Het
Buruli ulcus is een ulcererende huidinfectie veroorzaakt
door
Mycobacterium ulcerans. In Nederland wordt het af en toe gezien
als importziekte. In de Tropen is het een groter probleem, oorzaak van chronische
ulcera aan benen en armen, littekenvorming, en invaliditeit. Het komt vooral
voor in Afrika, Zuid-Amerika, Azië en West-Pacific, en treft vooral kinderen
onder de 15 jaar. De meeste Buruli ulcera worden opgelopen in West en Centraal
Afrika, vooral Benin, Kameroen, Ivoorkust, Congo en Ghana. Het is niet bekend
hoe de infectie met de
Mycobacterie
M. ulcerans wordt overgedragen.
![Distributie Buruli ulcus (click on photo to enlarge) [source: WHO] Distributie Buruli ulcus](../../../images/Buruli-ulcus-2z.jpg) |
![Buruli ulcus (click on photo to enlarge) [source: www.huidziekten.nl] Buruli ulcus](../../../images/Buruli-ulcus-3z.jpg) |
![Buruli ulcus (click on photo to enlarge) [source: www.huidziekten.nl] Buruli ulcus](../../../images/Buruli-ulcus-4z.jpg) |
| distributie
Buruli ulcus |
Buruli
ulcus (import) |
Buruli
ulcus (import) |
Klinisch beeld:Het begint met een pijnloze zwelling
(nodus of plaque). Soms met een diffuse zwelling van heel gebied (been, arm
of gelaat). De bacterie produceert een immunosuppressief toxine (mycolacton
toxine) waardoor ontstekingsverschijnselen zoals roodheid, pijn en koorts worden
gedempt. Na circa 4 weken begint de nodus of plaque te ulcereren. Er ontstaat
een langzaam groter wordend ulcus, vaak met ondermijnde wondranden. Soms diep,
botten en pezen kunnen beschadigd worden, osteomyelitis komt voor.
![Buruli ulcus (click on photo to enlarge) [source: Okechukwu Chukwuekezie, CDC - Wikimedia - Creative Commons License 1.0 - Public Domain Image] Buruli ulcus](../../../images/Buruli-ulcus-1z.jpg) |
| Buruli
ulcus (Afrika) |
Foto:
