Hidradenitis suppurativa is meestal gelokaliseerd
in de plooien (oksels, liezen, onder de borsten) of op de billen, maar het kan
ook voorkomen elders op het lichaam, op de romp of op extremiteiten. Meestal
zijn er dan de klassieke afwijkingen van
hidradenitis suppurativa
te zien: nodi, abcessen, fistels, littekenvorming, pustels. Maar bij sommige
patiënten worden
inflammatoire plaques gezien die
in een langzaam tempo groter worden. In een serie van circa 1200 patiënten die
het Amsterdam UMC bezochten met matige tot ernstige HS werden deze plaques gezien
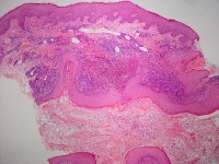
bij circa 1% van de patiënten. Het gaat om plaques bestaande uit een ontstekingsinfiltraat
dat zich concentreert rond de haarfollikels. De randen zijn rood, verheven,
vol met perifolliculaire pustels, die conflueren in een abcederende ontsteking
met veel pusvorming (suppuratief). Er ontstaan geen ulcera zoals bij
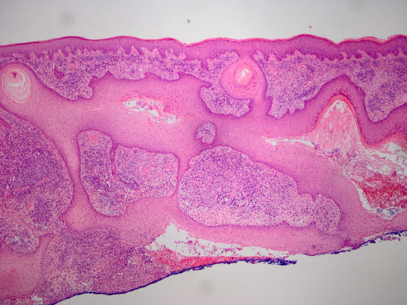
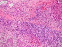
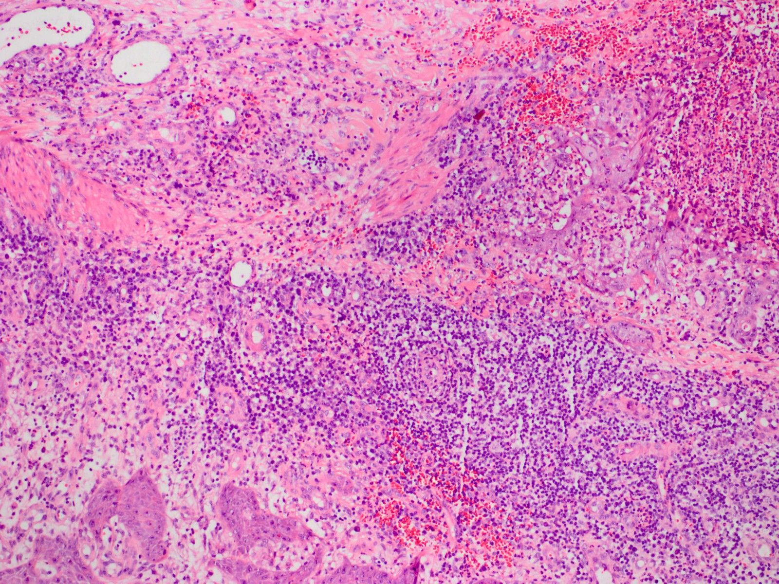
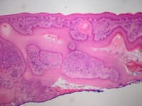
pyoderma gangrenosum. De histologie toont
supepidermale velden epitheel en oppervlakkige fistels omgeven door inflammatie.
Het ontstekingsinfiltraat vernietigt uiteindelijk de haarfollikels compleet
en ook grotendeels de epidermis en dermis tot ongeveer 3-8 mm diepte. Aan de
randen breiden deze plaques zich uit met een actieve ontstoken rand; centraal
treedt genezing op, het centrum wordt weer volledig geëpithelialiseerd maar
op een niveau onder de haarfollikels, met plaatselijk nog
cribiforme
resten van de originele epidermis. Omdat de haarfollikels volledig verwoest
worden, kan het niet nog een keer optreden in het zelfde gebied. De plaques
kunnen wel voortwoekeren over een groot oppervlak. De plaques laten littekens
achter die er uit zien alsof er een deroofing procedure heeft plaatsgevonden,
verzonken littekens bekleed met atrofische en haarloze epidermis.
Het
is moeilijk om een goede naam te plakken op deze plaques. Het kan een
variant van hidradenitis suppurativa zijn, of
pyoderma vegetans (een oppervlakkige variant van
pyoderma gangrenosum) bij hidradenitis suppurativa.
Daarom hebben we het beeld gepubliceerd onder de beschrijvende term
plaque-form hidradenitis suppurativa (van Rappard et al, 2016).
Vilar-Alejo et al (2010) beschreven een identiek beeld maar noemden het
pyoderma vegetans. Braun-Falco et al. (2012) en Marzano
et al. (2013) beschrijven ook HS patiënten met precies dezelfde plaques maar
noemen het
pyoderma gangrenosum en gebruiken acroniemen
zoals
PASH en
PAPASH om
de combinatie met acne en hidradenitis te beschrijven.
