|
PITYRIASIS VERSICOLOR |
 |
WHAT IS PITYRIASIS VERSICOLOR?
Pityriasis versicolor is a harmless skin condition consisting of slightly scaly patches on the body that are a different color than the surrounding skin. The patches in pityriasis versicolor are usually lighter in color than the surrounding skin, but they can also be darker.
This is also where the name comes from, as the term pityriasis is used in dermatology for all kinds of slightly scaly skin conditions, and versicolor means opposite color. The color changes are caused by yeasts of the
Malassezia species, which live on the skin. These yeasts are common on normal skin, but under certain conditions they can cause skin lesions. Pityriasis versicolor is primarily caused by
Malassezia globosa and Malassezia sympodialis. The infection is most commonly seen in young adults. Conditions that promote the development of the condition are high humidity, usually in combination with a high ambient temperature, and oily (sebaceous) skin.
![Pityriasis versicolor (click on photo to enlarge) [source: www.huidziekten.nl] Pityriasis versicolor](../../images/pityriasis-versicolor-1z.jpg) |
![Pityriasis versicolor (click on photo to enlarge) [source: www.huidziekten.nl] Pityriasis versicolor](../../images/pityriasis-versicolor-2z.jpg) |
![Pityriasis versicolor (click on photo to enlarge) [source: www.huidziekten.nl] Pityriasis versicolor](../../images/pityriasis-versicolor-12z.jpg) |
|
pityriasis versicolor |
pityriasis versicolor |
pityriasis versicolor |
WHAT ARE THE SYMPTOMS?
In people with fair skin, pityriasis versicolor can appear as light brown or reddish-brown patches with fine scaling. These patches appear darker than the surrounding fair skin. The color difference is sometimes barely noticeable in winter. When the skin is stretched, flakes break out, a sign that the yeast infection is still active. In summer, sunbathing can reverse the color: the surrounding skin tans, while the affected areas remain brown. At that point, the condition becomes more visible. In people with darker skin, the patches can be either lighter or darker than the surrounding normal skin.
The patches can vary in size from a few millimeters to tens of centimeters. They are mainly seen on the trunk and upper arms. They can also merge over large areas of skin, spreading to the forearms, the backs of the hands, the thighs, and even into the backs of the knees. Especially in tropical climates, the face and scalp are sometimes affected. The condition is cosmetically disturbing, but causes no other symptoms, sometimes a little itching.
WHAT CAUSES PITYRIASIS VERSICOLOR?
Pityriasis versicolor is caused by a superficial infection of the skin by a yeast of the
Malassezia species (formerly also called
Pityrosporum ovale). There are several varieties of this yeast. Pityriasis versicolor is mainly caused by the
Malassezia globosa and Malassezia sympodialis species. A yeast is a small, single-celled organism that can reproduce by budding. Yeasts of the
Malassezia species are always present on normal, healthy skin.
These yeasts thrive on the lipid layer of the skin.
The greatest numbers of yeasts are found on the
scalp, on the upper part of the trunk, and in body
folds. Under certain circumstances, especially humid
and warm conditions, the number of yeasts can
increase and cause problems. Certain conditions,
such as (excessive) sweating, diabetes, pregnancy,
and a weakened immune system, can also increase the
presence of yeasts on the skin. Malassezia yeasts
can cause not only pityriasis versicolor, but also
dandruff and a form of
eczema called
seborrheic dermatitis.
![Pityrosporum (Malassezia furfur) (click on photo to enlarge) [source: www.huidziekten.nl] Pityrosporum (Malassezia furfur)](../../images/pityriasis-versicolor-7z.jpg) |
![Pityrosporum (Malassezia furfur) (klik op foto voor vergroting) [bron: CDC Atlanta - Public Domain Image] Pityrosporum (Malassezia furfur)](../../images/pityriasis-versicolor-9z.jpg) |
![Pityrosporum (Malassezia furfur) (klik op foto voor vergroting) [bron: CDC Atlanta - Public Domain Image] Pityrosporum (Malassezia furfur)](../../images/pityriasis-versicolor-10z.jpg) |
|
Malassezia gisten |
Malassezia gisten |
knopvormende gisten |
Pityriasis versicolor is mainly seen in warm and humid countries. Up to 40% of the population can be affected there. Pityriasis versicolor is also more visible on pigmented skin because the color difference is greater. In the Netherlands, pityriasis versicolor is much less common, affecting approximately 1% of the population. It is mainly present in the summer. Here too, the condition becomes more visible when people sunbathe in the summer: the surrounding skin tans, but the affected areas retain their color. The yeasts produce a substance that inhibits the pigment cells' production of pigment. This causes the color differences.
