Acrokeratosis verruciformis van Hopf is een zeldzame
autosomaal dominante
genodermatose. Het is een keratinisatie-stoornis
die wordt gekenmerkt door wratachtige vlakke papeltjes aan de handruggen en
voetruggen. Het is voor het eerst beschreven door Hopf in 1931. Afwijkingen
ontstaan meestal vanaf de geboorte of in de vroege kinderjaren, maar kunnen
ook pas op latere leeftijd manifest worden.
Klinisch beeld:
kleine, vlakke, verruceuze, huidkleurige tot bruinrode papeltjes op hand- en
voetruggen, onderarmen, knieën en ellebogen. Soms keratosis punctata in de handpalmen.
Nagelafwijkingen kunnen voorkomen (o.a. subunguale hyperkeratose).
![Acrokeratosis verruciformis van Hopf (click on photo to enlarge) [source: www.huidziekten.nl] Acrokeratosis verruciformis van Hopf](../../../images/acrokeratosis-verruciformis-hopf-1z.jpg) |
![Acrokeratosis verruciformis van Hopf (click on photo to enlarge) [source: www.huidziekten.nl] Acrokeratosis verruciformis van Hopf](../../../images/acrokeratosis-verruciformis-hopf-2z.jpg) |
| acrokeratosis
verruciformis |
acrokeratosis
verruciformis |
Bij de ziekte van Darier kan ook een beeld voorkomen dat heel sterk lijkt
op acrokeratosis verruciformis, het is daarom de vraag of beide entiteiten niet
een uiting zijn van hetzelfde gendefect. Het verschil is dat bij acrokeratosis
verruciformis geen dyskeratose en acantholyse wordt gezien, en bij acrale Darier
wel. Darier wordt veroorzaakt door een mutatie in ATP2A2 op 12q23-q24, een gen
dat codeert voor SERCA2 (sarco(endo)plasmic reticulum Ca2+ ATPase2), een calciumpomp.
Ook bij acrokeratosis verruciformis zijn inmiddels mutaties in het ATP2A2 gen
gevonden.
DD: morbus Darier (
dyskeratosis
follicularis),
epidermodysplasia
verruciformis,
verrucae planae,
stuccokeratose, morbus Flegel (
hyperkeratosis
lenticularis perstans),
verruca
seborroica.
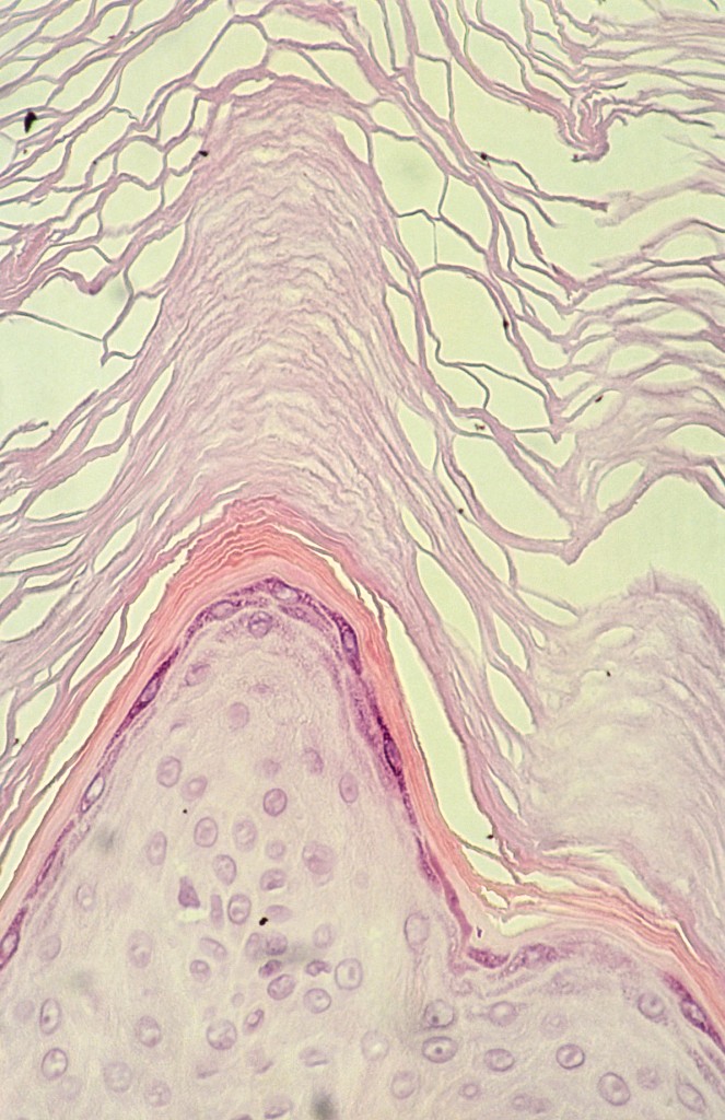
PA: hyperkeratose, acanthose en papillomatose.
Verbreding van stratum corneum, granulosum en spinosum. Typisch zijn spitse
retelijsten, lijkend op kerkspitsen (church spires). Geen parakeratose. Soms
een gering infiltraat. Geen vacuolisatie, geen dyskeratose en acantholyse zoals
bij Darier.
![Histologie van acrokeratosis verruciformis van Hopf (click on photo to enlarge) [source: www.huidziekten.nl] Histologie van acrokeratosis verruciformis van Hopf](../../../images/acrokeratosis-verruciformis-hopf-3z.jpg) |
| Hopf (PA) |
Therapie:Mechanische verwijdering (cryotherapie, electrocoagulatie,
CO2 en andere lasers).
R/ isotretinoïne.
R/ Neotigason (acitretine).
Referenties
| 1. |
Hopf G. Ueber eine bisher nicht beschriebene
disseminierte keratose (akrokeratose verruciformis). Dermatol Z
1931;60:227-250. |
| 2. |
Niedleman ML, Mckusick VA. Acrokeratosis
verruciformis (Hopf). A follow-up study. Arch Dermatol 1962;86:779-782. |
| 3. |
Dhitavat J, Macfarlane S, Dode L, Leslie
N, Sakuntabhai A, MacSween R, Saihan E, Hovnanian A. Acrokeratosis
verruciformis of Hopf is caused by mutation in ATP2A2: evidence
that it is allelic to Darier's disease. J Invest Dermatol 2003;120(2):229-232. |
| 4. |
Serarslan G, Balci DD, Homan S. Acitretin
treatment in acrokeratosis verruciformis of Hopf. J Dermatolog Treat
2007;18(2):123-125. |
Author(s):dr. Jan R. Mekkes. Dermatologist, Amsterdam UMC.