ERYTHROKERATODERMIA VARIABILIS ET PROGRESSIVA home ICD10: Q82.8

De erythrokeratoderma's zijn erfelijke aandoeningen waarbij erythemateuze licht schilferende hyperkeratotische plaques ontstaan, die langzaam kunnen migreren in de loop der jaren. De meest bekende vorm is erythrokeratoderma variabilis (KRT18-nEDD) van Mendes da Costa. Mendes da Costa was een Nederlandse dermatoloog die dit beeld in 1925 beschreef. In de loop der jaren zijn meer varianten beschreven die op basis van genetisch onderzoek ook beter kunnen worden ingedeeld.

De erythrokeratoderma's vallen onder de groep Mendelian Disorders of Cornification (MEDOC). Dit is een klinisch en genetisch heterogene groep van overerfbare verhoorningstoornissen. Meestal is de aandoening bij de geboorte aanwezig, maar het kan ook later op kinderleeftijd tot uiting komen. Er is sprake van een genetische afwijking van de gap junction eiwitten (connexines). Deze connexines zijn intercellulaire plasma membraan eiwitten die kanalen vormen tussen het cytoplasma van cellen waardoor intercellulaire communicatie via moleculen (kleiner dan 1kDa) mogelijk is. Wanneer deze communicatie gestoord is zal celdood optreden.

Klinisch worden er scherp begrensde erythemateuze patches en hyperkeratotische plaques gezien. Er is een grote variabiliteit in klinische presentatie waardoor een goede classificering van deze aandoeningen lastig is. Er worden meerdere typen onderscheiden (zie tabel). Doordat van steeds meer aandoeningen het gen bekend is, verandert de nomenclatuur. Erythrokeratoderma variabilis en progressiva worden nu als één entiteit beschouwd.


Erythrokeratoderma's:
Erythrokeratoderma variabilis van Mendes da Costa (migrerend erytheem en gefixeerde hyperkeratose)
Erythrokeratoderma symmetrica progressiva van Gottron (gefixeerd erytheem en gefixeerde hyperkeratose)
Erythrokeratoderma variabilis van Cram-Mevorah (erythemateuze-hyperkeratotische annulaire en gegyreerde laesies)
Erythrokeratoderma en cocarde (erythemateuze-hyperketatotische schietschijf laesies)

Erythrokeratoderma syndromen (diverse syndromen, vooral combinaties met CZS stoornissen)
- Autosomal dominant spinocerebellar ataxia with erythrokeratodermia (Giroux and Barbeau; OMIM 133190)


Erythrokeratoderma variabilis Erythrokeratoderma variabilis Erythrokeratoderma variabilis
erythrokeratoderma variabilis erythrokeratoderma variabilis erythrokeratoderma variabilis


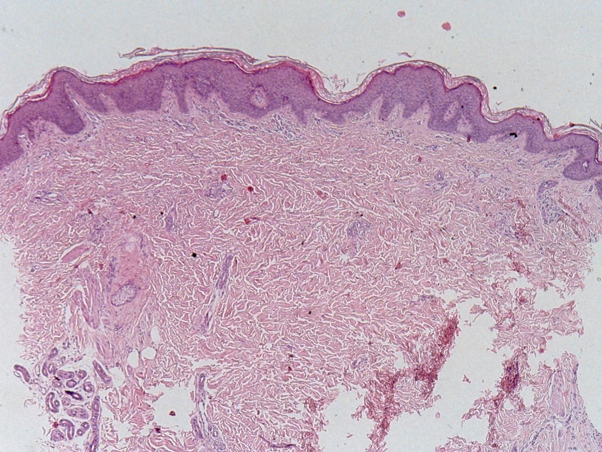
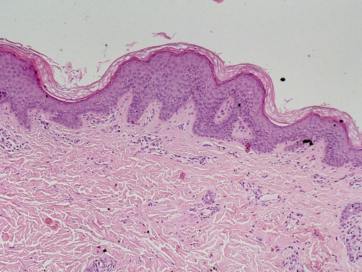
Histopathologie (aspecifiek):
Basket weave hyperkeratose, hypergranulose, papillomatose en variabele acanthose. Hyperplasie van de retelijsten met geelongeerde capillairen. Perivasculair een lymfohistiocytair infiltraat

