PURPURA PIGMENTOSA PROGRESSIVA home ICD10: L81.7

Purpura pigmentosa progressiva (purpura pigmentosa chronica, ziekte van Schamberg, PPP, capillaritis) is een onschuldige aandoening waarbij, meestal in episodes, er vlekken ontstaan opgebouwd uit kleine bruine macula (Cayenne peper aspect) aan de onderbenen, door erytrocyten extravasatie. De capillairen zijn licht beschadigd (capillaritis) waardoor erytrocyten buiten het vat komen te liggen. Het ijzer uit de erytrocyten oxideert tot een bruin pigment (hemosiderine pigment). De oorzaak is onbekend, en het is moeilijk te behandelen.

Purpura pigmentosa progressiva Purpura pigmentosa progressiva Purpura pigmentosa progressiva
purpura pigmentosa purpura pigmentosa purpura pigmentosa

Purpura pigmentosa progressiva Purpura pigmentosa lichenoides (Goucherot-Blum) Purpura pigmentosa lichenoides (Goucherot-Blum)
purpura pigmentosa purpura Goucherot-Blum purpura Goucherot-Blum


Purpura pigmentosa progressiva (ziekte van Schamberg, PPP) behoort tot de purpura pigmentosa groep. Deze groep bevat tal van andere fraaie eigennamen zoals de ziekte van Goucherot-Blum, Doucas-Kapetanakis, of Majocci. Splitters genieten hiervan, lumpers vinden het onzin: het is allemaal erytrocytenextravasatie en hemosiderine pigment. Purpura pigmentosa komt vaker voor bij mannen dan bij vrouwen. Purpura annularis teleangiectodes (Majocchi) komt vaker bij vrouwen voor. Het Schamberg type kan op elke leeftijd voorkomen. Itching purpura en purpura pigmentosa lichenoides (Gougerot-Blum) zou vooral bij mannen van middelbare leeftijd voorkomen, lichen aureus en purpura annularis teleangiectodes (Majocchi) vooral bij kinderen en jong volwassenen. Itching purpura lijkt sterk op Schamberg maar komt over het hele lichaam voor, en Schamberg vooral op de onderbenen, en het jeukt. Bij lichen aureus is het vaak 1 plek. Bij Majocchi zijn het kleine annulaire plaques met purpura en teleangiëctasieën. Bij Gougerot zijn er lichenoïde papels. De namen van Hutchinson en Crocker zijn verbonden aan angioma serpiginosum, maar dat is eigenlijk geen capillaritis of capillaire fragiliteit, maar een capillaire naevus of capillaire malformatie die vooral voorkomt bij jonge meisjes en vrouwen. NB: de afkorting PPP wordt ook gebruikt voor pretibial pigmented patches (bij diabetes) en pearly penile papules.

Purpura pigmentosa groep:
- purpura pigmentosa progressiva (Schamberg)
- purpura pigmentosa lichenoides (Gougerot-Blum)
- purpura annularis teleangiectodes (Majocchi)
- lichen aureus
- eczematoid-like purpura (Doucas-Kapetanakis)
- itching purpura (waarschijnlijk identiek aan Schamberg)
- angioma serpiginosum (Hutchinson-Crocker)
spacer


De oorzaak van de 'pigmented purpuric dermatoses' is niet precies bekend. Als bijdragende factoren worden genoemd veneuze stuwing, inspanning, dependency syndroom. Er zijn ook case reports waarbij het gelinkt is aan medicatie (bufexamac, NSAID's, diuretica, meprobamaat, glipizide, medroxyprogesteron), of aan een contactallergie voor de blauwe kleurstof in spijkerbroeken. Bij Schamberg ontstaan bruine of oranje bruine verkleuringen aan de onderbenen. Het veroorzaakt vooral cosmetische klachten. Het is chronisch recidiverend.

DD: purpura en alle varianten daarvan, cutaneous collagenous vasculopathy, generaliseerde essentiële teleangiëctasieën.

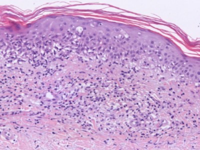
PA: De histologie is steeds hetzelfde, een mild perivasculair T-cel lymfocytair infiltraat in de oppervlakkige dermis, met endotheelzwelling en erytrocyten extravasatie en veel hemosiderine pigment. Er bestaat ook een zeldzame granulomateuze variant.

Histologie capillaritis
ingescande coupe (zoom)

Bron hoge resolutie PA-foto's: Kevin Kwee en Afdeling Pathologie MUMC. Klik op de afbeelding om in te zoomen.


