Een
rhinoscleroma is een granulomateuze ontsteking
van de neus veroorzaakt door een infectie met
Klebsiella rhinoscleromatis.
Het is een zeldzaam voorkomende infectie, die vooral gezien wordt in Tropische
landen. Rhinoscleroma is voor het eerst beschreven in 1870 door von Hebra en
Kaposi. In 1877 werd door Mikulicz het histologisch beeld beschreven en in 1882
ontdekte von Frisch dat het werd veroorzaakt door
Klebsiella rhinoscleromatis.
De infectie veroorzaakt een chronische, langzaam progressieve granulomateuze
ontsteking in de neus (voorkeursplaats) of neusbijholten. De pharynx is bij
circa 50% van de patiënten betrokken. De infectie kan zich uitbreiden naar de
buis van Eustachius, sinus maxillaris, mondholte, larynx, oogkas, trachea, bronchi
en naar de aangrenzende huid. De infectie wordt overgebracht via inhalatie van
druppels besmet met de bacterie.
![Rhinoscleroma (click on photo to enlarge) [source: Samuel Freire da Silva - Dermatology Atlas - Creative Commons License 3.0] Rhinoscleroma](../../../images/rhinoscleroma-1z.jpg) |
![Rhinoscleroma (click on photo to enlarge) [source: Cabinet of Art and Medicine - Wikimedia - Creative Commons License 2.5] Rhinoscleroma](../../../images/rhinoscleroma-2z.jpg) |
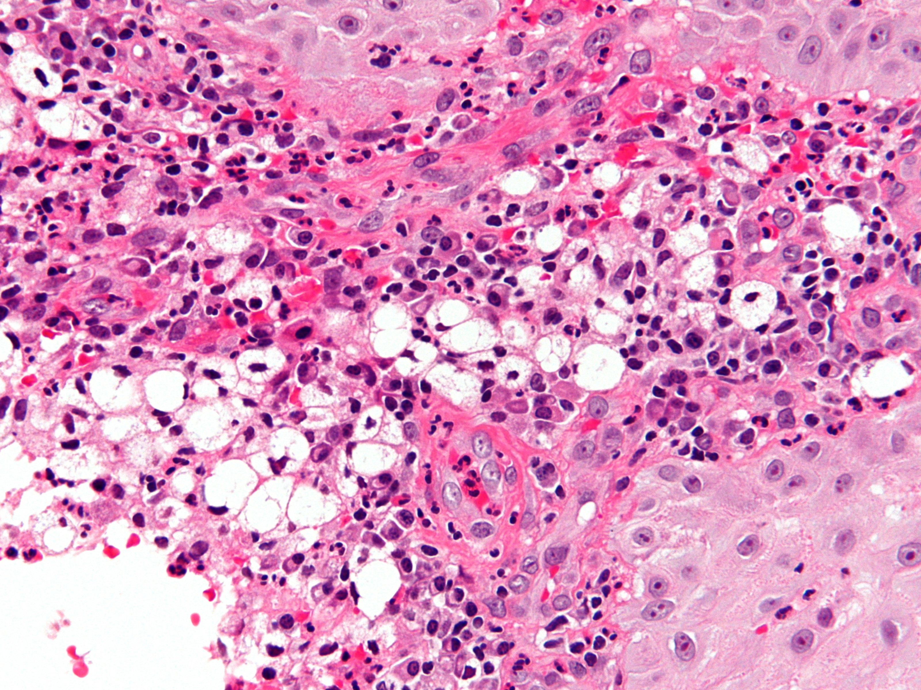
![Rhinoscleroma (click on photo to enlarge) [source: Michael Bonert (Nephron) - Wikimedia - Creative Commons License 3.0] Rhinoscleroma](../../../images/rhinoscleroma-3z.jpg) |
| rhinoscleroma |
rhinoscleroma |
Mikulicz
cellen |
Foto links: Samuel Freire da Silva -
Dermatology
Atlas (Creative Commons License
3.0).
