Actinomycosis cutaneum is geen mycose maar een bacteriële
aandoening veroorzaakt door een grampositieve bacterie (
Actinomyces Israelii)
welke via een trauma in de huid terecht komt. De cutane vorm, met abcessen en
een granulomateuze ontstekingreactie, ontstaat vaak na een trauma, vooral als
er vervolgens contact is met speeksel (o.a. bij bijtwonden, gevechten). Het
kan ook aan de voet zitten;
Actinomyces is een van de veroorzakers
van de
Madura voet of mycetoma, die ook
door schimmels kan worden veroorzaakt (en dan vaak een diepe mycose wordt genoemd).
DD: Diepe mycose,
Madura
voet door andere verwekkers, Mycobacterium tuberculosis infectie (cervicofaciale
vorm), Nocardiosis.
Er zijn vele soorten
Actinomyces waarvan
er circa 15 kunnen worden aangetroffen op menselijke mucosa. Enkele soorten
(vooral
A. israelii en
A. gerencseriae, maar ook
A. naeslundii,
A. viscosus,
A. odontolyticus, en
A. meyeri) kunnen
zich gedragen als pathogeen en actinomycosis veroorzaken.
Actinomyces europaeus kan
wondinfecties veroorzaken en is beschreven als oorzaak van
necrotiserende fasciitis.
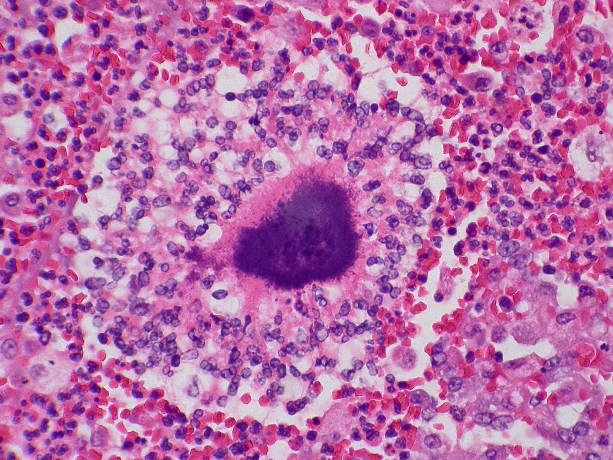
Actinomycose
is een subacute of chronische infectie waarbij abcessen, fibrosering en fisteling
ontstaat. Typisch zijn fistelopeningen waaruit gekleurde korrels (
sulfur
granula, klompjes van ineengestrengelde
A. israelii)
komen. De ontsteking komt het meest voor in het hoofdhals gebied, thorax, abdomen,
kleine bekken (vaak als complicatie van een geïnfecteerd I.U.D.), maar kan in
zeldzame gevallen ook in het centraal zenuwstelsel, de huid of botten voorkomen.
Bij alle vormen ontstaan nodi c.q. abcessen welke naar buiten toe draineren.
Een drainerende sinus is soms op een X-foto zichtbaar.
Cervicofaciale
actinomycose:De cervicofaciale actinomycosis komt het meest
voor (50-60%). Risicofactoren zijn cariës, slechte orale hygiëne, tandwortel
abcessen, tandheelkundige ingrepen, traumata, graten die blijven steken. Enkele
weken later ontstaat een pijnlijke geïndureerde langzaam groter wordende zwelling,
vaak rond de kaak. Er kunnen abcessen ontstaan en drainerende fistels naar de
huid, met sulfur granula in de pus. Het geheel kan zeer groot worden en ingroeien
in tong, sinussen, mandibula (osteomyelitis) en meningen.
Thoracale actinomycose: Actinomycosis van de longen en
pleura (20%), meestal door aspiratie, soms hematogeen. Verschijnselen: pneumonitis,
pleuritis, empyeem, drainerende fistels in de thoraxwand. Algehele malaise met
koorts, nachtzweten, gewichtsverlies en moeheid. Hoesten, bloed opgeven. Soms
uitbreiding naar mediastinum, pericard, wervels en hematogeen naar de hersenen.
Gastrointestinale actinomycose:Actinomycose
van de darmen (15%) kan het hele traject betreffen, maar is vaak iliocecaal.
Klachten zijn buikpijn, overgeven, diarree, koorts, appendicitis, palpabele
massa, fistels, sulfur granula.
Pelvic actinomycosis:
Actinomycose in het kleine bekken komt steeds vaker voor, als complicatie van
het plaatsen van spiraaltjes (I.U.D.), maar ook door pessaria, corpus alienum,
uterus prolaps, septische abortus. Klachten zijn vaginale afscheiding van pus
en bloed, buikpijn, koorts, menorragie, amenorroe, malaise, gewichtsverlies,
uitbreiding infectie in het kleine bekken, naar ovaria, blaas, lever, darmen,
verklevingen.
Actinomycosis CZS:Actinomycose
van brein en ruggenmerg is zeldzaam maar kan via hematogene verspreiding optreden
met als symptomen hersenabces, hoofdpijn, verlammingen, insulten, ataxie, verhoogde
intracraniële druk.
