Fluor vaginalis (verhoogde afscheiding, witte vloed,
vaginitis) wordt meestal veroorzaakt door overgroei van
Candida albicans
of van
Gardnerella (
Haemophilus vaginalis, veroorzaakt bacteriële
vaginosis). Deze overgroei is vaak het gevolg van een verstoring van het evenwicht
in de vaginale flora door een antibioticakuur. Maar fluor vaginalis kan ook
worden veroorzaakt door een infectie met sexueel overdraagbare micro-organismen
(SOA). Vele micro-organismen kunnen een vaginitis veroorzaken, niet alleen
Candida en
Gardnerella, maar ook
Trichomonas,
Herpes simplex,
Mycoplasma hominis,
Neisseria gonorrhoeae,
Chlamydia, en banale infecties (bij atrofisch epitheel/pessarium).
Symptomen:Verhoogde hoeveelheid fluor, geur, pijn,
jeuk, irritatie, branderigheid, dyspareunie.
DD:
Candida vulvovaginitis,
Gardnerella, anaeroben,
Trichomonas,
Herpes simplex, Mycoplasma
hominis,
Neisseria gonorrhoeae,
Chlamydia, banale infecties, corpus alienum,
IUD, contactallergie voor sperma, condoom, pessarium of spermicide crème, carcinomen,
endometritis, cervicitis, colpitis, vulvitis,
Actinomycosis.
Anamnese:Jeuk, irritatie, pijn, kleur en geur afscheiding,
duur klachten, eerder soortgelijke klachten gehad, onbeschermd seksueel contact,
wisselende partners, partner met wisselende contacten, nieuwe partner, partner
met urethritis-klachten of bewezen soa, angst voor geslachtsziekte, kanker of
negatieve ervaringen met seksualiteit.
Lichamelijk onderzoek:
Inspectie vulva: roodheid; speculumonderzoek: kleur vaginawand, kleur en consistentie
fluor (homogeen of brokkelig), bloedende portio.
Diagnostiek:
- pH fluor (normaal 4 tot 4.5).
- aminetest: positief bij rotte-visgeur na
toevoeging aan druppel KOH.
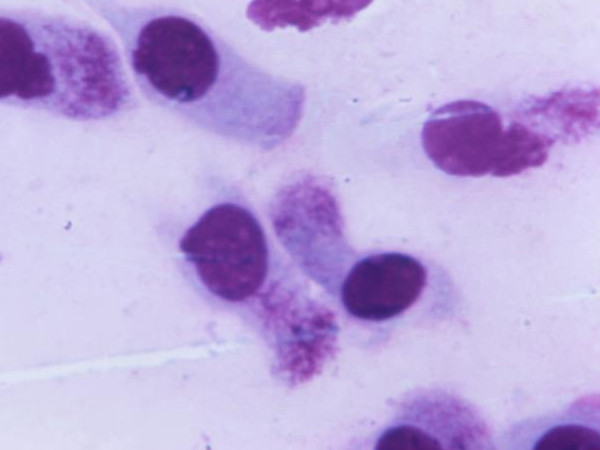
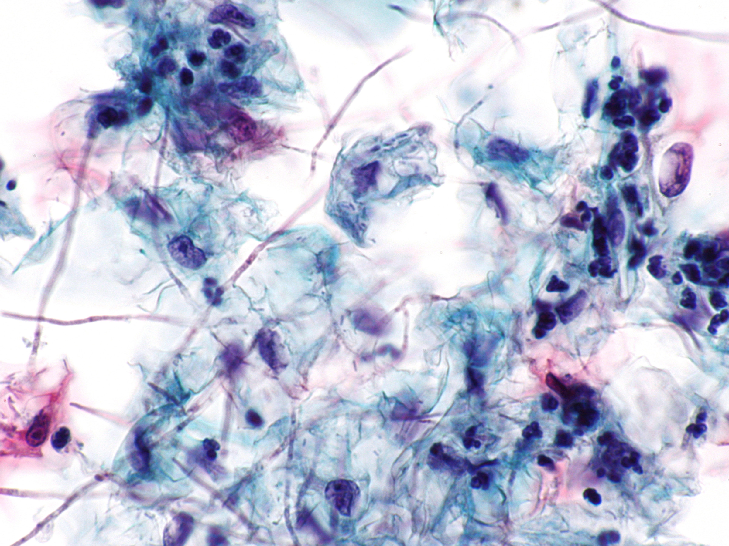
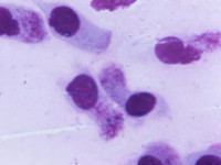
- fysiologisch-zoutpreparaat (100x en 400x):
clue-cells, leukocyten, Trichomonas.
