KERATITIS INTERSTITIALIS (PARENCHYMATOSA) SYPHILITICA home ICD10: H16.8

Keratitis interstitialis (Eng: interstitial keratitis, synoniem: keratitis parenchymatosa syphilitica) is een nonpurulente oogontsteking die wordt veroorzaakt door een cellulair infiltraat in het stroma van de cornea. Het wordt gezien in het kader van infecties, meestal als indirect fenomeen (vorming van immuuncomplexen). Keratitis interstitialis in een algemene term, behalve bij syphilis kan het ook voorkomen bij andere infecties zoals mycobacteriƫn, Lyme borreliose, virale infecties (Herpes, bof, mazelen, EBV), parasitaire infecties (Acanthamoeba, Onchocerciasis (rivier blindheid), Leishmaniasis, Trypanosoma cruzi, en Microsporidia) en bij het Cogan syndroom.

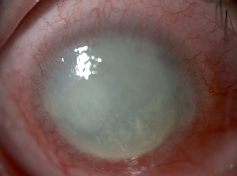
Keratitis interstitialis kan in het acute stadium klachten geven zoals tranende pijnlijke ogen, fotofobie, blepharospasme en visus stoornissen. Later kan de cornea er door vertroebeld worden. Syphilis, en dan vooral congenitale syphilis is de belangrijkste oorzaak van keratitis interstitialis. De klachten manifesteren zich pas op latere leeftijd (vanaf 5-20 jaar).

Keratitis interstitialis
interstitial keratitis

Foto: Jacob Lorenzo-Morales et al. - Wikimedia (Creative Commons License 2.0).


Author(s):
dr. Jan R. Mekkes. Dermatologist, Amsterdam UMC.

31-05-2023 (JRM) - www.skin-diseases.eu Terug naar homepagina



Diagnosis codes:
ICD10 H16.8 Overige gespecificeerde vormen van keratitis: keratitis interstitialis syphilitica
ICD10 H16.8 Other keratitis: syphilitic interstitial keratitis
SNOMED 44568006 Syphilitic interstitial keratitis
DBC 21 spacer SOA

ICD10 A50.3 Late congenitale luetische oculopathie: keratitis interstitialis
ICD10 A50.3 Late congenital syphilitic oculopathy: syphilitic interstitial keratitis
SNOMED 866106004 Interstitial keratitis due to late congenital syphilis
DBC 21 spacer SOA