DD:
- KID (keratitis-ichthyosis-deafness) syndroom (verruceuze hyperkeratose, doofheid, GJB2 genmutatie)
- loricrin keratoderma (vaak collodion baby, verhoorning stoornis door mutatie in het loricrine, ichtyosis, palmoplantaire keratose, pseudo ainhum)
- Congenitale Reticulaire Ichtyosiforme Erythroderma (CRIE) (vaak collodion baby, erythroderma met confetti uitsparing, bij geboorte aanwezig)
- Vohwinkel syndroom (GJB2/connexin 26, palmoplantaire afwijkingen, keratoderma, constriction bands/pseudo-ainhum, doofheid)
- eczeem
- ichthyosis vulgaris
- psoriasis
- pityriasis rubra pilaris
- icthyosis linearis circumflexa (Netherton syndroom)
- ziekte van Greither (keratosis palmoplantaris transgrediens et progrediens). Greither is een variant van epidermolytische ichthyosis (bullous congenital ichthyosiform erythroderma), het keratine 1 gen (KRT1) is betrokken bij beide aandoeningen.
- annular epidermolytic ichthyosis (variant van epidermolytische ichthyosis)
- erythrokeratolysis hiemalis (keratolytic winter erythema, Oudtshoorn disease)
- mental retardation, enteropathy, deafness, peripheral neuropathy, ichthyosis, and keratodermia syndrome (MEDNIK syndroom)
- KLICK syndroom



ERYTHROKERATODERMA VARIABILIS (Mendez da Costa) home ICD10: Q82.8

Erythrokeratoderma variabilis (OMIM 133200) is in 1925 door Mendes da Costa beschreven. Hij beschreef deze aandoening als gefixeerde hyperkeratotische plaques met erythemateuze gebieden die net als de kustlijn bewegen in het verloop van uren. De EKV van Mendes da Costa is ongeveer 2/3 van alle erythrokeratoderma’s. Het overervingspatroon is zowel autosomaal dominant als recessief beschreven in de literatuur. Er is sprake van een mutatie in het gapjunction eiwit beta 3 gen (GJB3) of beta 4 gen (GJB4). Bij een mutatie in het GJB3 gen gaat het om connexine 31 (Cx31) die aangedaan is en bij een mutatie in het GJB4 gen gaat het om connexine 30.3 (Cx30.3). Bij een mutatie in het GJB4 gen is er sprake van een minder ernstig fenotype dan bij een mutatie in het GJB3 gen.

Klinisch beeld:
Er is sprake van migrerende erythemateuze patches en niet-migrerende hyperkeratose vanaf de geboorte of in het 1e levensjaar. Het begint met de erythemateuze patches en later ontstaat de hyperkeratose. Het erytheem is grillig en migreert in uren tot dagen over het lichaam. Plekken kunnen ook stationair worden, vooral op extremiteiten, en zijn dan rood tot geelbruin en hyperkeratotisch. Er kan verergering optreden door emoties, stress, temperatuursverandering, frictie en hormonale schommelingen. Na de puberteit wordt vermindering van de klachten of zelfs gehele remissie gezien. Binnen een familie kunnen er verschillen in klinische uitingen zijn er zijn dus bij dezelfde genmutatie meerder fenotypen mogelijk. Bij de aandoening zijn geen andere organen betrokken en de levensverwachting is normaal. Wel zijn de huidafwijkingen psychologisch belastend.