- KOH-preparaat (100x en 400x): (pseudo-)hyfen
van Candida albicans.
- PCR Chlamydia en gonorroe bij risico op SOA.
-
Trichomonas vaginalis kweek (eventueel, moet dezelfde dag op het laboratorium
zijn).
| Differentiele diagnose van fluor vaginalis
/ vaginitis |
|
Candida |
Trichomonas |
Gardnerella |
Gonorroe |
Chlamydiae |
Herpes |
| Klacht: |
jeuk, dyspareunie, mictieklachten |
veel fluor, soms pijn, cystitis |
stinkende fluor |
fluor, jeuk, dysurie, strangurie, pollakisurie |
fluor, jeuk, dysurie |
jeuk, hevige pijn, neuralgie |
| Vagina: |
felrood, adhesieve fluor |
fluwelig rood, verheven rode stippen |
geen roodheid |
hyperaemisch |
|
blaasjes, later pijnlijke ulcera |
| Fluor: |
wit, dik, brijig, klonterig adhesief, kaasachtig |
geel-groen-wit, dun, veel, weëe zoete geur, luchtbellen |
grijs, crème-achtig, rotte vis lucht |
geel-groen bruinig, purulent op portio |
grijs muco-purulent, vanuit urethra |
purulent beslag op wand |
| Preparaat: |
10% KOH: hyphen |
natief: beweeglijke protozoa zichtbaar |
natief: geen leuko's of bacillen, wel 'clue cells' |
Gram of MB: gonococcen (geen bewijs) |
(n.v.t.) |
(cytologie, Tzanck) |
Kweek:
|
Nickerson |
geen speciale voedingsbodem noodzakelijk |
Stuart medium (niet in koelkast) en objectglas |
PCR |
PCR |
virus transport medium |
| pH: |
4-5 |
5-7 |
5-6 |
|
|
|
| Microscopie: |
![Fluor vaginalis diagnostiek (click on photo to enlarge) [source: Michael Bonert (Nephron) - Wikimedia - Creative Commons License 3.0] Fluor vaginalis diagnostiek](../../../images/fluor-vaginalis-1z.jpg) |
![Fluor vaginalis diagnostiek (click on photo to enlarge) [source: Stefan Walkowski - Wikimedia - Creative Commons License 3.0] Fluor vaginalis diagnostiek](../../../images/fluor-vaginalis-2z.jpg) |
![Fluor vaginalis diagnostiek (click on photo to enlarge) [source: CDC Atlanta - Creative Commons License 1.0 - Public Domain Image] Fluor vaginalis diagnostiek](../../../images/fluor-vaginalis-3z.jpg) |
![Fluor vaginalis diagnostiek (click on photo to enlarge) [source: CDC Atlanta - Creative Commons License 1.0 - Public Domain Image] Fluor vaginalis diagnostiek](../../../images/fluor-vaginalis-4z.jpg) |
![Fluor vaginalis diagnostiek (click on photo to enlarge) [source: CDC Atlanta - Creative Commons License 1.0 - Public Domain Image] Fluor vaginalis diagnostiek](../../../images/fluor-vaginalis-5z.jpg) |
![Fluor vaginalis diagnostiek (click on photo to enlarge) [source: www.huidziekten.nl] Fluor vaginalis diagnostiek](../../../images/fluor-vaginalis-6z.jpg) |
Foto's:
Michael Bonert (Nephron) en Stefan Walkowski - Wikimedia (Creative Commons License
3.0)
en CDC (Public Domain Images).
Therapie:Candida-infectie:
waarschijnlijk bij kort bestaande klachten van jeuk of irritatie en witte, niet-riekende
afscheiding en bij lichamelijk onderzoek een rode vulva of vaginawand en witte,
brokkelige fluor; zeker bij (pseudo-)hyfen in KOH-preparaat. Onschuldige aandoening,
kan vanzelf overgaan. Alleen behandelen bij hinderlijke klachten. Zie verder
onder
candida vulvovaginitis.
