GLYCOGENIC ACANTHOSIS home ICD10: K13.7

Glycogenic acanthosis is een goedaardige slijmvlies afwijking van de oesofagus. Het wordt gezien bij circa 3.5% van de personen waarbij een endoscopie wordt verricht. In zeer zeldzame gevallen kunnen ze ook voorkomen in de mondholte en op de lippen. De bevinding is zonder klinische betekenis. In het verleden werd gedacht dat er een relatie was met refluxklachten (zuurbranden), maar dit kon in goed opgezette studies niet worden bevestigd. De aanwezigheid van zeer veel glycogenic acanthosis laesies in combinatie met poliepen kan wel klinische betekenis hebben: dit wordt gezien bij patiƫnten met het Cowden syndroom.

Klinisch beeld:
Ovale, licht verheven wittige mucosale plaques, 0.2-1.5 cm groot.

DD: leukoplakie, xanthoma, verruciform xanthoom, plaveiselcelcarcinoom, lichen planus.

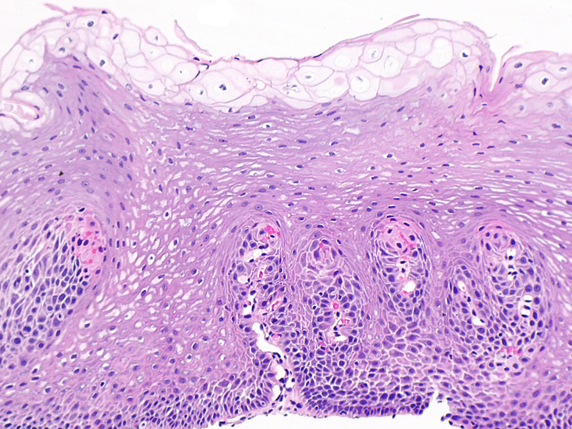
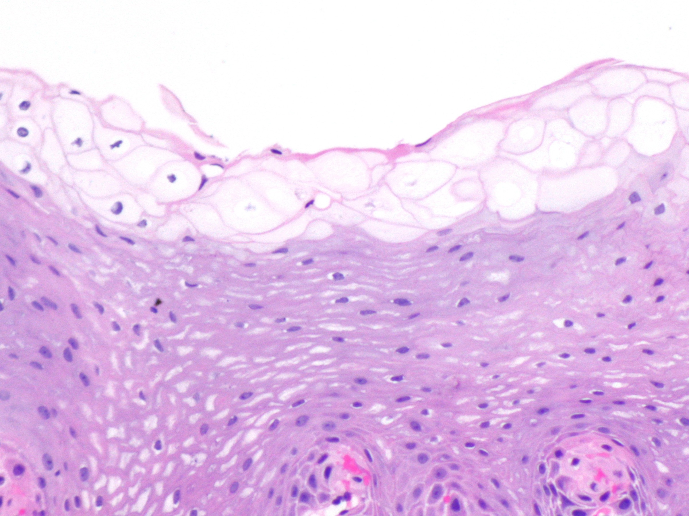
PA:
Hyperplasie van het mucosa epitheel met intracellulaire depositie van glycogeen. Geen atypie, en geen inflammatie.

Glycogenic acanthosis Glycogenic acanthosis
glycogenic acanthosis glycogenic acanthosis

PA fotos: Michael Bonert BASc, MASc, MD, FRCPC. Assistant Professor Pathology and Molecular Medicine, McMaster University, Hamilton.

Referenties
1. Montebugnoli L, Felicetti L, Cervellati F, Foschini MP. Glycogenic acanthosis presenting as leukoplakia on the tongue. BMJ Case Rep 2010:bcr0120102634.
2. Kay PS, Soetikno RM, Mindelzun R, Young HS. Diffuse esophageal glycogenic acanthosis: an endoscopic marker of Cowden's disease. Am J Gastroenterol 1997;92(6):1038-1040.
3. Umemura K, Takagi S, Ishigaki Y, Iwabuchi M, Kuroki S, Kinouchi Y, Shimosegawa T. Gastrointestinal polyposis with esophageal polyposis is useful for early diagnosis of Cowden's disease. World J Gastroenterol 2008;14(37):5755-5759.



Author(s):
dr. Jan R. Mekkes. Dermatologist, Amsterdam UMC.

31-05-2023 (JRM) - www.skin-diseases.eu Terug naar homepagina



Diagnosis codes:
ICD10 K13.7 Overige gespecificeerde en niet gespecificeerde afwijkingen van mondslijmvlies: glycogenic acanthosis
ICD10 K13.7 Other and unspecified lesions of oral mucosa: glycogenic acanthosis
SNOMED 448297002 Glycogen acanthosis
DBC 28 Geen dermatologische diagnose