FACIAL AFRO-CARIBBEAN ERUPTION OF CHILDHOOD (FACE) home ICD10: L71.0

FACE (facial afro-carribean eruption of childhood), synoniemen: Gianotti-type perioral dermatitis, sarcoid-like granulomatous dermatitis, granulomateuze periorale dermatitis en granulomateuze periorificiale dermatitis wordt gekenmerkt door monomorfe, erythemateuze of geel-bruine papeltjes in het gebied rondom ogen, neus en mond. Het is vooral beschreven bij prepuberale kinderen met donkere huid. De afwijkingen kunnen zich bevinden tot aan het lippenrood. Waarschijnlijk gaat het om een granulomateuze variant van periorale dermatitis. De term FACE is ontstaan omdat granulomateuze periorale dermatitis voor het eerst werd beschreven bij 22 kinderen van Afro-Carribean afkomst. Het is niet zeker of FACE wel een aparte entiteit is. Oorzaak onbekend, er lijkt geen verband met gebruik corticosteroïden. Geen associatie met systemische afwijkingen. Geen voorkeur voor geslacht.

Facial Afro-Caribbean Eruption of Childhood Facial Afro-Caribbean Eruption of Childhood Facial Afro-Caribbean Eruption of Childhood
FACE FACE FACE (PA)


DD: periorale dermatitis, cutane sarcoidose, acne rosacea, benigne cefale histiocytose en lupus miliaris disseminatus facei.

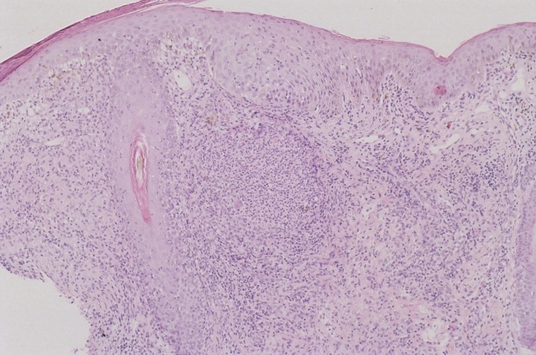
Diagnostiek:
Histologisch beeld van lesionale huid: hoog dermaal granulomateus infiltraat met omliggend veel lymfocyten. Infiltraat met name perifolliculair aanwezig. (2 of 3 mm biopt volstaat; cave keloid vorming en risico op postinflammatoire hyper-of hypopigmentatie).

Therapie:
Spontane resolutie, (meestal zonder littekens) binnen een paar maanden tot 3 jaar. Behandeling kan dit versnellen, maar is dus niet per definitie noodzakelijk.
R/ metronidazol crème 1%, 1-2 dd aanbrengen.
R/ orale tetracyclinen (b.v. minocycline 1 dd 50-100 mg).Tetracyclinen i.v.m. permanente verkleuringen aan gebitselementen niet voorschrijven aan kinderen jonger dan 9 jaar. In de leeftijdscategorie 9-12 kan het eventueel wel, als het echt nodig is en er geen andere opties zijn.


Referenties
1. Harper, Oranje, Prose. Textbook of pediatric dermatology. pp. 262-263.
2. Frieden IJ, Prose NS, Fletcher V, Turner ML. Granulomatous perioral dermatitis in children. Arch Dermatol 1989;125:369-373.
3. Anthony FC, Buckley DA, Russell-Jones R. Childhood granulomatous periorificial dermatitis in an asian girl - a variant of sarcoid? Clin Exp Dermatol 2002;27:275-276.
4. Urbatsch AJ, Frieden I, Williams ML, Elewski BJ, Mancini AJ, Paller AS. Extrafacial and generalized granulomatous periorificial dermatitis. Arch Dermatol 2002;138:1354-1358.


Author(s):
M.F.E. Leenarts. Dermatoloog, Rode Kruis Ziekenhuis, Beverwijk.

31-05-2023 (MFL) - www.skin-diseases.eu Terug naar homepagina



Diagnosis codes:
ICD10 L71.0 Dermatitis perioralis: facial Afro-Caribbean childhood eruption
ICD10 L71.0 Perioral dermatitis: facial Afro-Caribbean childhood eruption
SNOMED 239099001 Facial Afro-Caribbean childhood eruption
DBC 1 Acneïforme dermatosen