Okechukwu Chukwuekezie, CDC - Wikimedia (Creative Commons License
1.0
- Public Domain Image)
DD: furunkel,
persistant insectbite, andere
Tropische ulcera, bacterieel (
S.
aureus,
S. pyogenes,
Corynebacterium,
cutane TBC),
ulcus phagedenicum,
onchocerciasis,
Leishmaniasis,
yaws,
Haemophilus ducrey,
pyoderma gangrenosum,
lymfoom, veneus,
arterieel, diabetes, sikkelcel-ulcus,
lepra,
lymfklieren,
diepe mycose,
erysipelas.
Diagnostiek:
De diagnose Buruli ulcus kan in endemische gebieden door ervaren personen worden
gesteld op het klinisch beeld. In Nederland zal aanvullend onderzoek worden
verricht. Het meest gevoelig is detectie van M. ulcerans met een PCR (polymerase
chain reaction). Andere opties zijn aantonen in een biopt, directe microscopie
van de ulcusbodem, of kweken.
![Buruli ulcus (click on photo to enlarge) [source: www.huidziekten.nl] Buruli ulcus](../../../images/Buruli-ulcus-5z.jpg) |
![Buruli ulcus (click on photo to enlarge) [source: www.huidziekten.nl] Buruli ulcus](../../../images/Buruli-ulcus-6z.jpg) |
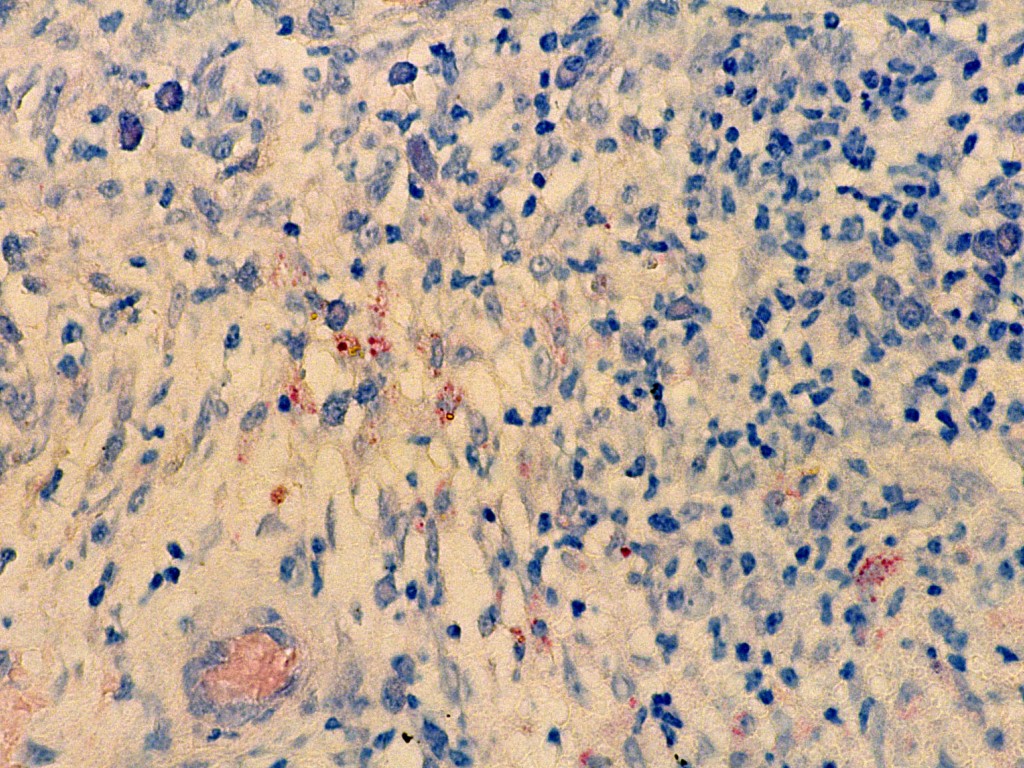
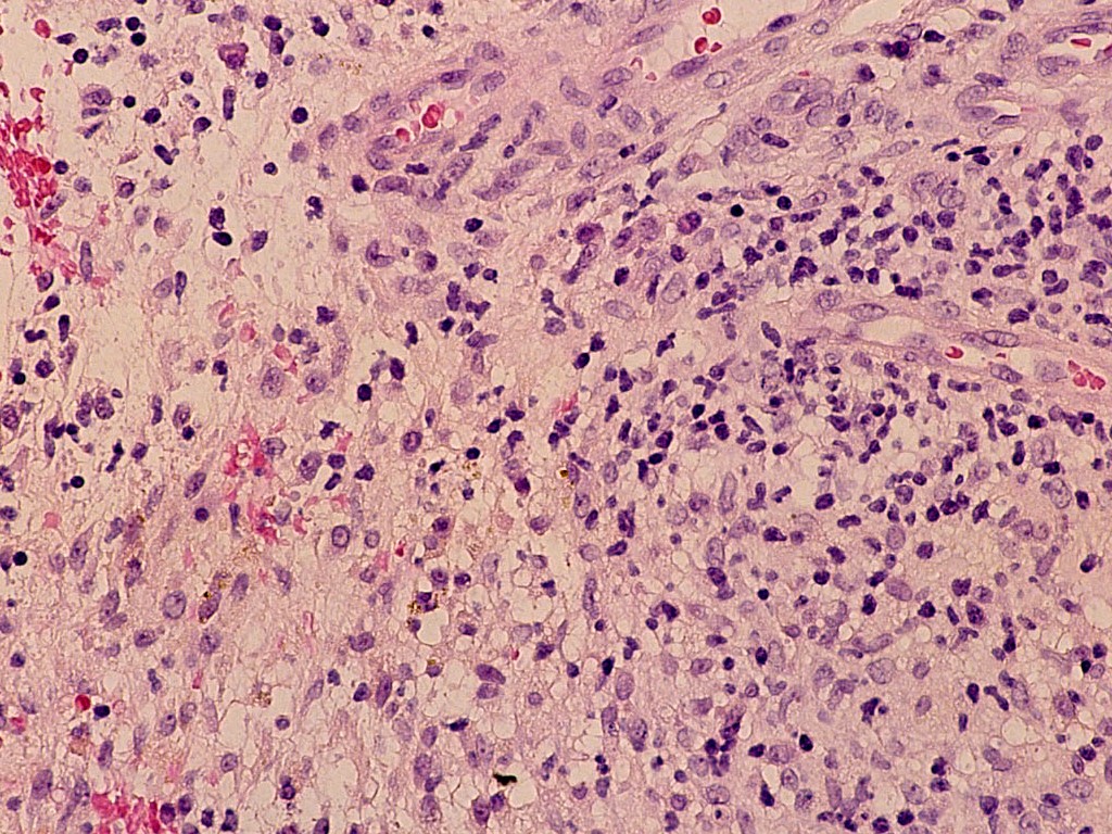
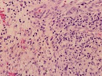
| HE kleuring |
Ziehl
Neelsen kleuring |
Therapie:R/ rifampicine 1 dd 10 mg/kg + streptomycine
1 dd 15 mg/kg gedurende 8 weken, of:
R/ rifampicine 1 dd 10 mg/kg + claritromycine
2 dd 7.5 mg/kg gedurende 8 weken.
Bij zwangeren geen streptomycine maar rifampicine
+ claritromycine of rifampicine + moxifloxacine 1 dd 400 mg.
Daarnaast wondverzorging.
Excisie van het gehele ulcus gevolgd door een huidtranspantatie wordt genoemd
als behandelmogelijkheid voor kleinere ulcera. Verder zorgen voor een goede
voedingstoestand van de patiënt, andere problemen zoals HIV uitsluiten.
Author(s):dr. Jan R. Mekkes. Dermatologist, Amsterdam UMC.