Trichomoniasis is een
seksueel overdraagbare aandoening
veroorzaakt door
Trichomonas vaginalis. Dit is een
eencellig organisme behorende tot de protozoa. Het is ongeveer 20 μm groot en
kan zich voortbewegen d.m.v. van undulerende gedeelten van de celwand en 5 flagella
(zweepstaarten). De parasiet veroorzaakt een vaginitis of cervicitis met een
riekende
vaginale afscheiding, soms
schuimig of groenig en/of een urethritis. Het is wereldwijd de meest voorkomende
SOA, in Nederland staat het op plaats 7 tot 10 in de SOA top tien. Het is eenvoudig
te behandelen met antibiotica (2 g metronidazol eenmalig).
![Trichomonas vaginalis, trichomoniasis (click on photo to enlarge) [source: isis325 - Wikimedia - Creative Commons License 2.0] Trichomonas vaginalis, trichomoniasis](../../../images/soa/trichomonas-vaginalis-1z.jpg) |
![Trichomonas vaginalis, trichomoniasis (click on photo to enlarge) [source: fickleandfreckled - Wikimedia - Creative Commons License 2.0] Trichomonas vaginalis, trichomoniasis](../../../images/soa/trichomonas-vaginalis-2z.jpg) |
| Trichomonas
vaginalis |
Trichomonas
vaginalis |
Foto's:
isis325 en fickleandfreckled - Wikimedia (Creative Commons License
2.0).

Video bewegende
Trichomonas vaginalis in fluor
Achtergrond
informatie over Trichomonas:De parasiet infecteert het vaginale
en/of vulvaire epitheel en minder frequent de cervix en urethra bij de vrouw
en de urethra bij de man. Soms ook de klieren van
Bartholin en
Skene, de blaas en
de eileiders (zelden), en bij de man de prostaat en de epididymis. Na besmetting
bindt de parasiet zich aan het slijmvlies van urethra of vagina en leeft van
haemolyse en fagocytose van bacteriën. Na binding aan het vagina-epitheel kan
een ontstekingsreactie ontstaan met veel granulocyten. Dit veroorzaakt het typische
groengele aspect van de afscheiding. Vermenigvuldiging vindt plaats door deling
van de parasiet.
Besmetting:Een vaginale infectie
met
Trichomonas wordt meestal opgelopen via een onbeschermd seksueel
contact. Daarom wordt
Trichomonas tot de seksueel overdraagbare aandoeningen
(SOA) gerekend. Zowel vrouwen als mannen kunnen
Trichomonas bij zich
dragen zonder klachten en zonder het te weten en zo anderen besmetten via contact
met slijmvlies, afscheiding, voorvocht, of sperma. In theorie kan de
Trichomonas
parasiet ook via niet-seksueel contact worden overgebracht, want het organisme
is in staat het een tijdje te overleven in urine, vochtige handdoeken en in
water, zelfs in zwembaden en op WC-brillen. In de praktijk wordt
Trichomonas
toch het meest via seksueel contact overgebracht. De kans dat een vrouw het
oploopt van een besmette man is hoog (circa 80% na een eenmalig contact). De
incubatietijd is 3-28 dagen. Vrouwen blijven na een infectie maanden tot jaren
besmettelijk, mannen circa 5 weken.
Klachten van Trichomonas
bij de vrouw:Vrouwen kunnen door trichomoniasis last krijgen van
een ontstoken vagina en een onaangename, vies ruikende afscheiding, die groenig
van kleur kan zijn en soms schuimt. De schaamlippen en de binnenkant van de
vagina kunnen rood en geïrriteerd zijn. Plassen kan pijnlijk zijn. Infectie
met
Trichomonas vaginalis vergemakkelijkt de overdracht van HIV. Er
zijn aanwijzingen dat infectie tijdens de zwangerschap incidenteel kan leiden
tot prematuur breken van de vliezen, prematuriteit en dysmaturiteit.
Klachten van Trichomonas bij de man:Bij mannen kan de infectie
in enkele gevallen leiden tot urethritis met een geïrriteerdheid van de introïtus
van de urethra of mucopurulente afscheiding uit de urethra. Prostatitis, balanoposthitis,
epididymitis en infertiliteit zijn beschreven als zeldzame complicaties van
de infectie.
