ONYCHOMYCOSIS MANUUM ET PEDUM home ICD10: B35.1

Onychomycosis (nagelmycose, schimmelinfectie van de nagels, schimmelnagels) komt vaak voor: bij circa 3 procent van de mensen, meestal aan de teennagels. Reden voor verwijzing door huisarts is meestal het uitsluiten van een andere nagel aandoening. Schimmelnagels worden meestal veroorzaakt door Trichophyton rubrum of andere Trichophyton soorten zoals T. interdigitale (T. mentagrophytes), Epidermophyton floccosum, T. violaceum, Microsporum gypseum, T. tonsurans, T. soudanense en T. verrucosum. Het kan ook worden veroorzaakt door Candida albicans en andere niet-dermatophyten zoals Scytalidium (Neoscytalidium), Scopulariopsis, en Aspergillus. Candida komt vooral voor aan de vingers bij mensen die veel met de handen in het water zitten.

Onychomycose Onychomycose Onychomycose
onychomycose onychomycose onychomycose

Onychomycose Onychomycose Onychomycose
onychomycose onychomycose onychomycose

Onychomycose Onychomycose Onychomycose
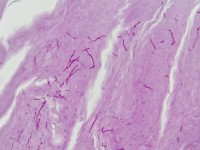
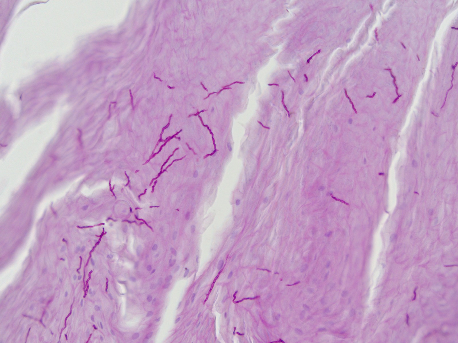
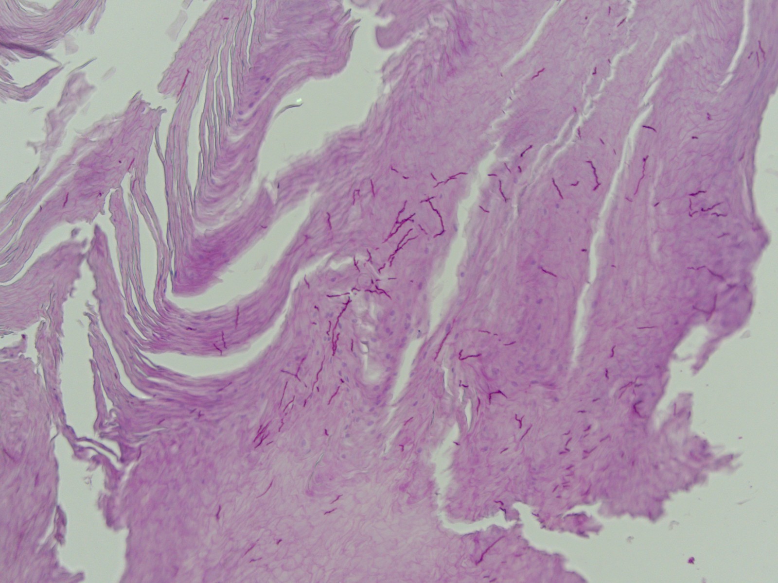
onychomycose (Candida) onychomycose (PA) onychomycose (PA)

PA-Foto's: www.dermpedia.org.


Diagnostiek:
1. KOH-preparaat (sensitiviteit 80%, specificiteit 72%). Kan gedaan worden op nagelmateriaal ingezonden voor kweek, als deel van microbiologisch onderzoek en kan (zelf) gedaan worden op materiaal van onder de nagel.
2. Kweek (sensitiviteit 59%, specificiteit 82%). Wordt vaak gecombineerd met KOH, samen hebben deze onderzoeken een hogere sensitiviteit (84%).
3. Histologie (PAS, sensitiviteit 92%, specificiteit 72%).De hoge sensitiviteit kan nog verder verhoogd worden in combinatie met KOH onderzoek tot 97,8%.

De keuze van de diagnostiek zal afhangen van de vraagstelling: bij uitsluiten onychomycose kies voor histologie, eventueel aangevuld met KOH. Bij onderzoek naar resistentie (echte resistentie of onderscheid dermatofyt of candida) is kweek onmisbaar.

