TUNGIASIS (ZANDVLOOIEN) home ICD10: B88.1

Tungiasis is een parasitaire huidziekte, vaak aan de voeten (tenen, hielen), veroorzaakt door de vrouwelijke zandvlo (Tunga penetrans) die zich ingraaft in de dermis van de gastheer. Tungiasis komt voor in Zuid en Midden-Amerika, het Caraïbisch gebied, Afrika, Pakistan en India. Honden, katten, varkens en ratten zijn de belangrijkste reservoirs. Wordt steeds vaker in Nederland gezien als importziekte door toename van het reizen naar de tropen (werk, vakantie). Tunga penetrans heeft vele andere namen: zandvlo, 'jigger' (Engels), 'chique' (Frans), 'sika' (Surinaams), 'bicho de pe' (vlo van de voet, Portugees). Tungiasis behoort tot de grotere ectoparasitosen, samen met pediculosis, scabiës en cutane larva migrans, substantiële morbiditeit veroorzakend in endemische gebieden.

Verpreidingsgebied van tungiasis
Beloop infectie:
De volwassen vlo is roodbruin, het mannetje is ongeveer 0.5 mm lang, het vrouwtje 1 mm. Ze leven bij voorkeur op een warme, droge, schaduwrijke en zanderige bodem, in stoffige hutten, veestallen en andere dierbehuizingen. Het bevruchte vrouwtje probeert zich in de huid van mens of dier in te graven. Na de huid binnengekomen te zijn, vergroot zij zich door bloed en ontwikkelende eieren. Als haar abdomen zwelt, kan zij een afmeting van een centimeter bereiken. De kop van de vlo dringt door tot in de dermis. De achterste abdominale segmenten (het neosoom) blijven door een gat in de hoornlaag verbinding houden met de buitenwereld, zodat de vlo kan blijven ademen en excreet en rijpe eieren naar buiten brengen. Honderden eieren worden op deze manier in een periode van ongeveer drie weken uitgestoten. Nadat de eieren naar buiten gebracht zijn, sterft het vrouwtje in situ, verschrompelt en wordt uitgestoten.

Tunga penetrans Tunga penetrans Tungiasis
Tunga penetrans Tunga penetrans Tungiasis

Tungiasis Tungiasis Tungiasis
Tungiasis Tungiasis Tungiasis

EM-Foto: Janice Haney Carr - CDC Atlanta - Wikimedia (Public Domain Image).
Foto boven midden: Philipp Weigell - Wikimedia (Creative Commons License 3.0).


Klinisch beloop:
Aspect van de laesie is afhankelijk van de fase waarin de infectie zich bevindt. Er kunnen vijf stadia worden onderscheiden:

Stadium 1: (vlo in statu penetrandi, 30 minuten tot enige uren)
Op de plaats van penetratie is aanvankelijk een kleine erythemateuze papel met een zwarte pit zichtbaar, met of zonder erythemateuze halo. De patiënt klaagt vaak over jeuk.

Stadium 2: (beginnende hypertrofie met formatie van neosoom)
Laesie duidelijker aanwezig, groeiende wittige papel ontstaat met in het midden een zwarte punt (het anale / genitale deel van de vlo) omgeven door erytheem.

Stadium 3: (maximale hypertrofie, twee dagen tot drie weken na penetratie)
Hypertrofie wordt macroscopisch zichtbaar, een zwelling met scherpe begrenzing en vastelastische consistentie ontstaat, frequent omringd door lokale desquamatie.Typisch voor deze fase is het uitstoten van eieren en faeces. De laesie wordt nu als pijnlijk ervaren, er ontstaat een vreemdlichaam reactie bij de patiënt.

Stadium 4: (drie tot vijf weken na penetratie)
Een zwarte crusta bedekt een naar binnenwaarts gekrulde laesie met hierin de dode parasiet. De dode vlo wordt in de dermis van de gastheer geëlimineerd, een circulaire depressie in de epidermis achterlatend.

