Blastomycosis Americana (North American blastomycosis,
Gilchrist's disease) is een
diepe mycose
van de huid (en andere organen, vooral de longen) veroorzaakt door
Blastomyces
dermatitidis. Deze schimmelsoort is Endemisch in Noord Amerika, ten Noorden
van de grote meren, en in de Appalachen, maar ook langs de Mississippi en in
delen van Africa (
Blastomyces percursus,
Blastomyces emzantsi) en India. De schimmel leeft in de grond en in rottend hout
bij meren en rivieren. Door activiteiten in de natuur (werk en recreatie) worden
mensen blootgesteld en ademen sporen in of worden via krassen en wondjes door
takken of contact met aarde besmet. De incubatietijd is lang, 30-100 dagen.
De sporen zijn moeilijk op te ruimen door het afweersysteem.
Blastomycosis
kan verschillende beelden veroorzaken. Een mild griepachtig beeld met koorts,
rillingen, artralgie, myalgie, hoofdpijn en niet productieve hoest, dat na enkele
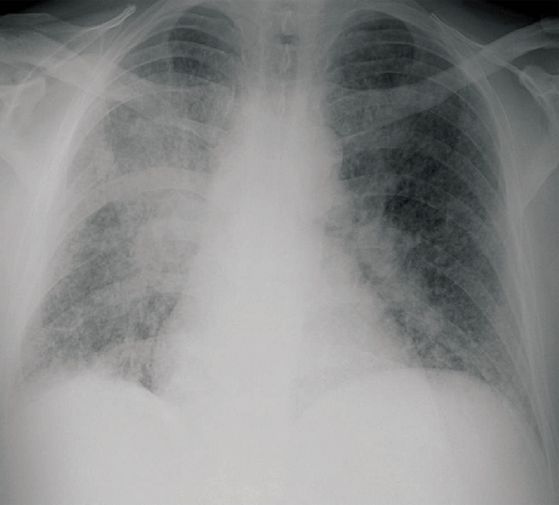
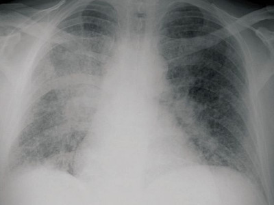
dagen overgaat. Maar ook een acute pneumonie, met hoge koorts en koude rillingen,
productieve hoest en pleuritis. Ook een chronische op tuberculose lijkende longziekte
kan ontstaan, met nachtelijk zweten en gewichtsverlies. En een ernstig progressief
acute respiratory distress syndroom (ARDS) variant met koorts, benauwdheid,
hypoxie, tachypnoe, hoesten, en diffuse longinfiltraten. Dit kan dodelijk aflopen.
Patiënten met HIV of andere afweerstoornissen hebben vaak ook infecties in het
centraal zenuwstelsel (hersenabces, epiduraal abces, meningitis). Bij gestoorde
afweer is de mortaliteit hoog.
De huidafwijkingen bestaan uit verruceuze
laesies, plaques, crusteuze plaques, soms pustels of ulceraties. Het kan lijken
op
histoplasmosis. Ook osteomyelitis kan
ontstaan, en urogenitale infecties (prostaat, epididymis, nieren).
![Blastomycosis Americana (click on photo to enlarge) [source: CDC - Public Domain Image] Blastomycosis Americana](../../../images/north-american-blastomycosis-1z.jpg) |
![Blastomycosis Americana (click on photo to enlarge) [source: Pralay K. Sarkar - Wikimedia - Creative Commons License 3.0] Blastomycosis Americana](../../../images/north-american-blastomycosis-2z.jpg) |
|
Blastomycosis Americana |
Blastomycosis Americana |
Foto: CDC Atlanta (Public Domain Image).
X-thorax: Pralay K.