DD: zie onder nagelafwijkingen.

Therapie:
Spontane genezing is zeer onwaarschijnlijk. Alleen behandelen indien patiënt dit wil. Noodzaak tot behandelen groter bij diabetes, HIV-infecties, verminderde veneuze/arteriële circulatie of lymfeafvloed. In principe langdurig systemische therapie. Alleen in uitzonderingen (interacties) kan zeer langdurige lokale therapie worden overwogen.

Uitgroei gezonde nagel onder antimycotica
effect antimycotica



ONYCHOMYCOSIS MANUUM home ICD10: B35.1

R/ itraconazol 1 dd 200 mg gedurende 3 maanden. Of 2 dd 200 mg gedurende 1 week per maand.
R/ terbinafine 1 dd 250 mg gedurende 3 maanden.
R/ fluconazol 1 x per week 150 mg tot de geïnfecteerde nagel is vervangen, bij vingernagels doorgaans 3-6 maanden.
Omdat de antimycotica langdurig in de nagel aanwezig blijven is 3 maanden therapie over het algemeen voldoende.
Nagels kort houden, zo nodig regelmatig afvijlen.



ONYCHOMYCOSIS PEDUM home ICD10: B35.1

R/ terbinafine 1 dd 250 mg gedurende 3 maanden.
R/ itraconazol 1 dd 200 mg gedurende 3 maanden. Of 2 dd 200 mg gedurende 1 week per maand.
Omdat de antimycotica langdurig in de nagel aanwezig blijven is 3 maanden therapie over het algemeen voldoende.
Nagels kort houden, zo nodig regelmatig afvijlen. Bij ouderen (> 50) i.v.m. de trage uitgroei van de nagels zonodig de kuur verlengen tot 4 maanden. Daarna effect afwachten. Vanwege de trage groei kan klinische genezing uitblijven terwijl de schimmels toch gedood zijn. Indien er na 9-12 maanden geen enkel verschil is, situatie herbeoordelen en bij aantonen van gisten of schimmels (d.m.v. kweek en/of histologie) opnieuw systemisch behandelen.
R/ fluconazol 1 x per week 150 mg tot de geïnfecteerde nagel is vervangen, bij teennagels doorgaans 6-12 maanden.

Terbinafine puls schema voor onychomycosis
Puls schema’s voor itraconazol waren al langer in gebruik, inmiddels zijn er artikelen verschenen waarin wordt beschreven dat het ook voor terbinafine mogelijk is. Terbinafine blijft lang actief in de nagel, waarschijnlijk zelfs 30 weken. In 2005 is een studie gepubliceerd met als conclusie dat continue behandeling iets effectiever was dan pulse therapie (70.9% vs 58.7%, relative risk 1.21 (1.02-1.43)). Maar in een meta-analyse uit 2020 werd geen verschil gezien in effectiviteit tussen terbinafine elke dag 250 mg gedurende 12 weken, of terbinafine 1 dd 500 mg gedurende 7 dagen per maand, 4 behandelingen, of terbinafine 500 mg gedurende 7 dagen eens per 3 maanden, 4 behandelingen (1 jaar). Ook kon niet worden aangetoond dat langer behandelen (16 of 24 weken) effectiever was dan 12 weken. Wel werd geconcludeerd dat terbinafine effectiever is dan itraconazol bij onychomycosen.
R/ terbinafine 500 mg gedurende 7 dagen per maand, 4 behandelingen (4 maanden).
R/ terbinafine 500 mg gedurende 7 dagen per 3 maanden, 4 behandelingen (1 jaar).

Locale alternatieven:
R/ Loceryl (amorolfine 5%) is een lokaal product dat enig effect heeft, en ook goed gecombineerd kan worden met systemische antimycotica. Dit middel is als monotherapie niet zo succesvol als de orale middelen maar kan in combinatie de succesrate verhogen en recidiefkans verlagen. Daarnaast kunnen er contra-indicaties bestaan voor orale mycotica of andere bezwaren er tegen, ook dan is het goed om een lokaal alternatief te hebben. De lak wordt 1/2 x per week aangebracht gedurende 6 maanden (teennagels 9-12 maanden). Niet in Nederland geregistreerd, wel verkrijbaar online en bij drogist (zelfzorgmiddel).
R/ ciclopiroxolamine nagellak 1 dd op nagels en omringende huid 6-12 maanden, nagels kort houden. Niet in Nederland geregistreerd, wel verkrijbaar online en bij drogist (zelfzorgmiddel).