![Plaque form hidradenitis suppurativa (click on photo to enlarge) [source: www.huidziekten.nl] Plaque form hidradenitis suppurativa](../../../images/pyoderma-vegetans-bij-hidradenitis-suppurativa-1z.jpg) |
![Plaque form hidradenitis suppurativa (click on photo to enlarge) [source: www.huidziekten.nl] Plaque form hidradenitis suppurativa](../../../images/pyoderma-vegetans-bij-hidradenitis-suppurativa-2z.jpg) |
![Plaque form hidradenitis suppurativa (click on photo to enlarge) [source: www.huidziekten.nl] Plaque form hidradenitis suppurativa](../../../images/pyoderma-vegetans-bij-hidradenitis-suppurativa-3z.jpg) |
| plaques
/ PV bij HS |
plaques
/ PV bij HS |
plaques
/ PV bij HS |
![Plaque form hidradenitis suppurativa (click on photo to enlarge) [source: www.huidziekten.nl] Plaque form hidradenitis suppurativa](../../../images/pyoderma-vegetans-bij-hidradenitis-suppurativa-4z.jpg) |
![Plaque form hidradenitis suppurativa (click on photo to enlarge) [source: www.huidziekten.nl] Plaque form hidradenitis suppurativa](../../../images/pyoderma-vegetans-bij-hidradenitis-suppurativa-5z.jpg) |
![Plaque form hidradenitis suppurativa (click on photo to enlarge) [source: www.huidziekten.nl] Plaque form hidradenitis suppurativa](../../../images/pyoderma-vegetans-bij-hidradenitis-suppurativa-6z.jpg) |
| plaques
/ PV bij HS |
plaques
/ PV bij HS |
plaques
/ PV bij HS |
![Plaque form hidradenitis suppurativa (click on photo to enlarge) [source: www.huidziekten.nl] Plaque form hidradenitis suppurativa](../../../images/pyoderma-vegetans-bij-hidradenitis-suppurativa-7z.jpg) |
![Plaque form hidradenitis suppurativa (click on photo to enlarge) [source: www.huidziekten.nl] Plaque form hidradenitis suppurativa](../../../images/pyoderma-vegetans-bij-hidradenitis-suppurativa-8z.jpg) |
![Plaque form hidradenitis suppurativa (click on photo to enlarge) [source: www.huidziekten.nl] Plaque form hidradenitis suppurativa](../../../images/pyoderma-vegetans-bij-hidradenitis-suppurativa-9z.jpg) |
| plaques
/ PV bij HS |
plaques
/ PV bij HS |
plaques
/ PV bij HS |
![Plaque form hidradenitis suppurativa (click on photo to enlarge) [source: www.huidziekten.nl] Plaque form hidradenitis suppurativa](../../../images/pyoderma-vegetans-bij-hidradenitis-suppurativa-10z.jpg) |
![Plaque form hidradenitis suppurativa (click on photo to enlarge) [source: www.huidziekten.nl] Plaque form hidradenitis suppurativa](../../../images/pyoderma-vegetans-bij-hidradenitis-suppurativa-11z.jpg) |
![Plaque form hidradenitis suppurativa (click on photo to enlarge) [source: www.huidziekten.nl] Plaque form hidradenitis suppurativa](../../../images/pyoderma-vegetans-bij-hidradenitis-suppurativa-12z.jpg) |
| histologie |
histologie |
histologie |
Plaqueform hidradenitis suppurativa of pyoderma vegetans ?
Pyoderma vegetans werd voor het eerst beschreven door
Hallopeau in 1898. Het beeld was echter niet goed gedefinieerd en de oorzaak
was onbekend. De foto's die sindsdien in verschillende oude publicaties zijn
opgenomen onder de naam pyoderma vegetans tonen soms totaal verschillende afwijkingen,
waaronder huidinfecties, pemphigus vegetans, en het bovengenoemde beeld met
vegetatieve plaques. In latere publicaties is de dermatose met inflammatoire
plaques met vegetatief oppervlak, randactiviteit met pustelvorming, en het achterlaten
van cribiforme littekens herkend als een aparte entiteit en beschreven onder
verschillende namen zoals
pyoderma vegetans,
mycosis-like pyoderma,
vegetative pyoderma
gangrenosum, en
superficial granulomatous pyoderma.
Inmiddels is in de literatuur beter beschreven wat bedoeld wordt met de diagnose
pyoderma vegetans. Het wordt beschouwd als een
oppervlakkige variant
van pyoderma gangrenosum, met een vegetatief (verruceus, papillomateus,
crusteus) oppervlak. De andere termen worden niet meer gebruikt. In de definitie
van pyoderma vegetans is opgenomen dat er kleine fisteltjes in kunnen zitten
(superficial sinus tracts). Aldus gedefinieerd, past de term pyoderma vegetans
goed op de plaques die kunnen voorkomen bij patiënten met hidradenitis suppurativa.