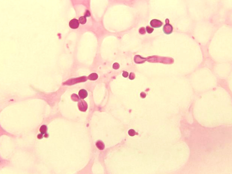
HOW IS THE DIAGNOSIS MADE?
The skin lesions are so characteristic that they can usually be recognized visually. Sometimes, a few flakes of skin are scraped off and examined under a microscope to see if yeast globules are visible. Blue ultraviolet light can also be used to check for a yellow-green color (some
Mallasezia yeasts fluoresce yellow-green under ultraviolet light). This is only clearly visible if the consultation room is otherwise completely dark. After treatment with an anti-yeast agent, the yeast globules are no longer visible. The color changes do not disappear immediately after treatment; this take months. By stretching the skin in an affected area, it can be determined whether the yeast infection is still active: flakes appear with an active infection, while this does not occur with a healed infection. This is called the stretch test.
![Pityrosporum (Malassezia furfur) (klik op foto voor vergroting) [bron: CDC Atlanta - Public Domain Image] Pityrosporum (Malassezia furfur)](../../images/pityriasis-versicolor-8z.jpg) |
![Pityriasis versicolor (klik op foto voor vergroting) [bron: www.huidziekten.nl] Pityriasis versicolor](../../images/pityriasis-versicolor-3z.jpg) |
yeast globules under microscope |
stretch test: flaking
when stretching skin |
HOW IS PITYRIASIS VERSICOLOR TREATED?
Treatment with creams and lotions for the skin: If the area to be treated is not very extensive, it can be treated with an antifungal cream such as ketoconazole cream, terbinafine cream,
terbinafine skin spray, or ciclopirox cream. Apply the cream to the affected area twice a day for 2-4 weeks.
In addition, treat the scalp twice a week with ketoconazole shampoo, as the scalp is an ideal habitat for the yeasts. From the scalp, they can spread to the rest of the body. Those who regularly suffer from recurring pityriasis versicolor should continue treating the scalp regularly (for example, once a week) with ketoconazole shampoo. The shampoo should be applied to the scalp in the shower after washing hair, left on for 5 minutes, and rinsed. See further under
dandruff.
For larger areas, an anti-dandruff shampoo such as ketoconazole shampoo can also be applied to the entire body.
Ketoconazole shampoo: Wash your hair (with an anti-dandruff shampoo) and then leave the ketoconazole shampoo on for 5 minutes. Spread the ketoconazole shampoo
also over your entire body and leave it on for 5 minutes. Then rinse. Repeat this every day for 5 days.
Treatment with tablets or capsules: For very extensive pityriasis versicolor, the yeast infection can also be treated by taking antifungal capsules. These kill the yeast from within, reaching all areas of the body. The infection can still return afterwards, because the yeast is ubiquitous in our environment, re-infection occurs easily. Therefore, it is also useful to apply maintenance treatment with a ketoconazole shampoo.
Examples of antifungal capsules are:
Itraconazole capsules of 100 mg. Take two 100 mg capsules at once daily for one week.
Fluconazole capsules of 50, 150, or 200 mg. Once a week, 300 mg (2 x 150 mg) or 400 mg (2 x 200 mg) for 3 weeks. Or 1 capsule of 50 mg once a day for 2-4 weeks.
WHAT ELSE CAN YOU DO?
You can try to avoid circumstances that aggravate the condition (warm temperatures, humid conditions, excessive sweating). Other tips include: always allowing your skin to dry thoroughly after showering, not walking around in sweaty clothing for extended periods, and sleeping in a cool bedroom. Nevertheless, the condition can always recur, and some people are more susceptible than others. If the condition has recurred several times, ketoconazole shampoo can be used preventatively during the summer months.
WHAT IS THE PROSPECT?
After pityriasis versicolor has healed, the pale spots may persist for a longer period. This is because the yeast cells secrete a substance that has a (sometimes long-lasting) inhibitory effect on pigment formation. This can sometimes cause confusion: the yeast has been effectively combated and killed, but the skin condition remains just as visible and appears to persist. Generally, the pale spots will disappear spontaneously over the course of the summer or after about six months. If the white patches remain visible, a tanning bed session can sometimes be effective in restoring the pigment to the white patches. This can be a regular tanning bed session at a tanning salon, and you can also achieve this effect with natural sunlight.
Unfortunately, pityriasis versicolor is a condition that can recur frequently in people who are susceptible to it.
|