FIBROMATOSIS EN DESMOID TUMOREN home ICD10: M72

Fibromatosis is de overkoepelende term voor benigne ongekapselde tumoren bestaande uit fibroblasten, in huid, subcutaan vetweefsel, retroperitoneum of elders. Fibromatosis kan ook uitgaan van fascie en dwarsgestreept spierweefsel (desmoïd type). Fibromatosis kan worden ingedeeld in oppervlakkige fibromatosis en diepe fibromatosis (desmoid type). Onder oppervlakkige fibromatosis kunnen dan worden ingedeeld benigne aandoeningen zoals dermatofibroom, contractuur van Dupuytren, fibrous papule of the face, etc. (zie tabel). Onder diepe fibromatosis worden meer agressieve woekeringen van bindweefsel verstaan, die desmoid tumoren worden genoemd (niet te verwarren met een dermoid cyste). Desmoid tumoren zitten vaak in de buikwand of buikholte (intra-abdominale fibromatosis, pelvic fibromatosis), maar kunnen ook extra-abdominaal voorkomen, bijvoorbeeld bij volwassenen in de nek (desmoid tumor of the neck). De oorzaak van fibromatosis is niet bekend.

Plantaire fibromatosis Plantaire fibromatosis Plantaire fibromatosis
plantaire fibromatosis fibromatosis fibromatosis

Foto's: Herecomesdoc en Jerad M Gardner - Wikimedia (Creative Commons License 3.0).
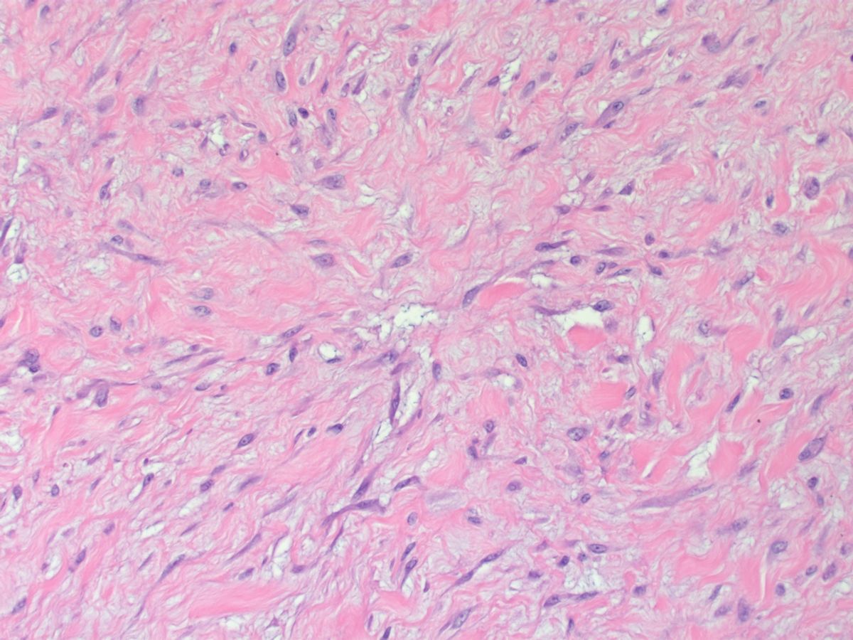
PA-Foto: Sarahkayb - Wikimedia (Creative Commons License 4.0).


Fibromatosis kan ook op jonge leeftijd optreden, dit wordt juveniele fibromatosis genoemd. Juveniele fibromatosis omvat verschillende beelden zoals infantile digital fibromatosis (aquired acral fibrokeratoom, periunguaal fibroom, Koenense tumoren), fibromatosis colli, dermatofibrosis lenticularis (Buschke-Ollendorf syndroom, eigenlijk zijn dit bindweefsel naevi), congenital generalised fibromatosis (infantile myofibromatosis), aggressive infantile fibromatosis, en aponeurotic fibroma.


