Een
angioma serpiginosum (
naevus vasculosus
tardus) is een zeldzame
capillaire naevus
bestaande uit teleangiëctasieën die meestal ontstaan na de kinderleeftijd.
Werd voor het eerst beschreven in 1890 door Jonathan Hutchinson als een
"very peculiar condition of serpiginous or infective nevus". In 1894
introduceerde Radcliffe-Crocker de huidige naamgeving. Angioma serpiginosum
kan bij de geboorte aanwezig zijn, maar wordt meestal pas bij het kleine
kind (circa 11-12 jarige leeftijd) opgemerkt. In het ICD10 systeem is
angioma serpiginosum ingedeeld onder L81.7 (pigmented purpuric dermatosis),
maar op klinische gronden past het daar niet goed bij, het zou I78.1 moeten
zijn (diseases of capillaries: naevus, non-neoplastic).
Klinisch beeld:Klinisch betreft het een zeldzame,
cutane, vasculaire anomalie, bestaande uit superficiële capillairen, gerangschikt
in clusters, lineair of volgens een serpigineus patroon. Het zijn rood-livide,
gegroepeerde teleangiëctasieën en punctata tot 1 mm
in doorsnede. Dermatoscopisch zijn er
rode lagunes
zichtbaar. Bij diascopie zijn de laesies veelal gedeeltelijk comprimeerbaar.
Er zijn geen tekenen van inflammatie, bloeding of hemosiderine depositie. De
laesies breiden in de loop van de jaren uit met satellieten (vandaar de naam
'serpiginosum', wat zich langzaam over een oppervlak verplaatsend, betekent).
De afwijking is asymptomatisch en onschuldig. Angioma serpiginosum komt zelden
familiair voor (autosomaal dominante overerving). Dit is bij 2 families beschreven.
Het komt vaker voor bij vrouwen dan bij mannen, verhouding 9 : 1. In tachtig
procent van de gevallen ontstaat angioma serpiginosum vóór het 20e levensjaar
en soms kan het al bij de geboorte aanwezig zijn. De lokalisatie is meestal
(70 %) unilateraal, ter plaatse van de onderste extremiteiten en de nates, maar
het kan overal voorkomen (exclusief handpalmen en mucosae).
![Angioma serpiginosum (click on photo to enlarge) [source: www.huidziekten.nl] Angioma serpiginosum](../../../images/angioma-serpiginosum-1z.jpg) |
![Angioma serpiginosum (click on photo to enlarge) [source: www.huidziekten.nl] Angioma serpiginosum](../../../images/angioma-serpiginosum-2z.jpg) |
![Angioma serpiginosum (click on photo to enlarge) [source: www.huidziekten.nl] Angioma serpiginosum](../../../images/angioma-serpiginosum-3z.jpg) |
| angioma
serpiginosum |
angioma
serpiginosum |
angioma
serpiginosum |
![Angioma serpiginosum (click on photo to enlarge) [source: www.huidziekten.nl] Angioma serpiginosum](../../../images/angioma-serpiginosum-4z.jpg) |
![Angioma serpiginosum (click on photo to enlarge) [source: www.huidziekten.nl] Angioma serpiginosum](../../../images/angioma-serpiginosum-5z.jpg) |
![Angioma serpiginosum (click on photo to enlarge) [source: www.huidziekten.nl] Angioma serpiginosum](../../../images/angioma-serpiginosum-6z.jpg) |
| angioma
serpiginosum |
angioma
serpiginosum |
angioma
serpiginosum |
Pathofysiologie:Pathofysiologisch betreft het een
congenitale hyperplasie of verwijding van capillairen in de papillaire dermis.
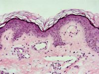
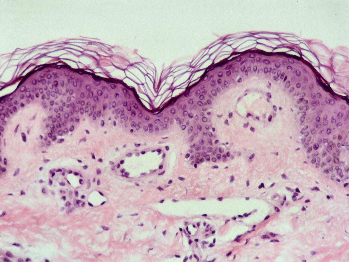
Histologie:- Epidermis: toont een normaal aspect.
- Dermale papillen en subpapillair: gedilateerde capillairen met een verdikte
wand. Geen inflammatie, bloeding of hemosiderine deposities.
![Angioma serpiginosum (click on photo to enlarge) [source: www.huidziekten.nl] Angioma serpiginosum](../../../images/angioma-serpiginosum-7z.jpg) |
| PA angioma
serpiginosum |
Aanvullende diagnostiek:Aanvullende diagnostiek
is niet nodig, tenzij het klinische beeld atypisch is. Dan kan een biopt of
een echo uitkomst bieden.
DD:capillaire malformatie
(o.a.
naevus flammeus),
progressieve gepigmenteerde
purpura (o.a. M. Schamberg),
ziekte van Osler-Rendu-Weber,
angiokeratoma circumscriptum,
ziekte van Fabry, naevus
oligemicus, gegeneraliseerde progressieve
essentiële teleangiëctasieën,
cutaneous collagenous
vasculopathy, (hemato-)
lymfangioma circumscriptum,
RASA1-mutatie.
Therapie:In overleg met de patiënt
kan een expectatief beleid volstaan.
Behandeling met een vaatlaser (pulsed
dye laser) is zinvol en leidt veelal tot een zeer fraai cosmetisch resultaat.
Prognose:Angioma serpiginosum kenmerkt zich door een
langzaam progressief beloop. Het is onwaarschijnlijk dat de afwijking spontaan
verdwijnt. Er is geen associatie met systemische aandoeningen.
Referenties
| 1. |
Marriott PJ, Munro DD, Ryan T. Angioma serpiginosum:
familial incidence. Br J Dermatol 1975;93:701-706. |
| 2. |
Madan V, August PJ, Ferguson JE. Pulsed-dye
laser treatment of angioma serpiginosum. Clin Exp Dermatol 2008. |
| 3. |
Braun-Falco (ed.). Dermatology. 2nd edition. |
Author(s):dr. Jan R. Mekkes. Dermatologist, Amsterdam UMC.