Roos (hoofdroos, pityriasis simplex capillitii, dandruff,
seborroisch eczeem van de hoofdhuid) is
schilfering van de hoofdhuid,
variërend van lichte fijne (pityriasiforme) diffuse schilfering tot dikke adherente
psoriatiforme schilfers (
pityriasis
amiantacea). Vaak tevens jeuk. Roos wordt beschouwd als een vorm
van
seborroisch eczeem van de hoofdhuid,
waarbij overgroei van
Pityrosporum gisten
(Malassezia sp.) een rol speelt. Vroeger, voordat dit duidelijk
was, werd gewone milde hoofdroos
pityriasis capitis sicca
(pityriasis simplex) genoemd; meer uitgebreid seborroisch eczeem met vettige
gelige schilfers op de huid werd
pityriasis capitis oleosa
(pityriasiform seborrheic dermatitis) genoemd en daarnaast was ook nog de naam
pityriasis capitis in gebruik voor een gistinfectie
van het behaarde hoofd met
Pityrosporon ovale. Al deze namen komen
nog voor in de diagnoselijst, maar eigenlijk volstaat nu 1 naam voor deze aandoening:
pityriasis capitis (hoofdroos).
![Hoofdroos (pityriasis capitis, dandruff, seborroisch eczeem van de hoofdhuid) (click on photo to enlarge) [source: www.huidziekten.nl] Hoofdroos (pityriasis capitis)](../../../images/hoofdroos-1z.jpg) |
![Hoofdroos (pityriasis capitis, dandruff, seborroisch eczeem van de hoofdhuid) (click on photo to enlarge) [source: www.huidziekten.nl] Hoofdroos (pityriasis capitis)](../../../images/hoofdroos-2z.jpg) |
![Hoofdroos (pityriasis capitis, dandruff, seborroisch eczeem van de hoofdhuid) (click on photo to enlarge) [source: www.huidziekten.nl] Hoofdroos (pityriasis capitis)](../../../images/hoofdroos-3z.jpg) |
| hoofdroos |
hoofdroos |
hoofdroos |
![Hoofdroos (pityriasis capitis, dandruff, seborroisch eczeem van de hoofdhuid) (click on photo to enlarge) [source: www.huidziekten.nl] Hoofdroos (pityriasis capitis)](../../../images/hoofdroos-4z.jpg) |
![Hoofdroos (pityriasis capitis, dandruff, seborroisch eczeem van de hoofdhuid) (click on photo to enlarge) [source: www.huidziekten.nl] Hoofdroos (pityriasis capitis)](../../../images/hoofdroos-5z.jpg) |
![Hoofdroos (pityriasis capitis, dandruff, seborroisch eczeem van de hoofdhuid) (click on photo to enlarge) [source: www.huidziekten.nl] Hoofdroos (pityriasis capitis)](../../../images/hoofdroos-6z.jpg) |
|
hoofdroos |
hoofdroos |
hoofdroos |
Het ontstaan van roos wordt door drie factoren bepaald: de hoeveelheid
sebum (talg) op de huid, de aanwezigheid van
gisten (Malassezia soorten) op de huid, en aanleg,
een bepaalde bevattelijkheid voor het krijgen van roos (en seborroisch eczeem).
Bij vet haar (
seborrhoea capitis) is er meer
overgroei van gisten en komt vaker hoofdroos voor.
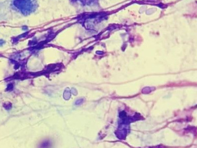
Malassezia is een knopvormende gistsoort, die overal
op de huid voorkomt. De gist is niet in staat om zijn eigen lipiden te synthetiseren
en leeft van de lipiden uit het vetlaagje op de huid. Er zijn inmiddels verschillende
Malassezia subtypen bekend, zoals
M. furfur (andere namen:
Pityrosporum
of
Pityrosporon orbiculare en
ovale),
M. globosa, M. restricta,
M. pachydermatosus, M. sympodialis, M. obtusa, en
Malassezia slooffiae.
Uit recent onderzoek blijkt dat
M. globosa en
M. restricta
het meest worden gevonden bij hoofdroos. Deze typen, vooral
M. globosa,
produceren grote hoeveelheden lipase en andere vetafbrekende enzymen. De triglyceriden
uit sebum worden afgebroken in verzadigde en onverzadigde vetzuren. De verzadigde
vetzuren worden geconsumeerd door de gist, de onverzadigde vetzuren blijven
achter op de huid. De huidige theorie is dat deze onverzadigde vrije vetzuren
of metabolieten daarvan zoals oleic acid (oleïnezuur) de huid irriteren en een
milde ontstekingsreactie (eczeem) veroorzaken.
![Pityrosporum gisten (Malassezia furfur) (click on photo to enlarge) [source: CDC Atlanta - Public Domain Image] Pityrosporum gisten (Malassezia furfur)](../../../images/pityriasis-versicolor-8z.jpg) |
![Pityriasis versicolor (click on photo to enlarge) [source: www.huidziekten.nl] Pityriasis versicolor](../../../images/pityriasis-versicolor-7z.jpg) |
|
M. furfur (DipQuick) |
M. furfur (DipQuick) |
DD: mycose (
Microsporon
audouinii), uitdroging van de hoofdhuid door agressieve shampoos voor vet
haar, forme fruste van psoriasis capitis, eczeem nno, contacteczeem.
