CRYPTOCOCCOSIS (Torulopsis, Europese blastomycosis) home ICD10: B45.2

Cryptococcosis (Cryptococcus neoformans infectie) wordt ingedeeld onder de systemische (diepe) mycosen, samen met histoplasmosis, aspergillosis, coccidioidomycosis, paracoccidioidomycosis, mucormycosis, blastomycosis, en sporotrichosis. Predisponerende factoren zijn immunosupressie (medicamenteus, HIV), diabetes mellitus, lymfomen, sarcoidose, en SLE. De incidentie stijgt, door toename intercontinentaal reizen. Het meest aangedaan zijn de longen (porte d'entree via aerosolen, stof), via hematogene versleping kunnen ook andere organen aangedaan zijn zoals de hersenen (80%), nieren (30%), huid (10-15%), skelet (5%), prostaat, peritoneum, lever, en endo- en pericard. Primaire cutane cryptococcosis komt ook voor (10-15%), vooral bij HIV-patiënten.

Cryptococcosis Cryptococcosis Cryptococcosis
cryptococcosis cryptococcosis cryptococcosis

Cryptococcosis Cryptococcosis Cryptococcosis
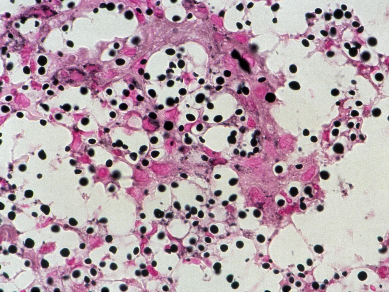
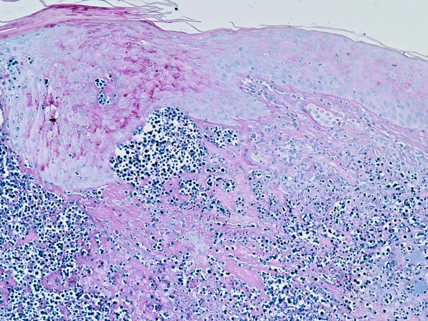
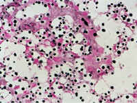
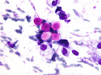
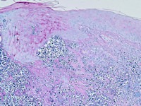
cryptococcen (PA) cryptococcen (PA) Cryptococcus neoformans

PA-foto rechtsonder: Michael Bonert (Nephron) - Wikimedia (Creative Commons License 3.0).


Symptomen:
Neurologisch: hoofdpijn (80%), uitval hersenzenuwen (25%), intracraniële drukverhoging (papiloedeem), visusstoornis (40%), verwardheid (40%), gestoorde loop.
Pulmonaal: pijn, hoesten (hemoptoë).
Huidafwijkingen: 'crusted granulomas' (acneiforme papels / pustels met crusta, noduli / wratachtige laesies), ulcera (soms voorafgegaan door blaar, snel groeiend, uitgeponst, diep, gladde bodem, gelatineuze rand, DD: pyoderma gangrenosum), subcutane zwellingen (niet pijnlijk, langzaam groeiend, week aanvoelend, imponerend als cyste, kunnen ulcereren), cellulitis (erythemateuze of maculopapuleuze laesie, warm, pijnlijk, kan overgaan in vesikels met crustae, DD: herpes zoster), dermale plaques, palpabele purpura. Bij HIV kunnen andere vormen ontstaan: mollusca contagiosa achtige laesies, Kaposi achtige laesies, herpetiforme laesies, acneiforme laesies, diffuus erytheem en zwelling van een onderbeen lijkend op erysipelas, en tumoren.

Diagnostiek:
2 biopten van suspecte laesie, voor PA (PAS- of mucikarmijnkleuring) en kweekbiopt. Indien van toepassing aspiraat/vocht opsturen voor kweek. Eventueel pus met 10% KOH bekijken. Gelokaliseerde cutane cryptococcosis zonder systemische infectie is uiterst zeldzaam dus aanvullend onderzoek is nodig: lab (BSE, leuko's + diff, nierfunctie, glucose, alkalische fosfatase, HIV-test, CD4), X-thorax, indien afwijkend: consult longarts (BAL, Percutane longpuntie), kweken van urine (33%), bloed (10%) en sputum (10%), consult neuroloog (lumbaal punctie, directe uitstrijk liquor, glucose, eiwit, leucocyten (lymfocytose), kweek, aantonen kapsel antigeen (90%). Het cryptococcen kapsel antigeen (latex agglutinatie) kan worden bepaald in liquor, serum, en sputum. Cryptococcen antistoffen (IIF) worden gevonden bij 77-90% van de patiënten.

Therapie:
Geïsoleerde cutane vorm, niet immuungecompromitteerd: expectatief (pm: huidafwijkingen kunnen 2-8 mnd. voor systemische effecten ontstaan). Immuungecompromitteerd: afweer trachten te herstellen (bij HIV HAART)) en infectie behandelen met fluconazol 200-400 mg dd.
R/ fluconazol 400 mg op de eerste dagm gevolgd door 1 dd 200-400 mg gedurende minstens 6-8 weken. Bij levensbedreigende infectie 800 mg/dag.

Gedissemineerde vorm, niet immuungecompromitteerd: pulmonale cryptococcose: expectatief; Cryptococcen meningitis: Amfotericine B 0.4 mg/kg/dd i.v. of flucytosine 150 mg/kg/dd po, gedurende min. 6 weken, tot 4 opeenvolgende wekelijkse liquor kweken negatief zijn. Eventueel intrathecaal. Alternatieven: fluconazol 400 mg iv of po op dag 1 gevolgd door 200 mg po gedurende ten minste 6-8 weken.

Gedissemineerde vorm, immuungecompromitteerd: pulmonale cryptococcose: Amfotericine B 0.5-0.7 mg/kg/dd iv eventueel met flucytosine 4 dd 37.5-50 mg/kg oraal of i.v. gedurende minimaal 6 weken. Bij HIV patiënten tevens fluconazol 200 mg/dd (eerste 3 weken 400 mg/dd) po, en dit levenslang profylactisch voortzetten. Cryptococcen meningitis: zie boven, ook gevolgd door fluconazol 200 mg dd. De combinatie Amfotericine B + flucytosine is minder nefrotoxisch dan alleen amfotericine, geeft snellere serumconversie en 50-70% genezing (meningitis).

Onderhoudsbehandeling:
R/ fluconazol 1 dd 200 mg.
R/ itraconazol 1 dd 400 mg.


Author(s):
dr. Jan R. Mekkes. Dermatologist, Amsterdam UMC.

31-05-2023 (JRM) - www.huidziekten.nl Terug naar homepagina



Diagnosis codes:
ICD10 B45.2 Cutane cryptokokkose
ICD10 B45.2 Cutaneous cryptococcosis
SNOMED 240724004 Cutaneous cryptococcosis
DBC 4 Dermatosen door micro-organismen