Sarkar (Wikimedia, Creative Commons License
3.0)
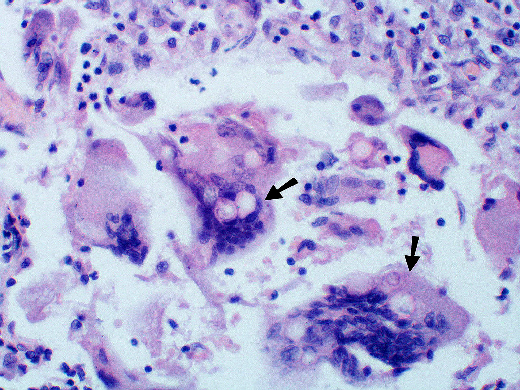
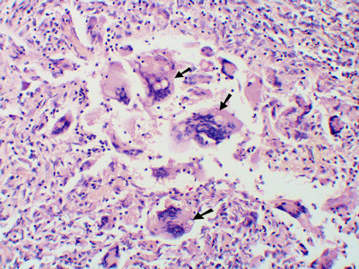
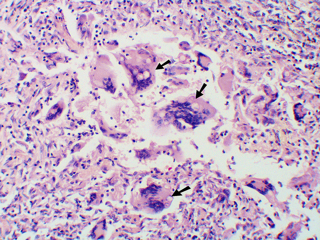
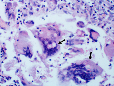
Diagnostiek:Aantonen van de schimmel in sputum (KOH, direct
preparaat) of een huidbiopt. Sputumkweek, kweekbiopt. Moeilijk te kweken, groeit
langzaam.
Zie ook de ingescande PA-coupes (
coupe
1,
coupe
2) van de
afdeling pathologie
van de University of Toronto.
![Blastomycosis Americana (click on photo to enlarge) [source: Yale Rosen - Wikimedia - Creative Commons License 2.0] Blastomycosis Americana](../../../images/north-american-blastomycosis-3z.jpg) |
![Blastomycosis Americana (click on photo to enlarge) [source: Yale Rosen - Wikimedia - Creative Commons License 2.0] Blastomycosis Americana](../../../images/north-american-blastomycosis-4z.jpg) |
![Blastomycosis Americana (click on photo to enlarge) [source: Joel Mills - Wikimedia - Creative Commons License 3.0] Blastomycosis Americana](../../../images/north-american-blastomycosis-5z.jpg) |
|
Blastomycosis Americana |
Blastomycosis Americana |
Blastomycosis Americana |
PA-foto's links: Yale Rosen (Wikimedia - Creative Commons License
2.0)
PA-foto
rechts: Joel Mills (Wikimedia - Creative Commons License
3.0)
Therapie:Milde
tot matig ernstige infectie:R/ itraconazol 3 dd 200 mg gedurende 3
dagen, gevolgd door 1 dd 200 mg gedurende 6-12 maanden.
R/ itraconazol 2
dd 200-400 mg gedurende 6 maanden (hogere dosis).
Matige tot ernstige infectie:R/ amfotericine B (liposomaal amfotericine
B) 3-5 mg/kg i.v. gedurende 1-2 weken, gevolgd door itraconazol zoals boven.
Infectie met centraal zenuwstelsel betrokkenheid:R/ amfotericine B
(liposomaal amfotericine B) 5 mg/kg i.v. gedurende 4-6 weken, gevolgd door
voriconazol 2 dd 200-400 mg, of fluconazol 1 dd 800 mg, of itraconazol 2-3
dd 200 mg, gedurende 1 jaar.
Alternatieven:R/ posaconazol 2
dd 300 mg i.v. op dag 1, daarna 1 dd 300 mg i.v. Bij verbetering over op
oraal 2 dd 300 mg op dag 1, daarna 1 dd 300 mg.
