PITYROSPORUM INFECTIES (MALASSEZIA) home ICD10: n.v.t.

Pityrosporum (Malassezia furfur) is een gist die wordt aangetroffen op de normale huid, maar vooral (in grotere hoeveelheden) bij seborroisch eczeem, hoofdroos (seborroisch eczeem van het behaarde hoofd, pityriasis capitis), in de haarzakjes bij Pityrosporum folliculitis, en in de aangedane gehypopigmenteerde gebieden bij pityriasis versicolor. Pityrosporum wordt verantwoordelijk gehouden voor deze huidafwijkingen. De gist is voor zijn groei afhankelijk van lipiden, en kan dus goed leven op de vettige huid. Hoewel het altijd moeilijk is om oorzaak en gevolg uit elkaar te houden, wordt nu algemeen aangenomen dat eczema seborroicum door Pityrosporum veroorzaakt wordt; bij sommige varianten (seborroisch eczeem bij kinderen, AIDS-patiënten) is het echter minder duidelijk.

Pityrosporum orbiculare (ronde vorm), Pityrosporon ovale (ovale vorm) en Malassezia furfur (myceliumvorm, ontstaat onder gunstige omstandigheden) blijken allemaal varianten van dezelfde gist te zijn. De voorkeur gaat tegenwoordig uit naar de naam Malassezia furfur in plaats van Pityrosporon ovale of orbiculare. Malassez beschreef voor het eerst in 1874 de ronde en ovale, knopvormende (budding) gisten op huidschilfers van seborroisch eczeem patiënten. Sabouraud stelde in 1904 de naam Pityrosporum voor. Inmiddels zijn er met moderne technieken 7 verschillende varianten van Malassezia ingedeeld: M. furfur, Malassezia pachydermatosus, Malassezia sympodialis, Malassezia globosa, Malassezia obtusa, Malassezia restricta, en Malassezia slooffiae.

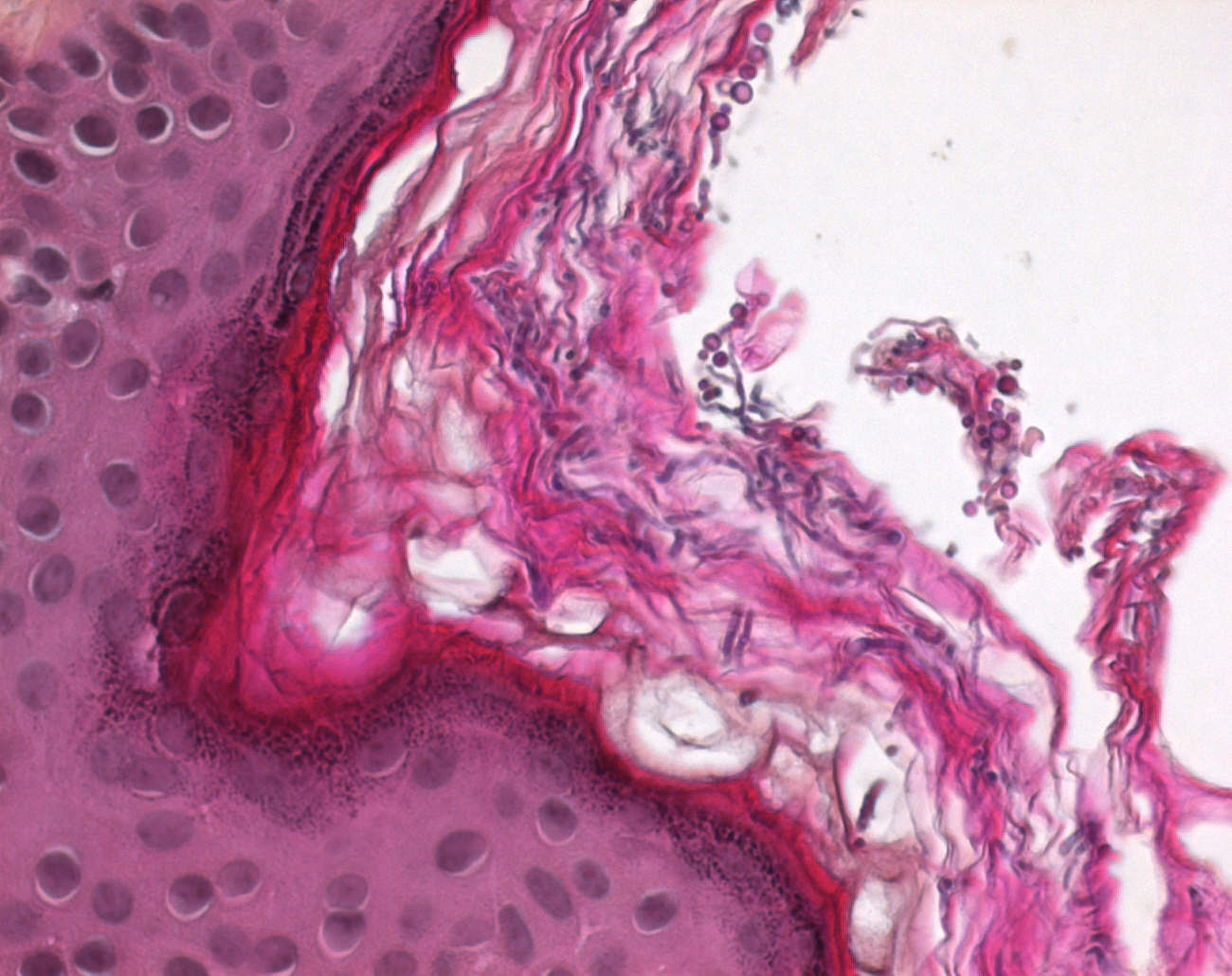
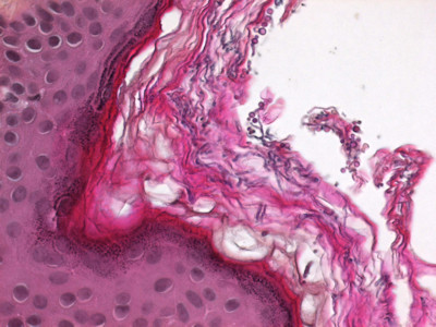
Pityrosporum gisten (Malassezia furfur) Pityrosporum gisten (Malassezia furfur)
DipQuick preparaat Malassezia furfur

Pityrosporum gisten (Malassezia furfur) Pityrosporum gisten (Malassezia furfur)
Malassezia furfur Malassezia furfur

Foto's: CDC Atlanta (Public Domain Images) en www.humpath.com.


Klinische beelden die veroorzaakt worden door Malassezia overgroei:

Pityriasis versicolor
Pityriasis capitis (hoofdroos)
Seborroïsche dermatitis, seborrhoisch eczeem (zie eczema seborrhoicum)
Berg, seborroisch eczeem bij kinderen.
Pityrosporum folliculitis
Gougerot-Carteaud syndroom


Author(s):
dr. Jan R. Mekkes. Dermatologist, Amsterdam UMC.

31-05-2023 (JRM) - www.skin-diseases.eu Terug naar homepagina