Stadium 5: (zes weken tot enige maanden na penetratie)
Een rond litteken in het stratum corneum is karakteristiek voor dit stadium.

Typisch voor T. Penetrans is dat vaak de hielen, het periunguale deel van de tenen, of het gebied net onder de nagelrand is aangedaan, de reden hiervoor is onbekend. De zandvlo kan ook op handen, ellebogen, billen en in de genitale regio worden aangetroffen.De vlo kan tot 250 keer haar eigen lengte springen. Als zich meerdere laesies tegelijkertijd voordoen, zijn de parasieten vaak in clusters aanwezig, vaak op hielen, tenen en voetzolen. De aandoening kan gecompliceerd worden door secundaire superinfectie van de laesie(s). Vaak door stafylokokken, streptokokken, maar ook Clostridiae kunnen hierbij betrokken zijn.Niet-gevaccineerde individuen kunnen door tungiasis met tetanus geïnfecteerd worden. Bij ruptuur tijdens verwijdering, waarbij monddelen van de parasiet blijven vastzitten, kan er forse lokale ontsteking ontstaan.

DD (afhankelijk van stadium infectie):
Stadium 1: vreemd lichaam reactie, splinter, zee-egel punt.
Stadium 2: (persistant) insectensteek, acute paronychia.
Stadium 3: furunculaire myiasis (infestatie door vliegenlarven), persistant insect bite, scabiës, dermoid cyste, pyodermie (bij purulente laesie).
Stadium 4: locaal gangreen, acrolentigineus melanoom.

Diagnostiek:
De diagnose wordt gesteld door een combinatie van klinisch beeld, beloop, en anamnese (recent in buitenland geweest in endemische gebieden).
Eventueel aanvullend onderzoek: dermatoscopie (soms is lozing van eieren hierbij waarneembaar).

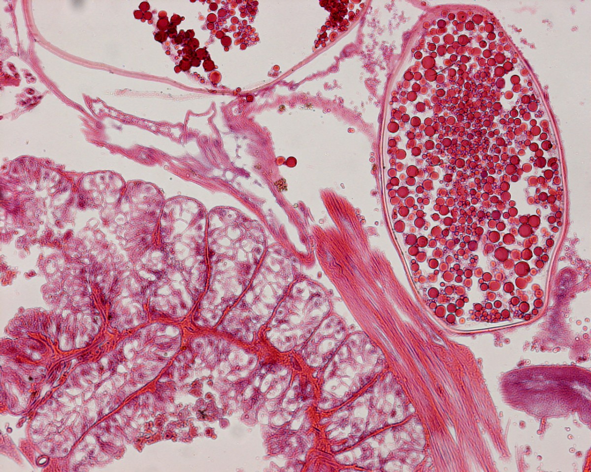
Histologie:
Het histologisch beeld wordt gekenmerkt door het vinden van Tunga penetrans in de epidermis of dermis. Het exoskelet, eieren in opeenvolgende stadia van ontwikkeling en delen van de tractus digestivus van de parasiet worden veelal gezien. Soms zijn er ook eieren te zien in het stratum corneum met onderliggende epidermale necrose. In circa 70% van de gevallen vertoont de epidermis afwijkingen, meest voorkomend zijn acanthose en parakeratose. Spongiose en hyperkeratose komen in minder dan 10-20% van de gevallen voor. In 30% wordt een onstekingsinfiltraat met neutrofielen of micro-abcessen gezien, meestal naast het exoskelet van de parasiet. De dermis vertoont een ontstekingsinfiltraat met voornamelijk lymfocyten, plasmacellen en eosinofielen.

Tungiasis Tungiasis


Histologie tungiasis
ingescande coupe (zoom)

Bron hoge resolutie PA-foto: Kevin Kwee en Afdeling Pathologie MUMC. Klik op de afbeelding om in te zoomen.