Actinomycosis huid en botten:
Dit is zeldzaam. Osteomyelitis kan ontstaan in de kaak en via hematogene verspreiding
in de wervels, ribben of andere botten. Cutane actinomycose is nog zeldzamer
en wordt waarschijnlijk veroorzaakt door contaminatie van wonden met speeksel.
Diagnostiek:Biopt, kweekbiopt, kweken en Grampreparaten.
Soms kunnen de granula worden gezien (tot 1 mm groot, geel, rood of bruin).
Afbeeldend onderzoek (X-thorax, CT-scans, MRI). Bronchoscopie en bronchoalveolaire
lavage (BAL). De bacterie is moeilijk te kweken in gewone media. De bacterioloog
moet weten dat de verdenking bestaat, zodat kweken onder anaërobe condities
kunnen worden ingezet, soms met toevoeging van metronidazol om overgroei van
andere snelgroeiende anaëroben te remmen. In sommige laboratoria is immunofluorescentie
detectie beschikbaar.
Therapie:De meeste
actinomycetes zijn gevoelig voor penicilline en erytromycine. In vitro bestaat
ook gevoeligheid voor o.a. cefalosporinen, minocycline, tetracycline, doxycycline,
chloramphenicol, en clindamycine. Toch is het moeilijk om de infectie te behandelen.
Vaak is langdurige behandeling nodig, maar ook het zo veel mogelijk chirurgisch
uitruimen van de ontstekingshaarden indien dat technisch mogelijk is.

Chirurgische
incisie en drainage gevolgd door langdurige antibiotica.
R/ penicilline G
(benzylpenicilline) 10-20 milj. IE i.v. (150.000-200.000 IE/kg/dag) gedurende
4-6 weken. Daarna fenoxymethylpenicilline 4 dd 1000 mg (4 dd 500-1500 mg) oraal
totdat de laesies geheel verdwenen zijn of minstens 6 weken stabiel.
R/ amoxicilline
4 dd 1000-2000 mg waarvan de eerste 3-4 weken i.v.
Cervicofaciale actinomycose:
R/ amoxicilline / clavulaanzuur i.v. 3 dd 2000/200 mg gedurende 1 week,
daarna 3 dd 1000/100 mg gedurende 1 week.
Thoracale actinomycose:
R/ amoxicilline / clavulaanzuur i.v. 3 dd 2000/200 mg gedurende 3-4 weken bij
. Eventueel + 3 dd 2 g ampicilline.
Abdominale en pelvic actinomycosis:
R/ amoxicilline / clavulaanzuur i.v. 3 dd 2000/200 mg + tobramycine of gentamicine
gedurende 3-4 weken.
Pericarditis:
R/ penicilline G (benzylpenicilline)
20 milj. IE i.v. gedurende 4 weken, gevolgd door oraal fenoxymethylpenicilline
4 dd 1000-1500 mg gedurende 6-12 maanden.
Bij penicilline allergie: erytromycine,
doxycycline, minocycline, tetracycline, clindamycine, ciprofloxacine, chloramphenicol,
imipenem.
R/ doxycycline 2 dd 100 mg gedurende 2-3 maanden.
R/ Imipenem
3 dd 500 mg i.v. gedurende 2 weken gevolgd door 3 dd 500 mg i.m. gedurende 2
weken, of in totaal 4 weken i.v.
Referenties
| 1. |
Schaal KP, Lee HJ. Actinomycete infections
in humans - a review. Gene 1992;115:201-211. |
| 2. |
Cheon JE, Im JG, Kim MY, Lee JS, Choi GM,
Yeon KM. Thoracic actinomycosis: CT findings. Radiology 1998;229-233. |
| 3. |
Coodley EL, Yoshinaka R. Pleural effusion
as the major manifestation of actinomycosis. Chest 1994;106:1615-1617. |
| 4. |
Cintron JR, Del Pino A, Duarte B, Wood D.
Abdominal actinomycosis. Dis Colon Rectum 1996;39:105-108. |
| 5. |
Fiorino AS. Intrauterine contraceptive device-associated
actinomycotic abscess and actinomycetes detection on cervical smear.
Obstet Gynecol 1996;87:142-149. |
| 6. |
Garland SM, Rawling D. Pelvic actinomycosis
in association with an intrauterine device. Aust NZ J Obstet Gynecol
1993;33:96-98. |
| 7 |
Badgett JT, Adams G. Mandibular actinomycosis
treated with oral clindamycin. Pediatr Infect Dis J 1987;6:221-223. |
| 8. |
Cayley J, Fotherby K, Guillebaud
J, Killick S, Kubba A, MacGregor A, Mansour D, Mills A, Newton J,
Wilkiinson C. Recommendations for clinical practice: Actinobacillus
like organisms and intrauterine contraceptives. The clinical and
scientific committee. Br J Fam Plann 1998;23:137-138. |
| 9. |
Macfarlane DJ, Tucker LG, Kemp RJ. Treatment
of recalcitrant actinomycosis with ciprofloxacin. J Infect 1993;27:177-180. |
| 10. |
Edelmann M, Cullman W, Nowak KH, Kozuschek
W. Treatment of abdominothoracic actinomycosis with imipenem. Eur
J Clin Microbiol 1987;6:194-195. |
Author(s):dr. Jan R. Mekkes. Dermatologist, Amsterdam UMC.