GINGIVITIS home ICD10: K05.1

Gingivitis is een onsteking van de gingiva (het tandvlees). Het wordt gekenmerkt door pijn, roodheid en zwelling van de gingiva, soms ontstaat ook necrose en ulceratie. Chronische gingivitis is meestal het gevolg van toename van tandplaque (samengesteld uit bacteriën, voedselresten, epitheelcellen en leukocyten), waarbij zowel het aantal bacteriën als de samenstelling veranderen (toename van anaërobe Gram-negatieve bacteriën). Specifieke verwekkers van gingivitis zijn niet bekend. In plaques kan tandsteen ontstaan, vooral in de leeftijdsgroep van 15-24 jaar en boven de 55 jaar. Slechte mondhygiëne, mondademhaling en roken zijn plaque-bevorderende factoren, evenals niet goed aansluitende vullingen. Er kan vanuit gingivitis ook een ernstigere, diepe ontsteking ontstaan (parodontitis).

Gingivitis kan worden veroorzaakt door herpes (gingivostomatitis herpetica), door plasmacel infiltraten (gingivitis plasmocellularis) en door Fusobacterium nucleatum menginfecties (angina van Plaut-Vincent). Gingivitis en gingiva hyperplasie kunnen worden gezien bij gebruik van ciclosporine en bij de ziekte van Crohn.

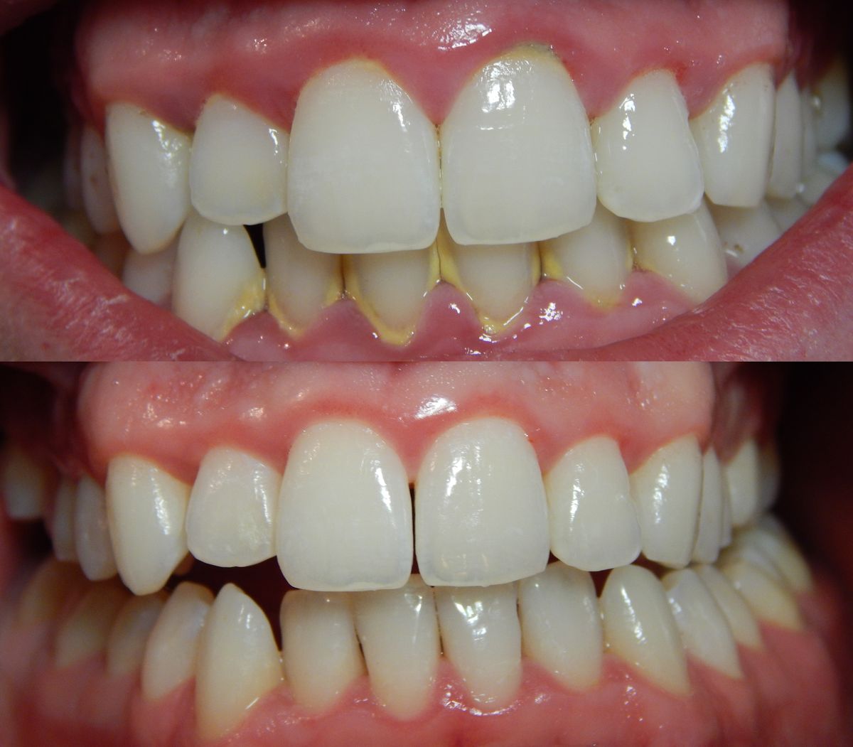
Gingivitis
gingivitis

Foto: Onetimeuseaccount - Wikimedia (Creative Commons License 2.0).


Therapie:
Verwijderen van tandplaque door de tandarts of de mondhygiënist. Goed tanden poetsen en verzorgen van het tandvlees (intensief poetsen, elektrische tandenborstel met roterende kop, interdentale reiniging met tandenstokers, tandzijde of interdentale borsteltjes). Regelmatige controle door de tandarts.
R/ Chloorhexidine 0.2% FNA mondspoeling.
R/ pijnbestrijding en antibiotica (amoxicilline / clavulaanzuur) bij acute gingivitis.


Referenties
1. Jones CG. Chlorhexidine: is it still the gold standard? Periodontol 2000 1997;15:55-62;.
2. Grundemann LJ, Timmerman MF, Van der Velden U, Van der Weijden GA. Reduction of stain, plaque and gingivitis by mouth rinsing with chlorhexidine and peroxyborate. Ned Tijdschr Tandheelkd 2002;109:255-259.


Author(s):
dr. Jan R. Mekkes. Dermatologist, Amsterdam UMC.

31-05-2023 (JRM) - www.skin-diseases.eu Terug naar homepagina



Diagnosis codes:
ICD10 K05.0 Acute gingivitis
ICD10 K05.0 Acute gingivitis
SNOMED 31642005 Acute gingivitis
DBC 27 spacer Diagnose niet nader omschreven

ICD10 K05.1 Chronische gingivitis
ICD10 K05.1 Chronic gingivitis
SNOMED 72621003 Chronic gingivitis
DBC 27 spacer Diagnose niet nader omschreven

ICD10 K05.1 Chronische gingivitis: gingivitis, niet gespecificeerd
ICD10 K05.1 Chronic gingivitis: gingivitis, unspecified
SNOMED 66383009 Gingivitis
DBC 27 spacer Diagnose niet nader omschreven

ICD10 K05.1 Chronische gingivitis: gingivitis plasmocellularis
ICD10 K05.1 Chronic gingivitis: plasma cell gingivitis
SNOMED 234992005 Plasma cell gingivitis
DBC 27 spacer Diagnose niet nader omschreven