Foto midden:
Cabinet of Art and Medicine - Wikimedia (Creative Commons License
2.5).
PA-Foto: Michael Bonert (Nephron) - Wikimedia (Creative Commons License
3.0).
Rhinoscleroma komt voor in gebieden met een warm klimaat zoals Afrika,
India, het Midden-Oosten, Oost-Europa en Centraal en Zuid-Amerika. Patiënten
met afweerstoornissen zoals hiv zijn gevoelig voor infectie. De meeste patiënten
zijn jong, tussen de 10 en 30 jaar. Het komt iets vaker voor bij vrouwen. De
infectie wordt onderverdeeld in 3 stadia:
catarrhal stage,
granulomatous stage en
sclerotic stage.
Catarrhale stadiumBegint met niet-specifieke symptomen
zoals een loopneus (rhinitis) of een verstopte neus. Later ontstaat een pussige
en soms stinkende uitvloed en er kunnen crustae ontstaan binnenin de neus.
Granulomateuze stadiumNa enkele weken of maanden ontstaan
granulomateuze roodpaarse zwellingen in de neus. De neus kan misvormd raken
en verstopt. De granulomen kunnen ook elders in de nasopharynx ontstaan en de
luchtwegen blokkeren. Andere klachten kunnen zijn neusbloedingen, heesheid,
reukverlies, verdikt en gevoelloos verhemelte.
Sclerotisch stadium
In de fibrotische fase worden de granulomateuze ontstekingen vervangen door
littekenweefsel. Door de fibrose kan obstructie van de luchtwegen ontstaan.
DD:Diepe mycose, lethal midline granuloma (
neuslymfoom),
leishmaniasis,
lepra,
syfilis,
malakoplakia,
granular cell tumor.
Diagnostiek:
Kweek uit de neus of kweekbiopt uit een granuloom. In een gewoon biopt kunnen
met een Gramkleuring de bacteriën worden gezien. Histologisch is er een granulomateus
infiltraat met Mikulicz cells, opgeblazen histiocyten met daarin materiaal van
de bacteriën.
PA:Hyperplasie van het epitheel. In
het onderliggend stroma een gemengd infiltraat bestaande uit schuimige histiocyten
(Mikulicz cells), plasmacellen, lymfocyten, en neutrofiele leukocyten. Soms
multinucleaire cellen of histiocyten met eosinofiel cytoplasma (Unna cells).
Mikulicz cellen hebben een pyknotische centraal of perifeer gelegen kern en
een schuimig cytoplasma met cytoplasmatische vacuolen.
Therapie:
Langdurige (3-4 maanden lang, soms een jaar lang of nog langer) antibiotica
kuren. Verschillende antibiotica kunnen worden gebruikt zoals tetracycline,
doxycycline, rifampicine, ciprofloxacine, cotrimoxazol (trimethoprim-sulfamethoxazol),
aminoglycosiden, cefotaxim, ofloxacine. Daarnaast is soms chirurgische reconstructie
van de neus nodig, of debulking operaties bij belemmering van de luchtwegen.
Referenties
| 1. |
Abalkhail A, Satti MB, Uthman MA, Al Hilli
F, Darwish A, Satir A. Rhinoscleroma: a clinicopathological study
from the Gulf region. Singapore Med J 2007;48(2):148-151. |
| 2. |
Hart CA, Rao SK. Rhinoscleroma. J Med Microbiol
2000;49:395-396. |
| 3. |
Iyengar P, Laughlin S, Keshavjee S, Chamberlain
DW. Rhinoscleroma of the larynx. Histopathology 2005;47:224-225.
|
| 4. |
Lubin JR, Jallow SE, Wilson WR, Grove AS,
Albert DM. Rhinoscleroma with exophthalmos: a case report. Br J
Ophthalmol 1981;65:14-17. |
Author(s):dr. Jan R. Mekkes. Dermatologist, Amsterdam UMC.