Referenties
| 1. |
Chapman SW, Dismukes WE, Proia LA,
Bradsher RW, Pappas PG, Threlkeld MG, Kauffman CA; Infectious
Diseases Society of America. Clinical practice guidelines for
the management of blastomycosis: 2008 update by the Infectious
Diseases Society of America. Clin Infect Dis
2008;46(12):1801-1812. |
| 2. |
Pappas PG, Bradsher RW, Kauffman CA, Cloud GA, Thomas CJ, Campbell GD Jr, Chapman SW, Newman C, Dismukes WE. Treatment of blastomycosis with higher doses of fluconazole. The National Institute of Allergy and Infectious Diseases Mycoses Study Group. Clin Infect Dis 1997;25(2):200-205. |
| 3. |
Clark NM, Grim SA, Lynch JP 3rd. Posaconazole: Use in the Prophylaxis and Treatment of Fungal Infections. Semin Respir Crit Care Med 2015;36(5):767-785. |
Paracoccidioidomycosis is een
diepe mycose veroorzaakt
door de schimmel
Paracoccidioides brasiliensis. Als synoniem wordt
soms de naam Zuid-Amerikaanse blastomycose gebruikt (blastomycosis braziliensis),
maar paracoccidioidomycosis wordt veroorzaakt door een andere schimmel dan de
schimmel die blastomycose (blastomycosis americana north) veroorzaakt.
P.
brasiliensis is een dimorphe fungus die vooral voorkomt in Brazilië en
overig Zuid-Amerika, waarschijnlijk in oppervlaktewater.
![Paracoccidioides brasiliensis (click on photo to enlarge) [source: CDC - Public Domain Image] Paracoccidioides brasiliensis](../../../images/figures/paracoccidiomycosis-1z.jpg) |
Paracoccidioides
brasiliensis |
Foto: CDC Atlanta (Public Domain Image).
Paracoccidioidomycosis is een systemische mycose. Het kan gezonde personen
treffen; bij immuungecompromitteerden verloopt de infectie ernstiger. Meestal
zijn de mucosa aangedaan, de schimmel kan zich verspreiden naar lymfklieren,
botten en longen. Bij de meesten verloopt een primaire infectie asymptomatisch
en is self-limiting. Soms ontwikkelt zich, vooral bij jongeren, een progressieve
vorm met hoge koorts en longinfectie, moeilijk te behandelen. De meest voorkomende
adulte vorm is vaak een reactivatie van een eerder opgelopen infectie. Er ontstaan
pijnlijke, paarse lesies op de lippen en orale mucosa, en een cervicale lymphadenitis.
De diagnose kan gesteld worden op het aantreffen van gisten in het biopt. De
longen kunnen meedoen (lobaire pneumonie en/of pleuritis, koorts, aanhoudende
hoest, gewichtsverlies. In zeldzame gevallen zijn ook andere organen aangedaan
(botten, meningen, milt, vaten).
Therapie:R/
itraconazol 1 dd 100-400 mg gedurende 6 maanden. Kinderen 5-10 mg/kg (max
200 mg) per dag.
R/ voriconazol 2 dd 400 mg op dag 1, daarna 2 dd 200 mg
gedurende 6-12 maanden.
R/ amfotericine B (liposomaal amfotericine B) 3-5
mg/kg i.v. gedurende 1-2 weken, gevolgd door itraconazol of voriconazol
oraal gedurende 6-12 maanden.
R/ co-trimoxazol
(trimethoprim-sulfamethoxazol 160/800 mg), 2 dd 960 mg. Langdurige behandeling (3 jaar).
R/ sulfadiazine 4 g/dag tot klinische
verbetering, daarna 2 g/dag gedurende 3-5 jaar.
R/ ketoconazol 1-2 dd 200
mg gedurende 6-18 maanden. Kinderen 5 mg/kg/dag. Ketoconazol tabletten zijn
niet meer geregistreerd in Nederland en hebben veel bijwerkingen.
Referenties
| 1. |
Cordova LA, Torres J.
Paracoccidioidomycosis. 2022 Sep 19. In: StatPearls [Internet].
Treasure Island (FL): StatPearls Publishing; 2025. |