Daarom is het bij nader inzien beter om de term
plaqueform hidradenitis
te verlaten en te spreken van
pyoderma vegetans bij
hidradenitis suppurativa.
| Varianten van pyoderma gangrenosum: |
1. klassieke vorm 2. pustuleuze vorm 3. bulleuze vorm
4. pyoderma vegetans |
Pyoderma vegetans kan als geïsoleerd
verschijnsel voorkomen, zonder onderliggende ziekten. Maar het kan dus ook voorkomen
bij patiënten met
hidradenitis suppurativa.
Dat is niet bijzonder, ook de combinatie van de klassieke ulceratieve vorm van
pyoderma gangrenosum en hidradenitis suppurativa
komt regelmatig voor. En soms hebben deze patiënten ook de
ziekte van Crohn.
Ook zijn er patiënten, met de ziekte van Crohn, of zonder onderliggende aandoeningen,
die pyoderma gangrenosum en pyoderma vegetans naast elkaar hebben.
![Pyoderma vegetans (click on photo to enlarge) [source: www.huidziekten.nl] Pyoderma vegetans](../../../images/pyoderma-vegetans-5z.jpg) |
![Pyoderma vegetans bij Crohn (click on photo to enlarge) [source: www.huidziekten.nl] Pyoderma vegetans bij Crohn](../../../images/pyoderma-vegetans-bij-crohn-1z.jpg) |
![Pyoderma gangrenosum bij hidradenitis suppurativa (click on photo to enlarge) [source: www.huidziekten.nl] Pyoderma gangrenosum bij hidradenitis suppurativa](../../../images/pyoderma-gangrenosum-bij-HS-1z.jpg) |
| pyoderma
vegetans |
pyoderma
vegetans bij Crohn |
pyoderma
gangrenosum bij HS |
PAPA syndroom, PASH syndroom en PAPASH syndroom
Het
PAPA syndroom is een acronym voor de combinatie
Pyogene
Artritis,
Pyoderma
gangrenosum, en
Acne. Met acne in dit syndroom wordt bedoeld
ernstige acne zoals acne conglobata. Het syndroom behoort tot de auto-inflammatoire
aandoeningen (zie de
overzichtstabel op
www.nomidalliance.org) en is beschreven bij families. Het is een autosomaal
dominante genetische aandoening, veroorzaakt door een mutatie in het
PSTPIP1 gen (
OMIM
604416). Het kan worden
behandeld met
Anakinra (IL1-receptor antagonist).
Zie verder onder
PAPA syndroom.
De term
PASH syndroom is geïntroduceerd door Braun-Falco et
al. in 2012 en is een acroniem voor
Pyoderma gangrenosum,
Acne, and
Suppurative
Hidradenitis.
Het is de vraag of dit echt een syndroom is, want de patiënten die in dit artikel
worden beschreven hebben geen klassieke ulceratieve pyoderma gangrenosum, maar
pyoderma vegetans. Ook werd er geen mutatie in het
PSTPIP1
gen gevonden, en het syndroom is dan ook niet opgenomen in de OMIM database.
De term
PAPASH syndroom is geïntroduceerd door
Marzano et al in 2013 en is een acroniem voor
Pyogenic
Arthritis,
Pyoderma gangrenosum,
Acne,
and
Suppurative
Hidradenitis. Ook de patiënten
die in dit artikel worden beschreven hebben geen pyoderma gangrenosum, maar
pyoderma vegetans. Bij deze patiënten werd wel een mutatie in het
PSTPIP1 gen gevonden.
|
PAPA |
PASH |
PAPASH |
| pyogenic arthritis |
+ |
- |
+ |
| pyoderma gangrenosum |
+ |
+ |
+ |
| acne |
+ |
+ |
+ |
| hidradenitis suppurativa |
- |
+ |
+ |
| mutatie PSTPIP1 |
+ |
- |
+ |
Therapie:Vanwege de relatieve zeldzaamheid
zijn er geen grote studies uitgevoerd. De patiënten uit het AMC met pyoderma
vegetans bij hidradenitis suppurativa werden succesvol behandeld met een combinatie
van
antibiotica zoals clindamycine of doxycycline,
anti-inflammatoire therapie (prednison, infliximab,
adalimumab, lokale corticosteroïden klasse 3-4) en
deroofing procedures.
Deroofing lijkt goed te werken en het proces te stoppen. Bij klassieke pyoderma
gangrenosum ulcera kunnen chirurgische ingrepen averechts uitwerken en (pathergie
fenomeen), maar bij pyoderma vegetans bij hidradenitis suppurativa is dat niet
waargenomen. Inmiddels zijn ook patiënten met pyoderm vegetans bij de ziekte
van Crohn zonder problemen behandeld met deroofing.