Erythrokeratoderma variabilis Erythrokeratoderma variabilis Erythrokeratoderma variabilis
erythrokeratoderma variabilis erythrokeratoderma variabilis erythrokeratoderma variabilis

Erythrokeratoderma variabilis Erythrokeratoderma variabilis Erythrokeratoderma variabilis
erythrokeratoderma variabilis erythrokeratoderma variabilis erythrokeratoderma variabilis


Therapie:
Temperatuurwisselingen, stress en frictie voorkomen.
R/ Emollientia, keratolytica (ureum, salicylzuur, alphahydroxyzuur).
R/ Lokale retinoïden, eventueel (bij oudere kinderen) Neotigason.
R/ Lokale corticosteroïden bij erytheem.



ERYTHROKERATODERMA SYMMETRICA PROGRESSIVA (Gottron's syndroom) home ICD10: Q82.8

Erythrokeratoderma symmetrica progressiva (EKSP) van Gottron (Gottron’s syndroom) werd als eerst door Darier beschreven in 1886 maar in de huidige naam door Gottron als eerste beschreven in 1922. Er zijn slechts 40 cases van beschreven wereldwijd. Het is een autosomaal dominante overerving (OMIM 133200) en er is sprake van een mutatie in het GJB4 gen. Ook hier is fenotypische variabiliteit binnen een familie mogelijk. Er is sprake van niet-migrerende progressieve hyperkeratotische plaques met erythemateuze randen symmetrisch op extremiteiten, billen, schouders, vingers en gezicht. De romp is vaak gespaard. Het ontstaat op kinderleeftijd, is progressief tot 10 jaar en daarna stabiel. Er wordt verbetering gezien tijdens de zomer. Bij ongeveer 50% is er ook sprake van een erythemateuze palmoplantaire hyperkeratose. Er wordt gesuggereerd dat EKV van Mendes da Costa en EKSP van Gottron verschillende fenotypen zijn van hetzelfde gendefect. Beide huidziekten lijken een mutatie in het GJB4 gen te zijn waarbij er sprake is van twee verschillende fenotypische manifestaties met hetzelfde onderliggende gendefect (van Steensel, 2009).

Erythrokeratoderma variabilis Erythrokeratoderma variabilis Erythrokeratoderma variabilis
erythrokeratoderma symmetrica erythrokeratoderma symmetrica erythrokeratoderma symmetrica


Therapie:
Behandeling is zeer lastig. Indifferente zalven en lokale retinoiden zijn te proberen maar helpen vaak onvoldoende. Lokaal calcipotriol en orale retinoiden zijn te overwegen.



SPINOCEREBELLAR ATAXIA AND ERYTHROKERATODERMA home ICD10: Q82.8

Spinocerebellar ataxia and erythrokeratoderma (type Giroux-Barbeau) is een zeldzaam erfelijk syndroom (OMIM 133190) beschreven bij een Frans-Canadese familie. Tijdens de kinderleeftijd verschenen symmetrische migrerende erythemateuze plaques, schilfering en hyperkeratotische plaques op de handruggen en voetruggen, en distale extremiteiten. Rond de 30 jaar verdwijnt dit weer maar cerebellaire atrofie met ataxie. Er is een afwijkend gen gevonden (ELOVL4) dat codeert voor een elongase enzym, betrokken bij de synthese van lange vetzuren, die belangrijk zijn voor de opbouw van peroxisomen en de huidbarrière.



ERYTHROKERATODERMA EN COCARDE (Degos) home ICD10: Q82.8

Autosomaal dominant, lijkt op Mendes da Costa, mogelijk een variant, waarbij intermitterend annulaire erythemateuze lesies ontstaan, met centraal schilfering. Soms ook palmoplantaire schilfering of hyperkeratose.

Therapie: zie onder Mendes da Costa.


