Een
onychomatricoma is een goedaardige zeldzame tumor
uitgaande van de nagelmatrix. Het onychomatricoma is voor het eerst beschreven
door Baran en Kint in 1992, en sindsdien zijn er 40-50 cases beschreven. De
nagel is verdikt, sterk gebogen, gekromd (overcurvatuur), en witgeel tot bruin
verkleurd, met longitudinale groeven en splinterbloedingen. Het uiteinde van
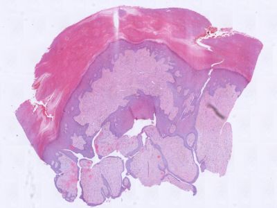
de nagel is verdikt en er zitten kleine gaatjes in. Histologisch gaat het om
een fibroepitheliale tumor ('filamentous tufted tumor' van de nagelmatrix).
Het is de enige tumor die in de nagelplaat zelf groeit; een matrixbiopt is niet
nodig, een stukje nagel insturen volstaat. Vanwege de zeldzaamheid wordt deze
diagnose vaak niet gesteld en wordt tevergeefs behandeld als nagelmycose.
![Onychomatricoma (click on photo to enlarge) [source: Ph. Abimelec - DermNet - Creative Commons License 3.0] Onychomatricoma](../../../images/nail-disorders/onychomatricoma-1z.jpg) |
![Histologie onychomatricoma (click on photo to enlarge) [source: Kevin Kwee / Afdeling Pathologie MUMC] Histologie onychomatricoma](../../../pacoupes/thumbnails/onychomatricoma.jpg) |
| onychomatricoma |
ingescande coupe (zoom) |
Foto:
DermNet (New Zealand Dermatological Society
- Creative Commons License
3.0).
Hoge resolutie PA-foto: Kevin Kwee en Afdeling Pathologie MUMC. Klik
op de afbeelding om in te zoomen.
DD: onychomycose,
onychogryphosis, onychoauxis,
onychodystrofie, hyperkeratose van de nagel
nno, zie onder
nagelafwijkingen.
Diagnostiek:De diagnose kan gesteld worden door het
uiteinde van de nagel af te knippen en naar de PA te sturen. In het stukje nagel
ziet men de karakteristieke gaatjes van verschillende diameter, gevuld met serum
en bekleed met een dun laagje epitheel (eventueel aan te kleuren met een cytokeratine
kleuring).
Therapie:

Kan desgewenst
worden behandeld met nagelextractie.
Referenties
| 1. |
Baran R, Kint A. Onychomatrixoma: filamentous
tufted tumour in the matrix of a funnel-shaped nail: a new entity
(report of three cases). Br J Dermatol 1992;126(5):510-515. |
| 2. |
Perrin C, Baran R, Balaguer T; et al. Onychomatricoma:
new clinical and histological features: a review of 19 tumors. Am
J Dermatopathol 2010;32(1):1-8. |
| 3. |
Miteva M, de Farias DC, Zaiac M, Romanelli
P, Tosti A. Nail clipping diagnosis of onychomatricoma. Arch Dermatol
2011;147(9):1117-1118. |
| 4. |
Haneke E, Fränken J. Onychomatricoma. Dermatol
Surg 1995;21(11):984-987. |
| 5. |
Becerro de Bengoa R, Gates JR, Losa Iglesias
ME, Alija Martinez B. Rare toenail onychomatricoma: surgical resolution
of five cases. Dermatol Surg 2011;37(5):709-711. |
Author(s):dr. Jan R. Mekkes. Dermatologist, Amsterdam UMC.