Aanvullende adviezen:
Voeten schoon en droog houden. Het inpoederen van de voeten met een miconazol strooipoeder kan de huid droog houden en de genezing bevorderen, met name bij zweetvoeten in combinatie met een dermatomycose. Er circuleert ook een advies dat door het inpoederen van sokken en schoenen met miconazol strooipoeder schimmels en schimmelsporen gedood worden die daarin kunnen overleven en de patiënt herbesmetten. Het is niet zeker of dit ook daadwerkelijk zo is. Het is ook niet zeker of de recidiefkans van nagelmycose wordt beïnvloed door strooipoeder te gebruiken.
R/ miconazol strooipoeder 20 mg/g, 1-2 busjes a 20 g. Zie onder lokale antimycotica (ook voor overzicht welke antimycotica worden vergoed).
S/ Alle schoenen mee inpoederen, na een week nog eens herhalen.


patientenfolder


Referenties
1. De Kock CA, Duyvendak RJP, Jaspar AHJ, Krol SJ, Van Hoeve JAC, Romeijnders ACM, Kolnaar BGM. NHG standaard Dermatomycosen.
2. Karimzadegan-Nia M, Mir-Amin-Mohammadi A, Bouzari N, Firooz A. Comparison of direct smear, culture and histology for the diagnosis of onychomycosis. Australas J Dermatol 2007;48:18-21.
3. Weinberg JM, Koestenblatt EK, Tutrone WD, Tishler HR, Najarian L. Comparison of diagnostic methods in the evaluation of onychomycosis. J Am Acad Dermatol 2003;49:193-197.
4. Summerbell RC, Cooper E, Bunn U, Jamieson F, Gupta AK. Onychomycosis: a critical study of techniques and criteria for confirming the etiologic significance of nondermatophytes. Med Mycol 2005;43:39-59.
5. Drake L, Babel D, Stewart DM, Rich P, Ling MR, Breneman D, Scher RK, Martin AG, Pariser DM, Pariser RJ, Ellis CN, Kang S, Katz HI, McDonald CJ, Muglia J, Savin RC, Webster G, Elewski BE, Leyden JJ, Bucko AD, Tschen EH, Hanifin JM, Morman MR, Shupack JL, Greer DL, et al. Once-weekly fluconazole (150, 300, or 450 mg) in the treatment of distal subungual onychomycosis of the fingernail. J Am Acad Dermatol 1998;38:S87-94.
6. Crawford F, Hollis S. Topical treatments for fungal infections of the skin and nails of the foot. Cochrane Database Syst Rev 2007 Jul 18;(3):CD001434.
7. Warshaw EM, Fett DD, Bloomfield HE, Grill JP, Nelson DB, Quintero V, Carver SM, Zielke GR, Lederle FA. Pulse versus continuous terbinafine for onychomycosis: a randomized, double-blind, controlled trial. J Am Acad Dermatol 2005;53(4):578-584.
8. Sprenger AB, Purim KSM, Sprenger F, Queiroz-Telles F. A Week of Oral Terbinafine Pulse Regimen Every Three Months to Treat all Dermatophyte Onychomycosis. J Fungi (Basel) 2019;5(3):82.
9. Gupta AK, Stec N, Bamimore MA, Foley KA, Shear NH, Piguet V. The efficacy and safety of pulse vs. continuous therapy for dermatophyte toenail onychomycosis. J Eur Acad Dermatol Venereol 2020;34(3):580-588.


Author(s):
dr. Jan R. Mekkes. Dermatologist, Amsterdam UMC.

10-08-2023 (JRM) - www.skin-diseases.eu Terug naar homepagina



Diagnosis codes:
ICD10 B35.1 Tinea unguium
ICD10 B35.1 Tinea unguium
SNOMED 414941008 Onychomycosis
DBC 4 spacer Dermatosen door micro-organismen

ICD10 B35.1 Tinea unguium: nagels hand
ICD10 B35.1 Tinea unguium: fingernails
SNOMED 403058003 Onychomycosis of fingernails
DBC 4 spacer Dermatosen door micro-organismen

ICD10 B35.1 Tinea unguium: nagels voet
ICD10 B35.1 Tinea unguium: toenails
SNOMED 403059006 Onychomycosis of toenails
DBC 4 spacer Dermatosen door micro-organismen