Familial multiple discoid fibromas (
familial
multiple trichodiscomas,
OMIM
190340) is de beschrijvende
naam voor een autosomaal dominant erfelijke aandoening waarbij multipele
trichodiscomen (nieuwe voorkeursterm:
discoide fibromen) ontstaan, vooral in het gezicht, op de wangen,
en specifiek ook op de oorranden. Klinisch ziet men oppervlakkige, vaak uitpuilende
witte of huidkleurige ronde vast aanvoelende papeltjes van 1-3 mm grootte. Op
de oren kunnen multipele en grotere uitpuilende laesies ontstaan, met teleangiëctastieën
op het oppervlak. Soms, veel minder vaak zijn er ook discoide fibromen op de
romp en extremiteiten.
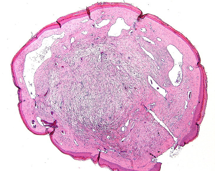
![Multiple discoid fibroma (click on photo to enlarge) [source: Starink TM et al. J Am Acad Dermatol 2012] Multiple discoid fibroma](../../../images/familial-multiple-discoid-fibromas-6z.jpg) |
| multiple
discoid fibromas |
Foto's: Starink TM, et al. Familial multiple discoid fibromas: a look-alike
of Birt-Hogg-Dubé syndrome not linked to the FLCN locus. J Am Acad Dermatol
2012;66(2):259.e1-9.
Familial multiple discoid fibromas kan lijken op het
Birt-Hogg-Dube
syndroom, waarbij ook trichodiscomen / fibrofolliculomen voorkomen,
maar er is geen mutatie in het FLCN gen. Waarschijnlijk wordt het veroorzaakt
door een mutatie in of rond het gen voor FNIP1 op chromosoom 5. Het is een zeldzame
aandoening, maar in Nederland zijn er enkele (vooral Urker) families beschreven
waarin dit voorkomt.
Bij het
Birt-Hogg-Dube syndroom, veroorzaakt
door een mutatie in het FLCN gen, kunnen naast multipele trichodiscomen of fibrofolliculomen
ook longcysten, pneumothorax, en niercarcinomen voorkomen. Het is waarschijnlijk
dat vroeger, voordat diagnostiek naar het FLCN gen mogelijk was, bij patiënten
met familiale multipele discoide fibromen (FMDF) ten onrechte de diagnose Birt-Hogg-Dube
syndroom is gesteld. Familiale multipele discoide fibromen ontstaan op jongere
leeftijd, hebben een opvallende distributie met veel laesies op de oorranden,
en zijn niet geassocieerd met andere klachten zoals pneumothorax of niertumoren.