Behandeling:
In alle gevallen de vlo / vlooien verwijderen. In de tropen wordt de vlo er meestal met een (steriele) naald uitgepeuterd, eventueel na reinigen met alcohol of ether (doodt de vlo). Om de vlo er netjes uit te krijgen zonder resten achter te laten is het eigenlijk nodig om de opening iets te vergroten. Bij aanwezigheid van meer faciliteiten kan men dat doen (zonodig na lokale anaesthesie) door de opening te omboren met een 4 mm biopteur of te vergroten met een of meer mes sneetjes. Daarna de vlo verwijderen met pincet en/of kleine curette. Goed reinigen en eventueel nabehandelen met lokale antiseptica (b.v. flammazinezalf of betadine jodiumzalf) om secundaire infectie te voorkomen. Check tetanus vaccinatie status, zonodig revaccineren (zie onder tetanus).
R/ Stromectol (ivermectine tab 3 mg), 200 microg/kg lichaamsgewicht eenmalig (overeenkomend met 15-24 kg 3 mg, 25-35 kg 6 mg, 36-50 kg 9 mg, 51-65 kg 12 mg, 66-79 kg 15 mg, vanaf 80 kg 18 mg). Bij multipele lesies.
R/ Ambilhar (niridazole, Ciba Geigy, te importeren op artsenverklaring) 30 mg/kg. Bij multipele lesies.

Preventie:
Voorlichting aan toeristen over het bestaan van de aandoening en advies om afgesloten schoeisel te dragen in endemische gebieden.


patientenfolder


Referenties
1. Feldmeier H, Heukelbach J. Tungiasis. In: Faber WR, Hay RJ, Naafs B (eds.). Imported skin diseases, 2006, pp: 233-240.
2. Gibbs NF. Tungiasis. Emedicine Topic 477 (last update February 2007).
3. de Bree R, van Vloten WA. Tungiasis. Ned Tijdschr Geneeskd 1992;136: 1359-1362.
4. Sachse MM, Guldbakke KK, Khachemoune A. Tunga penetrans: a stowaway from around the world, review article. JEADV 2007;21:11-16.
5. Heukelbach J, Feldmeier H. Ectoparasites - the underestimated realm. Lancet 2004;363: 889-891.
6. Smith MD, Procop GW. Typical Histologic Features of Tunga penetrans in Skin Biopsies. Arch Pathol Lab Med 2002;126:714-716.
7. Maco V, Maco V, Tantalean ME. Case Report: Histopathological Features of Tungiasis in Peru. Am J Trop Med Hyg 2013;88(6):1212-1216.
8. Weedon D. Arthropod-induced diseases. In: Weedon's Skin Pathology. 3th ed. Churchill Livingstone 2010:659.
9. Feldmeier H, Eisele M, Van Marck E et al. Investigations on the biology, epidemiology, pathology and control of Tunga penetrans in Brazil: IV. Clinical and histopathology. Parasitol Res 2004;94:275-282.


Author(s):
Dave van der Zwaan. Dermatoloog, Flevoziekenhuis Almere.
dr. Jan R. Mekkes. Dermatologist, Amsterdam UMC.
Prof.dr. William Faber. Dermatologist, Amsterdam UMC.
Mary-Ann el Sharouni. Co-assistent, UMC Utrecht.
Norbert A. Ipenburg. Co-assistent, UMC Utrecht.
Prof. dr. Marijke R. van Dijk. Patholoog, UMC Utrecht.

31-05-2023 (DVZ / WRF / JRM / MAS / NAI / MRD) - www.huidziekten.nl Terug naar homepagina



Diagnosis codes:
ICD10 B88.1 Tungiasis [zandvlieginfestatie]
ICD10 B88.1 Tungiasis [sandflea infestation]
SNOMED 64612002 Tunga penetrans infestation
DBC 4 Dermatosen door micro-organismen