd zonder beschermende kleding en handschoenen lopen een grote kans te zijn besmet. Zij moeten niet alleen behandeld worden maar ook thuis de preventieve maatregelen nemen zoals het beddengoed en kleding in de was doen (zie onder gewone scabies). Na 2 weken wordt dit personeelslid zelf ook weer besmettelijk en kan een partner die in het zelfde bed slaapt besmetten. Deze partner moet dan ook meebehandeld worden.

Maatregelen rondom de indexpatiënt
Een patiënt met scabies crustosa wordt direct behandeld en verpleegd in een eenpersoonskamer. Op indicatie van de dermatoloog blijft de strikte isolatie van de patiënt gehandhaafd tot deze genezen is verklaard. Bij deze vorm van strikte isolatie hoeven geen muts en mondneusmasker te worden gedragen. Meerdere patiënten met scabies crustosa worden in cohort verpleegd. Er mag geen huidcontact plaatsvinden met de patiënt of het beddengoed. Bij het betreden van de kamer worden altijd beschermende kleding (een wegwerpschort) met lange mouwen en handschoenen gedragen. Het dragen van een mondneusmasker en muts is niet nodig. Alle mensen die bij de patiënt komen, moeten worden voorgelicht. Daartoe dienen zij zich eerst te melden bij de verpleging. Ook de bezoekers moeten beschermende kleding met lange mouwen en handschoenen dragen.

Kleding en beddengoed
Bij scabies crustosa dient al het beddengoed en de kleding een week in dichtgeknoopte plastic zakken te worden bewaard en pas daarna te worden afgevoerd naar de wasserij. Indien het wasgoed direct naar de wasserij gaat, moet de wasserij vooraf worden ingelicht. Na behandeling van de patiënt wordt de matras een week gelucht bij een temperatuur van 18-20°C en een lage tot normale luchtvochtigheid, waarna de matras wordt voorzien van een nieuwe beschermhoes. Indien deze behandeling niet mogelijk is dient de matras afgevoerd te worden voor destructie.

Reiniging en bestrijding
Alle stof dient grondig huishoudelijk te worden verwijderd. Bij scabies crustosa kan het aantal mijten op de huid enorm zijn. In de omgeving van de patiënt vindt dan ook een grote verspreiding van de scabiesmijt plaats. Er wordt alleen wegwerpreinigingsmateriaal gebruikt. Indien het niet mogelijk is om gebruik te maken van wegwerpreinigingsmateriaal dan wordt het gebruikte materiaal direct na gebruik gewassen bij een temperatuur van minstens 50°C. De patiëntenkamer wordt na ontslag of genezing gedurende 72 uur niet gebruikt. Het bed blijft gedurende deze periode in de kamer. De kamer dient wel op een kamertemperatuur van tenminste 18-20°C te worden gehouden. Daarna kan worden volstaan met normale huishoudelijke reiniging van kamer, bed en overig meubilair. Mijten overleven het best bij een temperatuur van 15°C. De gordijnen op de patiëntenkamer worden gewassen bij een temperatuur van minstens 50°C of indien dit niet mogelijk is gedurende één week in een plastic zak te worden bewaard.


patientenfolder


Referenties
1. Usha V, Gopalakrishnan NTV. A comparative study of oral ivermectine and topical permethrin cream in the treatment of scabies. J Am Acad Dermatol 2000; 42: 236-240.
2. Currie B, McCarthy J. Permethrin and ivermectin for scabies. N Engl J Med 2010;362:717-725.
3. Karthikeyan, K. Scabies in children. Arch Dis Child Educ Pract Ed 2007;92:ep65-ep69.
4. Strong M, Johnstone PW. Interventions for treating scabies (update). Cochrane Database Syst Rev 2010:CD000320.
5. Sharma R, Singal A. Topical permethrin and oral ivermectin in the management of scabies: A prospective, randomized, double blind, controlled study. Indian J Dermatol Venereol Leprol 2011;77:581-586.
6. Salavastru CM, Chosidow O, Boffa MJ, Janier M, Tiplica GS. European guideline for the management of scabies. Eur Acad Dermatol Venereol 2017 Aug;31(8):1248-1253.


Author(s):
dr. Jan R. Mekkes. Dermatologist, Amsterdam UMC.

31-05-2023 (JRM) - www.skin-diseases.eu Terug naar homepagina



Diagnosis codes:
ICD10 B86 Scabies: Scabies crustosa
ICD10 B86 Scabies: crusted scabies
SNOMED 128870005 Crusted scabies
DBC 4 Dermatosen door micro-organismen