Lichamelijk onderzoek:- onwelriekende
en veranderde afscheiding
- vaginale irritatie
- geelgroene, licht schuimende
fluor
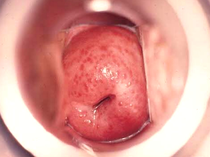
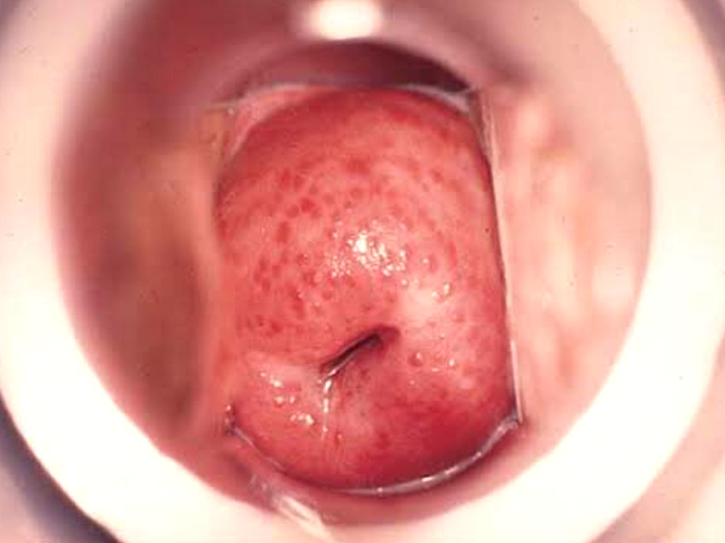
- colpitis macularis (hemorragieën en ulcera op de cervix, aardbeien
aspect of frambozen aspect)
![Trichomonas vaginalis, trichomoniasis (click on photo to enlarge) [source: Texas Tech University Health Sciences Center (TTUHSC) - www.ttuhsc.edu] Trichomonas vaginalis, trichomoniasis](../../../images/soa/trichomonas-vaginalis-3z.jpg) |
![Colpitis macularis, aardbeien cervicitis bij Trichomoniasis (click on photo to enlarge) [source: CDC Atlanta - Public Domain Image] Colpitis macularis, aardbeien cervicitis bij Trichomoniasis](../../../images/soa/colpitis-macularis-trichomonas-1z.jpg) |
| schuimige fluor |
colpitis
macularis |
Foto's: Texas Tech University Health Sciences Center en CDC Atlanta (Public Domain Image).
Diagnostiek:- microscopisch onderzoek van het directe
fysiologisch zoutpreparaat (lage sensitiviteit), of:
- kweek, of:
- PCR
(NAAT) van cervix of urethra-uitstrijk op
Trichomonas vaginalis, of
een sneltest (antigeentest).
- bepalen van de pH: kenmerkend is een pH van
meer dan 4.5.
- KOH-test (aminetest): na toevoeging van een druppel KOH 10%
aan fluor ontstaat een vieze visgeur.
DD: Zie onder
fluor vaginalis. De belangrijkste
andere oorzaken voor fluor zijn
bacteriële
vaginosis, veroorzaakt door overgroei van
Gardnerella vaginalis,
en
Candida vulvovaginitis.
Bij Candida is de pH verlaagd (< 4.5), bij Trichomonas maar ook bij bacteriële
vaginose is de pH verhoogd (> 4.5). Ook bij bacteriële vaginose is de amine
test positief.
Therapie:Iedereen waarbij in een
direct preparaat of anderszins
Trichomonas vaginalis wordt aangetroffen
moet worden behandeld met een éénmalige dosis van 2 g metronidazol. Metronidazol
niet met alcohol combineren. Resistentie is zeldzaam. Ook de partner(s) van
de voorgaande 4 weken waarschuwen en direct meebehandelen onfhankelijk van klachten,
zomogelijk na diagnostiek. Tijdens de behandeling geen onbeschermde sex tot
1 week na het afronden van de behandeling, om herbesmetting te voorkomen.
R/ metronidazol 2 g eenmalig (4 tabletten van 500 mg tegelijk innemen).
Bij
misselijkheid is een alternatief schema lager doseren en langer doorgaan:
R/ metronidazol 2 dd 250 mg gedurende 10 dagen (evt. eerste dag 2 dd 500 mg).
Metronidazol innemen met melk, geen alcohol gebruiken. Bij onvoldoende effect:
R/ metronidazol 4 dd 500 mg gedurende 3 weken oraal, plus 3 dd Flagyl (metronidazol)
ovula à 500 mg.
Een alternatieve behandeling voor hardnekkige gevallen is
Lactacid 4 weken of gedurende een week 2 dd 20 ml betadine jodium oplossing
10% in water inbrengen en 10 minuten laten inwerken.
Bij zwangerschap:
In eerste trimester liever nog geen metronidazol geven. Na 3 maanden kan 2 g
metronidazol oraal gegeven worden. In de eerste 3 maanden nog niet behandelen,
of lokaal behandelen met:
R/ Canesten Gyno 1 (clotrimazol) crème voor vaginaal
gebruik (100 mg/g; 5 g + applicator), 1 dd 100 mg intravaginaal ged. 6 dagen
('s avonds inbrengen).
R/ Flagyl (metronidazol) ovula à 500 mg, elke avond,
10 dagen lang (alleen op indicatie, ook kans op passeren placenta).
Bij borstvoeding: na innemen van metronidazol geen borstvoeding
geven gedurende 24 uur.
Bij menginfectie Trichomonas + Gardnerella:
R/ metronidazol 2 dd 500 mg gedurende 7 dagen.
Author(s):
dr. Jan R. Mekkes. Dermatologist, Amsterdam UMC.