Een
basosquameus carcinoom is een agressieve variant
van een
basaalcelcarcinoom met in een deel van de
tumor squameuze differentiatie oftewel overgang naar een
plaveiselcelcarcinoom.
Het is een aparte entiteit met een verhoogd risico op recidieven na lokale excisie
(circa 12-45% na conventionele chirurgie en circa 4-8% na Mohs chirurgie) en
een verhoogd risico op metastasen (circa 5-7%). Het is zeldzaam (circa 1.2-2.7%
van alle non-melanoma huidkanker). Klinisch is het niet goed te onderscheiden
van een basaalcelcarcinoom, de diagnose wordt pas achteraf gesteld na histologisch
onderzoek.
Er circuleren verschillende namen die voor verwarring hebben
gezorgd in de afgelopen jaren zoals metatypisch basaalcelcarcinoom, mixed tumor,
carcinoma basosquamosum mixtum, keratotisch basaalcelcarcinoom, collision tumor.
De voorkeursterm is basosquameus carcinoom, en dat is gedefinieerd als een basaalcelcarcinoom
waarbij er een graduele overgang is (een transitiezone) tussen het basaalcelcarcinoom
(BCC) gedeelte en het squamous cell carcinoma (SCC) gedeelte. Met specifieke
markers zoals Ber-EP4 is deze graduele overgang goed zichtbaar te maken. Een
keratotisch BCC is een basaalcelcarcinoom met in het
midden van de tumorvelden gelegen ronde concentrische gebieden met keratinisatie,
maar nergens een transitiezone of gebieden met ernstige dysplastische kenmerken.
Een
collision tumor is een laesie waarbij bij toeval
een BCC en een SCC vlak naast elkaar liggen. De andere termen worden niet meer
gebruikt.
Klinisch beeld:Klinisch lijken de laesies
op een basaalcelcarcinoom, het onderscheid is niet goed te maken. Dermatoscopisch
is het onderscheid ook niet goed te maken, soms wordt er aan gedacht vanwege
aanwezigheid van keratine, ulceratie, en witte structuurloze gebieden. De voorkeurslocatie
is het hoofd (circa 80%), vooral het gebied op en rond de neus. Ook op de oorranden.
Daarna op de onderste ledematen, bovenste ledematen, de borst, elders op de
romp. Ze komen vooral voor bij een licht huidtype (huidtype 1 en 2). Ze kunnen
ook ontstaan op plekken die niet aan zonlicht zijn blootgesteld, maar dat is
wel zeldzaam. De meeste patiënten zijn boven de 55 jaar, de piek zit in de leeftijdsgroep
60-80 jaar. Het komt vaker voor bij mannen dan bij vrouwen. Veel zonexpositie
is een risicofactor, en mogelijk ook roken. De tumor kan lokaal invasief zijn
en metastaseren, naar regionale lymfklieren en naar elders in het lichaam, vooral
naar de longen. Laesies aan de onderbenen kunnen soms worden aangezien voor
een ulcus cruris. Het recidiveert vaak na excisie. Prognostische factoren voor
recidieven zijn een tumorgrootte > 2 cm, ingroei in lymfbanen, perineurale
invasie, mannelijk geslacht en niet vrije marges.
![Basosquameus carcinoom (click on photo to enlarge) [source: www.huidziekten.nl] Basosquameus carcinoom](../../../images/basosquameus-carcinoom-1z.jpg) |
![Basosquameus carcinoom (click on photo to enlarge) [source: www.huidziekten.nl] Basosquameus carcinoom](../../../images/basosquameus-carcinoom-2z.jpg) |
| basosquameus
carcinoom |
basosquameus
carcinoom |
![Basosquameus carcinoom (click on photo to enlarge) [source: www.huidziekten.nl] Basosquameus carcinoom](../../../images/basosquameus-carcinoom-3z.jpg) |
![Basosquameus carcinoom (click on photo to enlarge) [source: www.huidziekten.nl] Basosquameus carcinoom](../../../images/basosquameus-carcinoom-4z.jpg) |
| basosquameus
carcinoom |
basosquameus
carcinoom |
DD: basaalcelcarcinoom,
plaveiselcelcarcinoom, overige
maligne tumoren.
