WHAT IS TRICHOMONAS?Trichomonas is a small, single-celled organism, larger than a bacterium, that can move by means of moving parts. Under a microscope, they can be seen swimming by at considerable speed. They are common, worldwide. They don't cause many symptoms: in women, they can cause increased vaginal discharge (vaginal discharge), sometimes with a foul odor. It is easily treated with antibiotics.
![Trichomonas vaginalis, trichomoniasis (click on photo to enlarge) [source: Texas Tech University Health Sciences Center (TTUHSC) - www.ttuhsc.edu] Trichomonas vaginalis, trichomoniasis](../../images/soa/trichomonas-vaginalis-3z.jpg) |
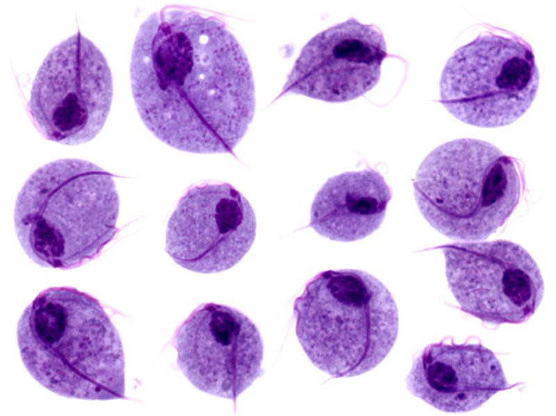
![Trichomonas vaginalis, trichomoniasis (click on photo to enlarge) [source: isis325 - Wikimedia - Creative Commons License 2.0] Trichomonas vaginalis, trichomoniasis](../../images/soa/trichomonas-vaginalis-1z.jpg) |
| foamy fluorine |
Trichomonas vaginalis |
Photos: Texas Tech University Health Sciences Center and isis325 - Wikimedia (Creative Commons License 2.0 ).
HOW DO YOU GET TRICHOMONAS?A vaginal infection with Trichomonas (trichomoniasis vaginalis) is usually contracted through unprotected sexual contact. Therefore, Trichomonas is considered a sexually transmitted infection (STD). Both women and men can carry Trichomonas without experiencing any symptoms and unknowingly, thus infecting others.
Theoretically, the Trichomonas parasite can also be transmitted through non-sexual contact, as the organism can survive for a short time in damp towels and in water, even in swimming pools and on toilet seats. In practice, Trichomonas is most commonly transmitted through sexual contact.TRICHOMONAS SYMPTOMS IN WOMENWomen can experience vaginal inflammation due to trichomoniasis. They primarily experience unpleasant, foul-smelling discharge, which can be greenish and sometimes frothy. The labia and the lining of the vagina can be red and irritated. This can also make urination painful.
Trichomoniasis rarely causes serious problems.TRICHOMONAS SYMPTOMS IN MENAs a man, you usually don't notice a Trichomonas infection (or only very little). Sometimes, the infection leads to inflammation of the urethra. This inflammation is accompanied by a burning sensation during urination and sometimes a discharge from the urethra. The glans and the skin around the urethral opening may also be irritated. The infection often clears up on its own.RESEARCHTo diagnose a trichomonas infection, the doctor will take a swab from the area where you may have been infected. The doctor will generally also perform additional tests to rule out other STIs.TREATMENTTreatment consists of a single dose of antibiotics. It is important to follow your doctor's instructions carefully. Alcohol should not be consumed on the day of treatment. Your regular partner(s) should also be examined and, if necessary, treated, even if they have no symptoms. It is best to avoid sex during treatment. This prevents you and your partner(s) from repeatedly infecting each other. If you do want to have sex, use a condom.
Antibiotics for the treatment of a vaginal Trichomonas infection: 2 g metronidazole once (take 4 tablets of 500 mg at a time).PARTNER WARNINGIt is important that all sexual partners in the past four weeks are warned and (co-)treated, regardless of whether or not they have complaints. |