Referenties
1. Mendes da Costa, S. Erythro- et keratodermia variabilis in a mother and a daughter. Acta Derm Venerol 1925;6:255-261.
2. Darier, J. Erythro-keratodermie verruqueuse en nappes, symetrique et progressive. Bull Soc Franc Derm Syph 1911;22:252-264,
3. van der Schroeff JG, van Leeuwen-Cornelisse I, van Haeringen A, Went LN. Further evidence for localization of the gene of erythrokeratodermia variabilis. Hum Genet1988;80:97-98.
4. Richard G, Smith LE, Bailey RA, Itin P, Hohl D, Epstein EH Jr, DiGiovanna JJ, Compton JG, Bale SJ. Mutations in the human connexin gene GJB3 cause erythrokeratodermia variabilis. Nature Genet 1998;20:366-369.
5. Richard G, Brown N, Smith LE, Terrinoni A, Melino G, MacKie RM, Bale SJ, Uitto J. The spectrum of mutations in erythrokeratodermias - novel and de novo mutations in GJB3. Hum Genet 2000;106:321-329.
6. Gottfried I, Landau M, Glaser F, Di WL, Ophir J, Mevorah B, Ben-Tal N, Kelsell DP, Avraham KB. A mutation in GJB3 is associated with recessive erythrokeratodermia variabilis (EKV) and leads to defective trafficking of the connexin 31 protein. Hum Molec Genet 2002;11:1311-1316.
7. van Steensel MAM, Oranje AP, van der Schroeff JG, Wagner A, van Geel M. The missense mutation G12D in connexin 30.3 can cause both erythrokeratodermia variabilis of Mendes da Costa and progressive symmetric erythrokeratodermia of Gottron. Am J Med Genet 2009;149A: 657-661.
8. Ishida-Yamamoto A, McGrath JA, Lam H, Iizuka H, Friedman RA, Christiano AM. The molecular pathology of progressive symmetric erythrokeratoderma: a frameshift mutation in the loricrin gene and perturbations in the cornified cell envelope. Am J Hum Genet 1997;61:581-589.


Author(s):
dr. Mandy E. Schram. Dermatoloog, Dermatologisch Centrum Amstel & Vechtstreek, Maarssen
dr. Jan R. Mekkes. Dermatologist, Amsterdam UMC.

21-12-2025 (MES / JRM) - www.huidziekten.nl Terug naar homepagina



Diagnosis codes:
ICD10 Q82.8 Overige gespecificeerde congenitale misvormingen van huid: erythrokeratodermia variabilis variabilis (Mendes da Costa)
ICD10 Q82.8 Other specified congenital malformations of skin: erythrokeratodermia variabilis variabilis (Mendes da Costa)
SNOMED 70041004 Erythrokeratodermia variabilis
DBC 11
spacer
Genodermatosen

ICD10 Q82.8 Overige gespecificeerde congenitale misvormingen van huid: erythrokeratodermia symmetrica progressiva
ICD10 Q82.8 Other specified congenital malformations of skin: erythrokeratoderma progressiva of Gottron
SNOMED 239063006 Erythrokeratoderma progressiva of Gottron
DBC 11
spacer
Genodermatosen

ICD10 Q82.8 Overige gespecificeerde congenitale misvormingen van huid: spinocerebellar ataxia and erythrokeratoderma (Giroux-Barbeau)
ICD10 Q82.8 Other specified congenital malformations of skin: spinocerebellar ataxia and erythrokeratoderma (Giroux-Barbeau)
SNOMED 719255000 Spinocerebellar ataxia type 34 (Spinocerebellar ataxia and erythrokeratodermia)
DBC 11
spacer
Genodermatosen

ICD10 Q82.8 Overige gespecificeerde congenitale misvormingen van huid: erythrokeratoderma en cocarde (Degos)
ICD10 Q82.8 Other specified congenital malformations of skin: erythrokeratoderma en cocarde (Degos)
SNOMED 239062001 Erythrokeratoderma en cocardes
DBC 11
spacer
Genodermatosen