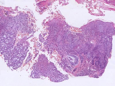
PA:Histologisch ziet men een tumor
waarvan een deel kenmerken van een basaalcelcarcinoom heeft en een deel kenmerken
van een plaveiselcelcarcinoom, en een transitiezone er tussen. Het BCC gedeelte
heeft kleine, uniforme, sterk aankleurende (hyperchromatische) cellen met perifere
palissadering, mitosen, en is omgeven door collageenrijk stroma met proliferatieve
fibroblasten. Vergeleken met een gewoon BCC zijn de cellen soms wat meer eosinofiel,
met wisselende cytoplasmatische keratinisatie, en soms is de palissadering minder
uitgesproken en ontbreken retractiespleten rond de tumorveldjes. In het SCC
gedeelte ziet men grote polygonale squameuze cellen met een eosinofiel cytoplasma
door cytoplasmatische keratinisatie, prominente, grote kernen, meerdere mitosen,
dyskeratotische cellen, en intercellulaire verbindingen. De BCC gebieden zijn
Ber-EP4, AE1, en AE3 positief, en de SCC gedeelten zijn AE1, AE3, en CAM5.2
positief, en wisselend EMA positief. In de transitiezone tussen BCC en SCC neemt
de aankleuring van Ber-EP4 geleidelijk af.
![Histologie basosquameus carcinoom (click on photo to enlarge) [source: Kevin Kwee / Afdeling Pathologie MUMC] Histologie adenoïd basosquameus carcinoom](../../../pacoupes/thumbnails/adenoid-basosquameus-carcinoom.jpg) |
|
ingescande coupe (zoom) |
Bron
hoge resolutie PA-foto's: Kevin Kwee en Afdeling Pathologie MUMC. Klik
op de afbeelding om in te zoomen.
Therapie:
Excisie heeft de voorkeur. De marge moet ruim zijn, minimaal 0.5 cm en als het
kan (afhankelijk van de locatie) 1 cm, vergelijkbaar met het plaveiselcelcarcinoom.
Vanwege de kans op recidieven en metastasering moet het basosquameus carcinoom
worden behandeld als ware het een plaveiselcelcarcinoom. Het basosquameus carcinoom
is een goede indicatie voor Mohs chirurgie, het recidief percentage na Mohs
chirurgie is lager. Radiotherapie is ook een optie. Nabestraling is ook te overwegen
na excisies, vooral als uit de PA blijkt dat de marges krap zijn of de randen
niet vrij van tumor, en bij locaties waarbij radicale excisie niet goed mogelijk.
Ook targeted therapies zoals vismodegib kunnen worden gebruikt. Bij metastasen
zijn de opties lymfklierdissectie, radiotherapie, chemotherapie (5-FU, cisplatine,
vincristine, etoposide, bleomycine, adriamycine, cyclofosfamide, methotrexaat,
doxorubicine, capecitabine), vismodegib, combinaties van behandelingen. Vismodegib
kan overigens ook plaveiselcarcinoom doen ontstaan in een basaalcelcarcinoom.
Nieuwe oncotherapeutica zijn in ontwikkeling. Er zijn geen goede richtlijnen
voor de behandeling van basosquameus carcinoom, omdat het te zeldzaam is.
Referenties
| 1. |
Garcia C, Poletti E, Crowson AN. Basosquamous
carcinoma. J Am Acad Dermatol 2009;60(1):137-43.
PDF |
| 2. |
Tan CZ, Rieger KE, Sarin KY. Basosquamous
Carcinoma: Controversy, Advances, and Future Directions. Dermatol
Surg 2017;43(1):23-31.
PDF |
| 3. |
Shukla S, Khachemoune A. Reappraising basosquamous
carcinoma: a summary of histologic features, diagnosis, and treatment.
Arch Dermatol Res 2020;312(9):605-609.
PDF |
| 4. |
Gualdi G, Soglia S, Fusano M, Monari P, Giuliani
F, Porreca A, Di Nicola M, Calzavara-Pinton P, Amerio P. Characterization
of Basosquamous Cell Carcinoma: A Distinct Type of Keratinizing
Tumour. Acta Derm Venereol 2021;101(1):adv00353.
PDF |
Author(s):dr. Jan R. Mekkes. Dermatologist, Amsterdam UMC.