R/ éénmalig 500 mg clotrimazol of 1200 mg miconazol vaginaal; bij uitwendige
jeuk eventueel ook uitwendig antimycotische crème.
Bij onvoldoende effect:
R/ langere kuur: drie dagen 200 mg clotrimazol of 400 mg miconazol, zes dagen
100 mg clotrimazol, zeven tot veertien dagen 100 mg miconazol per dag.
Bij
zwangerschap en lactatie: hetzelfde schema.
Orale behandeling (fluconazol
of itraconazol): uitsluitend als vaginale behandeling niet wordt verdragen of
bij een sterke voorkeur van de vrouw.
Eventueel profylaxe met 500 mg clotrimazol
of 1200 mg miconazol vaginaal, op dag vijf van de cyclus, gedurende drie tot
zes maanden.
Bacteriële vaginose (Gardnerella):
bij ten minste drie van de volgende criteria: homogene fluor, pH >4.5, positieve
aminetest, ‘clue’-cellen in het fysiologisch-zoutpreparaat.
Alleen behandelen
bij hinderlijke klachten. Zie verder onder
bacteriële vaginose.
R/ metronidazol
2 g, éénmalig, partner meebehandelen is niet nodig.
Bij onvoldoende effect:
R/ metronidazol 2 dd 500 mg, zeven dagen.
Bij zwangerschap: hetzelfde schema;
bij lactatie: geef een éénmalige dosis na de laatste voeding van de dag.
Trichomonasinfectie: mogelijk bij jeuk, geelgroene
fluor, rode vaginawand, pH >4,5, leukocytose; zeker bij flagellaten in het
fysiologisch-zoutpreparaat of bij positieve kweek. Trichomonas vaginalis is
een infectie die behandeld moet worden. Ook de partner(s) van de voorgaande
4 weken waarschuwen en direct meebehandelen onfhankelijk van klachten, zomogelijk
na diagnostiek. Tijdens de behandeling geen onbeschermde sex tot 1 week na het
afronden van de behandeling, om herbesmetting te voorkomen. Zie verder onder
Trichomonas vaginalis.
R/ metronidazol
2 g eenmalig (4 tabletten van 500 mg tegelijk innemen). Bij misselijkheid is
een alternatief schema lager doseren en langer doorgaan:
R/ metronidazol
2 dd 250 mg gedurende 10 dagen (evt. eerste dag 2 dd 500 mg). Metronidazol innemen
met melk, geen alcohol gebruiken.
Bij onvoldoende effect:
R/ metronidazol
4 dd 500 mg gedurende 3 weken oraal, plus 3 dd Flagyl (metronidazol) ovula à
500 mg.
Chlamydia-infectie: positieve test
bij PCR-diagnostiek. Zie verder onder
chlamydia.
R/ Zithromax (azitromycine) 1 gram eenmalig (2 tab à 500 mg).
R/ doxycycline
2 dd 100 mg gedurende 7 dagen (1e keus bij Chlamydia proctitis).
Gonorroe: positieve test bij PCR-diagnostiek. Zie
verder onder
gonorroe.
R/ ceftriaxon 500
mg i.m. éénmalig; 1000 mg poeder voor i.m. injectie + solvens (lidocaine 10
mg/ml). Daarna pat 20-30 min laten wachten i.v.m. risico op allergische reactie
(gering!).
R/ Zinnat (cefuroxim axetil) 2x1000 mg p.o. (niet bij pharyngeale
GO), 2e gift 6 uur na 1e gift.
Onverklaarde fluorklachten:
waarschijnlijk bij negatieve bevindingen bij lichamelijk en microscopisch onderzoek
(en geen risico op soa); zeker bij negatieve uitslagen van PCR-diagnostiek en
kweek.
Herpes genitalis: bij blaasjes, pijn,
positieve Tzanck test of kweek / directe detectie. Zie verder onder
herpes genitalis.
R/ Zelitrex
(valaciclovir) 2 dd 500 mg gedurende 5 dagen.
Referenties
| 1. |
NHG Standaard fluor vaginalis |
Author(s):dr. Jan R. Mekkes. Dermatologist, Amsterdam UMC.