Oppervlakkige fibromatosis:
- dermatofibroom
- knuckle pads
- infantile digital fibroma
- fibrokeratoma
- periunguaal fibroma, Koenense tumoren
- fibrous papule of the face / of the nose
- contractuur van Dupuytren
- ziekte van Peyronie (penile fibromatosis)
- plantaire fibromatosis (m. Ledderhose)
- elastofibroma
- nodular fasciitis
- pachydermodactylie
Diepe fibromatosis (desmoid tumoren):
- abdominale fibromatosis
- intra-abdominale fibromatosis
- pelvic fibromatosis
- extra-abdominale fibromatosis (desmoid tumoren)
- desmoid tumor of the neck


Therapie:
De behandeling hangt sterk af van het type fibromatosis. In de meeste gevallen is chirurgische excisie een optie. Hierbij is het streven om de laesie in zijn geheel te verwijderen, omdat het anders kan recidiveren. Er is geen sprake van maligne degeneratie of metastaseren. De diepe desmoid tumoren kunnen zich wel lokaal aggessief gedragen en moeilijk te verwijderen zijn, vooral in het gelaat of in de nek en hals. De contractuur van Dupuytren wordt behandeld door de plastisch chirurg, de ziekte van Peyronie door de uroloog.


Diepe fibromatosis (desmoid tumoren)
Diepe desmoid tumoren groeien sneller en gedragen zich agressief, ze kunnen ingroeien in of drukken op vitale structuren, pijnklachten veroorzaken, en door de lokatie moeilijk te verwijderen zijn. Histologisch gaat het om infiltratief groeiende clonale proliferatie van fibroblasten. Ze metastaseren niet. Het is zeldzaam (2-4 per millioen) vergeleken met superficial fibromatosis. Het kan geassocieerd zijn met syndromen zoals het Gardner syndroom,(familial colorectal polyposis), FAP syndroom (familial adenomatous polyposis), en familial desmoid syndrome. De tumoren ontstaan meestal tussen 15 en 40 jaar. Hoofd en nek zijn voorkeurslokalisaties, ook de schouders, borst, rug, dijen, en buik en intra-abdominaal. Tijdens zwangerschap kan fibromatose in de buikwand ontstaan.

PA:
Uitgebreide proliferatie van monomorfe spoelvormige fibroblasten en myofibroblasten, slecht afgrensbaar, met invasie van omliggend weefsel.
In een mucopolysacchariden matrix met dunwandige soms verwijde vaten. Collageen deposities, soms lijkend op keloid. Weinig mitose figuren, geen atypische cellen.

Therapie:
Excisie met wijde marge (radicale excisie), met nakijken van de marges door de patholoog. Bij irradicale excisie kan het teruggroeien. Andere genoemde opties zijn radiotherapie, chemotherapie, COX2-inhibitors, NSAID's, imatinib, en tamoxifen.


Referenties
1. Wang CP, Chang YL, Ko JY, Cheng CH, Yeh CF, Lou PJ. Desmoid tumor of the head and neck. Head Neck 2006;28:1008-1013.
2. Huang PW, Tzen CY. Prognostic factors in desmoid-type fibromatosis: a clinicopathological and immunohistochemical analysis of 46 cases. Pathology 2010;42:147-150.
3. de Bree E, Zoras O, Hunt JL, Takes RP, Suárez C, Mendenhall WM, et al. Desmoid tumors of the head and neck: a therapeutic challenge. Head Neck 2014;36:1517-1526
4. Hosalkar HS, Fox EJ, Delaney T, Torbert JT, Ogilvie CM, Lackman RD. Desmoid tumors and current status of management. Orthop Clin North Am 2006;37:53-63.
5. Sobani ZA, Junaid M, Khan MJ. Successful management of aggressive fibromatosis of the neck using wide surgical excision: a case report. J Med Case Rep 2011;5:244.
6. Constantinidou A, Jones RL, Scurr M, Al-Muderis O, Judson I. Advanced aggressive fibromatosis: Effective palliation with chemotherapy. Acta Oncol 2011;50:455-461
7. Nuyttens JJ, Rust PF, Thomas CR, Turrisi AT. Surgery versus radiation therapy for patients with aggressive fibromatosis or desmoid tumors: A comparative review of 22 articles. Cancer 2000;88:1517-1523.
8. Sze H, Yeung MW. Fibromatosis of the neck causing airway obstruction managed effectively with weekly low-dose methotrexate and vinblastine. Hong Kong Med J 2009;15:221-223.


Author(s):
dr. Jan R. Mekkes. Dermatologist, Amsterdam UMC.

31-05-2023 (JRM) - www.skin-diseases.eu Terug naar homepagina



Diagnosis codes:
ICD10 M72 Fibromatosis
ICD10 M72 Fibroblastic disorders
SNOMED 723976005 Fibromatosis
DBC 27 Diagnose niet nader omschreven