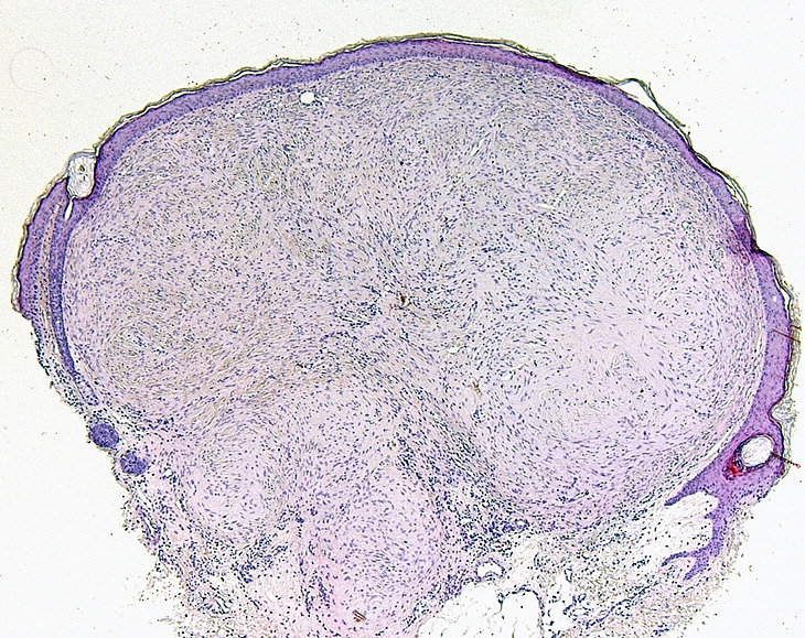
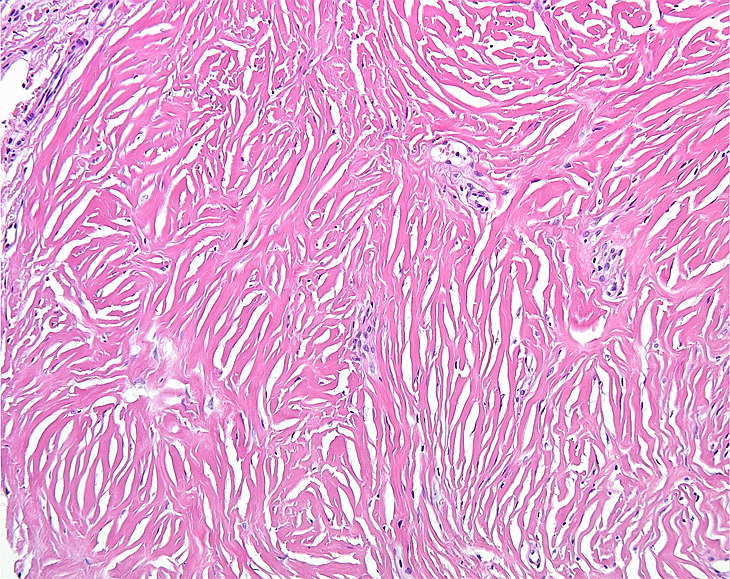
PA:Histologisch gaat het om bolvormige fibreuze tumoren
met een prominente vasculaire component, gelegen in de papillaire dermis. De
overliggende epidermis is atrofisch. Een haarfollikel kan aanwezig zijn in of
nabij de rand van de laesie. De oorspronkelijke naam trichodiscoma suggereert
dat de laesies uitgaan van de 'haardisk', maar daarover is twijfel. Daarom is
de naam discoid fibroma beter. Klinisch zijn het ook kleine ronde schijfvormige
oppervlakkig gelegen tumortjes. Een ‘haardisk’ werd in 1902 beschreven door
Pinkus als een mechanoreceptief adnexaal orgaantje, bestaande uit een schijf
rond de haar, rijk gevasculariseerd, waarin Merkelcellen en dikke gemyeliniseerde
zenuwuiteinden, en bekleed met een dikke epidermis.
Bij het Birt-Hogg-Dube syndroom wordt nu gedacht dat trichodiscoma en
fibrofolliculoma (en
perifolliculair fibroom) eigenlijk
dezelfde entiteiten zijn. En dat het afhangt van de plek en het moment van biopteren
in het beloop van de aandoening, en de richting van het aansnijden, welke diagnose
de patholoog er op stelt. De voorkeursterm is fibrofolliculoma. Het klassieke
fibrofolliculoma heeft centraal meestal een haarfollikel met een keratine plug,
omgeven door een mantel van mucoid of fibreus stroma. Ook kunnen er dunne strengetjes
van basaloid epitheel vanuit de centrale follikel lopen naar het omgevende fibrovasculaire
stroma, in een reticulair (netvormig) patroon. Deze epitheelstrengetjes en de
centrale haarfollikel worden niet gezien bij familiale multipele discoide fibromen.
DD:Fibrofolliculoma,
fibrofolliculomen in het kader van
Birt-Hogg-Dube syndroom,
perifolliculair fibroom nno,
syringomen,
milia,
milia-like calcinosis cutis,
tubereuze
sclerose (multipele
angiofibromen),
faciale angiofibromen bij multiple endocrine neoplasia type 1,
Cowden syndroom (multipele faciale trichilemmomas),
multiple trichoepitheliomas, basaloid follicular hamartoma syndrome, generalized
hair follicle hamartoma,
Muir-Torre
syndroom, neurofollicular hamartoma.