Therapie:
Meestal is geen therapie het verstandigste. Eventueel een tubigrip of milde confectie compressiekous. Echte compressiekous bij aangetoonde veneuze insufficiëntie.
R/ lokale corticosteroïden (vooral bij jeuk).
R/ Venoruton (hydroxyethylrutoside) 2-3 dd 500 mg gedurende 2-3 maanden (maximaal 6 maanden). Venoruton was vroeger een geregistreerd en vergoed geneesmiddel voor chronische veneuze insufficiëntie, nu is het een over the counter preparaat, te koop bij de drogist en apotheek zonder recept (wordt niet vergoed).
R/ Venoruton (hydroxyethylrutoside) 2-3 dd 500 mg + vitamine C (ascorbinezuur) 2 dd 500 mg gedurende 4 weken.
R/ Plaquenil (hydroxychloroquine) 1-2 dd 200 mg.
R/ PUVA of UVB TL-01.
R/ ciclosporine (case report).
R/ griseofulvine (case report).

Pentoxifylline is in case reports genoemd, maar in een open studie bij 15 patiënten (Kumrah, 2000) was er geen objectief verschil.


Referenties
1. Sardana K, Sarkar R, Sehgal VN. Pigmented purpuric dermatoses: an overview. Int J Dermatol 2004;43(7):482-488.
2. Waltermann K, Marsch WCh, Kreft B. Bufexamac-induced pigmented purpuric eruption. Hautarzt 2009;60(5):424-427.
3. Tsao H, Lerner LH. Pigmented purpuric eruption associated with injection medroxyprogesterone acetate. J Am Acad Dermatol 2000;43(2 Pt 1):308-310.
4. Adams BB, Gadenne AS. Glipizide-induced pigmented purpuric dermatosis. J Am Acad Dermatol 1999;41(5 Pt 2):827-829.
5. Seckin D, Yazici Z, Senol A, Demircay Z. A case of Schamberg's disease responding dramatically to PUVA treatment. Photodermatol Photoimmunol Photomed 2008;24(2):95-96.
6. Lasocki AL, Kelly RI. Narrowband UVB therapy as an effective treatment for Schamberg's disease. Australas J Dermatol 2008;49(1):16-18.
7. Tamaki K, Yasaka N, Osada A, et al. Successful treatment of pigmented purpuric dermatosis with griseofulvin. Br J Dermatol 1995;132(1):159-160.
8. Okada K, Ishikawa O, Miyachi Y. Purpura pigmentosa chronica successfully treated with oral cyclosporin A. Br J Dermatol 1996;134(1):180-181.
9. Laufer F. The treatment of progressive pigmented purpura with ascorbic acid and a bioflavonoid rutoside. J Drugs Dermatol 2006;5(3):290-293.
10. Kumrah L, George R, George S. An open trial of pentoxifylline in schamberg's disease. Indian J Dermatol Venereol Leprol 2000;66:73-75.


Author(s):
dr. Jan R. Mekkes. Dermatologist, Amsterdam UMC.

19-02-2024 (JRM) - www.skin-diseases.eu Terug naar homepagina



Diagnosis codes:
ICD10 L81.7 Gepigmenteerde dermatose met purpura: purpura pigmentosa progressiva (Schamberg)
ICD10 L81.7 Pigmented purpuric dermatosis: purpura pigmentosa progressiva (Schamberg)
SNOMED 64146000 Progressive pigmentary dermatosis of Schamberg
DBC 25 spacer Vasculaire dermatosen

ICD10 L81.7 Gepigmenteerde dermatose met purpura: purpura pigmentosa lichenoides (Gougerot-Blum)
ICD10 L81.7 Pigmented purpuric dermatosis: pigmented purpuric lichenoid dermatitis of Blum
SNOMED 20343006 Pigmented purpuric lichenoid dermatitis of Gougerot and Blum
DBC 16 spacer Pigmentstoornissen

ICD10 L81.7 Gepigmenteerde dermatose met purpura: purpura annularis telangiectodes (Majocchi capillaritis)
ICD10 L81.7 Pigmented purpuric dermatosis: purpura annularis telangiectodes of Majocchi
SNOMED 56231002 Purpura annularis telangiectodes of Majocchi
DBC 25 spacer Vasculaire dermatosen

ICD10 L81.7 Gepigmenteerde dermatose met purpura: lichen aureus
ICD10 L81.7 Pigmented purpuric dermatosis: lichen aureus
SNOMED 238782003 Lichen aureus
DBC 16 spacer Pigmentstoornissen

ICD10 L81.7 Gepigmenteerde dermatose met purpura: eczematoid-like purpura (Doucas-Kapetanakis)
ICD10 L81.7 Pigmented purpuric dermatosis: eczematoid-like purpura (Doucas-Kapetanakis)
SNOMED 41486008 Eczematid-like purpura of Doucas and Kapetanakis
DBC 25 spacer Vasculaire dermatosen

ICD10 L81.7 Gepigmenteerde dermatose met purpura: itching purpura
ICD10 L81.7 Pigmented purpuric dermatosis: itching purpura
SNOMED 238781005 Itching purpura
DBC 25 spacer Vasculaire dermatosen

ICD10 L81.7 Gepigmenteerde dermatose met purpura: angioma serpiginosum
ICD10 L81.7 Pigmented purpuric dermatosis: angioma serpiginosum
SNOMED 49465005 Angioma serpiginosum
DBC 25 spacer Vasculaire dermatosen