Therapie hoofdroos / pityriasis capitis / seborroisch eczeem van de
hoofdhuid:R/ Head & Shoulders Classic Antiroos Shampoo.
Bevat piroctone olamine. Piroctone olamine is een antimycoticum. Het wordt vaak
gebruikt in antiroosshampoo als vervanging voor zinkpyrithion dat in 2022
van de markt is gehaald omdat het kankerverwekkend zou zijn.
R/ Resdan anti-roos shampoo, Resdan anti-roos shampoo forte.
Bevat piroctone olamine, salicylzuur en menthol.
R/ Guhl anti-roos shampoo. Bevat piroctone olamine.
R/ Sebamed anti-roos shampoo. Bevat piroctone olamine.
R/ ketoconazol shampoo (60 ml), minimaal keer per week (na
wassen haar met willekeurige shampoo) op vochtig haar inmasseren, 3-5 minuten
laten intrekken, uitspoelen en drogen. Zonodig onderhoudsbehandeling 2-4 keer
per maand.
R/ 5% tea tree olie shampoo.
R/ itraconazol oraal (in ernstige gevallen).
Koolteerhoudende producten voor het behaarde hoofd:
R/ koolteer 7.5% / levomenthol 1.5% shampoo, flacon à 300 ml (magistraal
recept van Fagron, bestelnr. 117942, ter vervanging van Denorex Rx shampoo).
Denorex Rx is niet meer leverbaar in Nederland. Alternatieven zijn
koolteer 7.5% / levomenthol 1.5% shampoo van Fagron, Denorex Therapeutic Maximum Itch Relief Dandruff Shampoo & Conditioner,
verkrijgbaar via Amazon.com, en TarMed shampoo (koolteer 4%), in Duitsland
verkrijgbaar.
Corticosteroïden (in ernstige gevallen):
R/ Triamcinolon lotion (solutio triamcinoloni spirituosa composita FNA).
R/ Topicorte 2.5 mg/g 1-2 dd op behaarde hoofd, 's ochtends uitspoelen met Resdan
anti-roos shampoo.
R/ Betnelan scalplotion.
R/ miconazol 2% in Locoid
scalp lotion of in Locoid Crelo.
R/ calcipotriol / betamethason.
Vetten om de schilfering
los te weken:R/ lanettesmeersel
FNA of cetomacrogolsmeersel FNA.
R/ cetiol V 25% in cetomacrogolzalf (Fagron nr 105819).
R/
cetiol V 25% in basis pro cetomacrogolzalf
FNA.
R/ cetiol V 25% in ung lanette FNA.
R/ cetiol V 25% in basis pro ung lanette FNA.
R/ cremor vaselini lanette FNA (vetcrème).
R/ cremor vaselini cetomacrogolis
FNA (vetcrème).
R/ lotio paraffine capitis (250 ml).
R/ 20% LCD in lotio
paraffine capitis (250 ml).
R/ unguentum lanette FNA (vet) of de basis pro ung lanette FNA.
R/ unguentum
cetomacrogolis FNA (vet) of de basis pro ung cetomacrogolis FNA.
R/ axungia
(adeps suillus, reuzel, varkensvet). Het nadeel van
axungia is dat het niet
lekker ruikt, snel ranzig wordt en minder goed uitwasbaar is.
Koolteerhoudende magistrale bereidingen voor het behaarde hoofd:
R/ solutio carbonis detergens 5-10%, sapo kalinus 60%, spiritus fortior ad 100.
R/ solutio carbonis detergens 5-10%, sapo kalinus 60%, oleum lavendulae aetheroleum
1%, zinkpyrithion 1-2%, spiritus fortior ad 100.
R/ solutio carbonis detergens 5-10% in lanette crème, avonds in het haar aanbrengen,
de volgende ochtend uitwassen met shampoo. Mensen met blond of grijs haar moeten
voorzichtig zijn met het toepassen van teershampoos: het haar kan hierdoor verkleuren.
Referenties
| 1. |
Affes M, Salah SB, Makni F, Sellami H, Ayadi
A. Molecular identification of Malasseziaspecies isolated from dermatitis
affections. Mycoses 2009; 52:251-256. |
| 2. |
Dawson TL Jr. Malassezia globosa and restricta:
breakthrough understanding of the etiology and treatment of dandruff
and seborrheic dermatitis through whole-genome analysis. J Investig
Dermatol Symp Proc 2007;12(2):15-19. |
| 3. |
Satchell AC, Saurajen A, Bell C, Barnetson
RS. Treatment of dandruff with 5% tea tree oil shampoo. J Am Acad
Dermatol 2002;47(6):852-855. |
Author(s):dr. Jan R. Mekkes. Dermatologist, Amsterdam UMC.