Diagnostiek:
Biopt. Birt-Hogg-Dube syndroom uitsluiten d.m.v. familieanamnese (pneumothorax,
niertumoren) en DNA diagnostiek naar mutaties in het FLCN gen (aanwezig bij >
90% van BHD-patiënten).
Therapie:

Chirurgische
excisie, punch-biopt excisie, curettage, CO2 laser.
R/ rapamycine oplossing
1 mg/ml 1 dd aanbrengen op de laesies gedurende 4 maanden.
Referenties
| 1. |
Starink TM, Houweling AC, van Doorn MB, Leter
EM, Jaspars EH, van Moorselaar RJ, Postmus PE, Johannesma PC, van
Waesberghe JH, Ploeger MH, Kramer MT, Gille JJ, Waisfisz Q, Menko
FH. Familial multiple discoid fibromas: a look-alike of Birt-Hogg-Dubé
syndrome not linked to the FLCN locus. J Am Acad Dermatol 2012;66(2):259.e1-9. |
| 2. |
Wee JS, Chong H, Natkunarajah J, Mortimer
PS, Moosa Y. Familial multiple discoid fibromas: unique histological
features and therapeutic response to topical rapamycin. Br J Dermatol
2013;169(1):177-180. |
| 3. |
Gijezen LM, Vernooij M, Martens H, Oduber
CE, Henquet CJ, Starink TM, Prins MH, Menko FH, Nelemans PJ, van
Steensel MA. Topical rapamycin as a treatment for fibrofolliculomas
in Birt-Hogg-Dubé syndrome: a double-blind placebo-controlled randomized
split-face trial. PLoS One 2014 Jun 9;9(6):e99071. |
| 4. |
Tong Y, Coda AB, Schneider JA, Hata TR, Cohen
PR. Familial Multiple Trichodiscomas: Case Report and Concise Review.
Cureus 2017;9(8):e1596. |
| 5. |
van de Beek I, Glykofridis IE, Tanck MWT,
Luijten MNH, Starink TM, Balk JA, Johannesma PC, Hennekam E, van
den Hoff MJB, Gunst QD, Gille JJP, Polstra AM, Postmus PE, van Steensel
MAM, Postma AV, Wolthuis RMF, Menko FH, Houweling AC, Waisfisz Q.
Familial multiple discoid fibromas is linked to a locus on chromosome
5 including the FNIP1 gene. J Hum Genet 2023;68(4):273-279. |
| 6. |
Birt AR, Hogg GR, Dube WJ. Hereditary multiple
fibrofolliculomas with trichodiscomas and acrochordons. Arch Dermatol
1977;113:1674-1677. |
| 7. |
Toro JR, Wei M-H, Glenn GM, Weinreich M,
Toure O, Vocke C, et al. BHD mutations, clinical and molecular genetic
investigations of Birt-Hogg-Dube syndrome: a new series of 50 families
and a review of published reports. J Med Genet 2008;45:321-331. |
| 8. |
Starink TM, Kisch LS, Meijer CJLM. Familial
multiple trichodiscomas: a clinicopathologic study. Arch Dermatol
1985;121:888-891. |
| 9. |
Pinkus F. Ueber einen bisher unbekannten
Nebenapparat am Haarsystem des Menschen: Haarscheiben. Dermatol
Z 1902;9:465-469. |
| 10. |
Pinkus H, Coskey R, Burgess GH. Trichodiscoma:
a benign tumor related to Haarscheibe (hair disk). J Invest Dermatol
1974;63:212-218. |
| 11. |
Vincent A, Farley M, Chan E, James WD. Birt-Hogg-Dube
syndrome: a review of the literature and the differential diagnosis
of firm facial papules. J Am Acad Dermatol 2003;49:698-705. |
| 12. |
Starink TM, Brakman M, Bril H. Familiaire
multipele trichodiscomen (Birt-Hogg-Dube syndroom?). Ned Tijdschr
Dermatol Venereol 2003;13:167-168. |
| 13. |
Cohen AD, Grunwald MH, Avinoach I, Halevy
S. Multiple agminated trichodiscomas in the earlobe. J Am Acad Dermatol
2003;49:729-730. |
Author(s):dr. Jan R. Mekkes. Dermatologist, Amsterdam UMC.