Een
glomus body (synonym: glandulae glomiformes, glomiform
glands) is een minuscuul orgaantje dat de thermoregulatie van de huid regelt,
vooral die van de acra (de vingers en de tenen). De glomusbodies worden vooral
aangetroffen aan de vingers, tenen, handen, voeten, oren, en zitten ook onder
de nagels. Bij toename (woekering) van de glomuscellen ontstaat een
glomustumor, te herkennen aan een pijnlijk, blauw doorschemerend tumortje
onder de nagel. Niet te verwarren met de glomustumoren in het hoofdhalsgebied,
die dezelfde naam hebben maar een geheel andere entiteit zijn. Zie verder onder
glomustumor.
Een glomusbody is een hooggeorganiseerde
verbinding (anastomose) tussen arteriolen en venulen. De aanvoerende arteriole
verliest zijn elastica interna en wordt omgeven door een dikke musculaire wand
die rijkelijk geinnerveerd is met sympathische en gemyeliniseerde zenuwvezels.
Er kunnen meerdere vertakkingen en convoluten aanwezig zijn in een glomus. Uiteindelijk
draineert het bloed naar een venule die de glomusbody verlaat. Afhankelijk van
de huidtemperatuur laat de glomus body meer of minder bloed door de arteriovenulaire
anastomose vloeien. Bij warmte veel bloed, bij koude weinig.
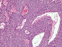
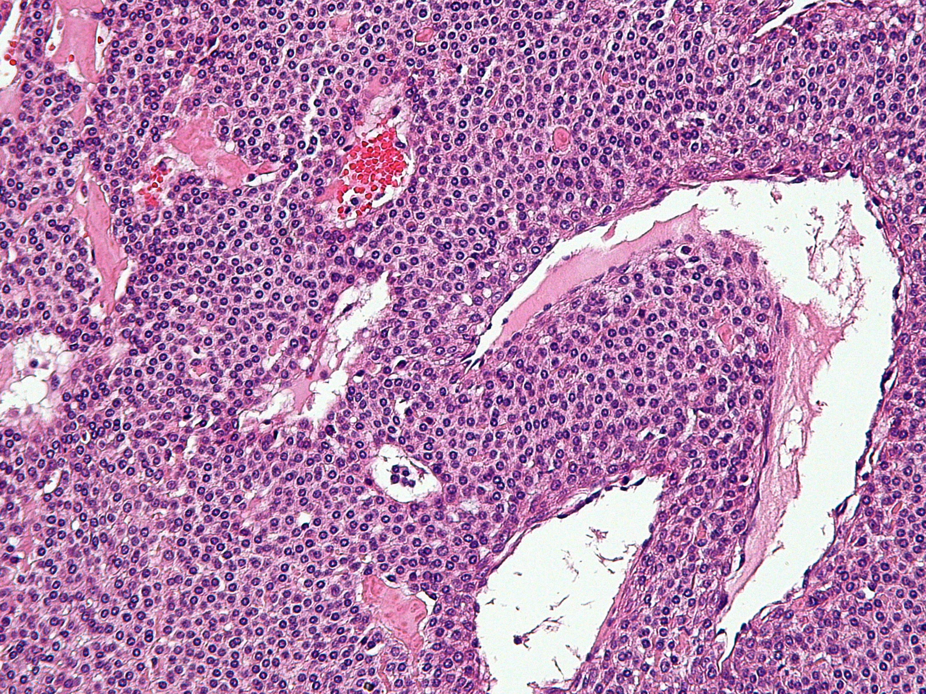
![Glomustumor (click on photo to enlarge) [source: Michael Bonert (Nephron) - Wikimedia - Creative Commons License 3.0] Glomustumor](../../../images/nail-disorders/glomustumor-5z.jpg) |
| glomus
tumor |
PA-Foto: Michael Bonert (Nephron) - Wikimedia (Creative Commons License
3.0).
Author(s):dr. Jan R. Mekkes. Dermatologist, Amsterdam UMC.