R/ doxycycline 1
dd 100 mg voor enkele weken + Dermovate crème lokaal.
R/ clindamycine 2-3
dd 300 mg voor enkele weken + Dermovate crème lokaal.
R/ amoxicilline / clavulaanzuur
3 dd 625 mg voor enkele weken + Dermovate crème lokaal.
R/ doxycycline, clindamycine
of amoxicilline / clavulaanzuur + systemische corticosteroïden.
R/ clindamycine
+ rifampicine
R/ infliximab of adalimumab.
R/ ciclosporine en andere immunosuppressiva.
R/ apremilast.
R/ intralesionale corticosteroïden.

Deroofing
onder lokale verdoving. Ondanks het feit dat volgens recente inzichten pyoderma
vegetans een variant van pyoderma gangrenosum is, kan het worden behandeld met
deroofing. De actieve randzone met velden van pustels, die holten vormen, kan
er afgesneden worden. Het optreden van pathergie is nog niet gesignaleerd.
![Plaque form hidradenitis suppurativa (click on photo to enlarge) [source: www.huidziekten.nl] Plaque form hidradenitis suppurativa](../../../images/pyoderma-vegetans-bij-hidradenitis-suppurativa-13z.jpg) |
![Plaque form hidradenitis suppurativa (click on photo to enlarge) [source: www.huidziekten.nl] Plaque form hidradenitis suppurativa](../../../images/pyoderma-vegetans-bij-hidradenitis-suppurativa-14z.jpg) |
![Plaque form hidradenitis suppurativa (click on photo to enlarge) [source: www.huidziekten.nl] Plaque form hidradenitis suppurativa](../../../images/pyoderma-vegetans-bij-hidradenitis-suppurativa-15z.jpg) |
| infliximab |
infliximab
+ deroofing |
Augmentin
+ Dermovate |
Referenties
| 1. |
van Rappard DC, Starink MV, van der Wal AC,
de Rie MA, Mekkes JR. Four cases of plaque form hidradenitis suppurativa.
J Eur Acad Dermatol Venereol 2016;30(10):e104-e106.
PDF |
| 2. |
Mekkes JR, van Rappard DC, Starink MV. Plaquevorm
hidradenitis suppurativa. Ned Tijdschr Dermatol Venereol 2016;26:298-300. |
| 3. |
Vilar-Alejo J, Dehesa L, de la Rosa-del Rey
P et al. SAPHO syndrome with unusual cutaneous manifestations treated
successfully with etanercept. Acta Derm Venereol 2010;90:531-532. |
| 4. |
Braun-Falco M, Kovnerystyy O, Lohse P, Ruzicka
T. Pyoderma gangrenosum, acne, and suppurative hidradenitis (PASH)
- a new autoinflammatory syndrome distinct from PAPA syndrome. J
Am Acad Dermatol 2012;66:409-415. |
| 5. |
Marzano AV, Trevisan V, Gattorno M et al.
Pyogenic arthritis, pyoderma gangrenosum, acne, and hidradenitis
suppurativa (PAPASH): a new autoinflammatory syndrome associated
with a novel mutation of the PSTPIP1 gene. JAMA Dermatol 2013;149:762-764. |
| 6. |
Jin Y, Qu C, Shi T, Wang C, Yu H, Zhang F.
A case of vegetative pyoderma gangrenosum. Dermatologica Sinica
2015;33:170-172.
PDF |
| 7. |
Kaneko T, Tamai K, Yamazaki T, Harada K,
Nakano H, Hanada K. Superficial granulomatous pyoderma: a case report
of two Japanese patients and clinical comparison with foreign patients.
J Dermatol 2003;30(6):472-476.
PDF |
| 8. |
Langan SM, Powell FC. Vegetative pyoderma
gangrenosum: a report of two new cases and a review of the literature.
Int J Dermatol 2005;44:623-629.
PDF |
| 9. |
Laird ME, Tong LX, Lo Sicco KI, Kim RH, Meehan
SA, Franks AG Jr. Novel use of apremilast for adjunctive treatment
of recalcitrant pyoderma gangrenosum. JAAD Case Rep 2017;3(3):228-229.
PDF |
| 10. |
Milam EC, Brinster NK. Superficial granulomatous
pyoderma of the leg improved after conservative management with
Unna boot and intralesional steroid injections. JAAD Case Rep 2018;4(8):797-799.
PDF |
Author(s):dr. Jan R. Mekkes. Dermatologist, Amsterdam UMC.
dr. Dominique C. van Rappard. Arts-assistent Dermatologie, AMC, Amsterdam.