ECTHYMA CONTAGIOSUM (ORF) home ICD10: B08.0

Orf (ecthyma contagiosum), is een virale infectie veroorzaakt door het Orf-virus (een Parapox virus) dat op mensen kan worden overgedragen door direct contact met geïnfecteerde schapen, geiten, rendieren of kamelen. Na een incubatietijd van circa 5 dagen ontstaat op de contactplek (meestal handen of armen) een papel, pustel of vesikel, overgaand in een blaar van circa 1-3 cm (soms tot 5 cm), en na het sneuvelen van het blaardak ontstaat een rond ('uitgeponst') ulcus oftewel een ecthyma. Een ecthyma kan behalve door het orf-virus ook worden veroorzaakt door de bèta-hemolytische streptokok. Die kan een vergelijkbare blaar veroorzaken in het begin stadium (erysipelas bullosa) die klinisch niet van Orf is te onderscheiden. Bij patiënten met een gestoorde afweer kan ook Pseudomonas ecthyma veroorzaken (ecthyma gangrenosum).

Orf geneest meestal zonder complicaties binnen enkele weken. Na circa 6 weken is het geheel genezen. Er zijn geen goede cijfers over de frequentie. Onder houders van herkauwers en onder dierenartsen is het een goed bekende aandoening, maar huisartsen en specialisten herkennen het beeld soms niet. Vaak bezoeken de besmette personen (veehouders, schaapherders, dierenartsen, slagers, bezoekers kinderboerderij, vakantiegangers en inwoners uit Marokko en andere Noord-Afrikaanse landen) niet eens een arts, waardoor er een onderregistratie is.

Orf (ecthyma contagiosum) Orf (ecthyma contagiosum)
Orf (ecthyma contagiosum) Orf (ecthyma contagiosum)

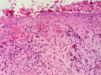
Orf (ecthyma contagiosum) ecthyma (uitgeponst ulcus t.g.v. streptococcen)
Orf (ecthyma contagiosum) ecthyma (streptokokken)


De ziekte orf is onder dierenartsen bekend als de lammerziekte ‘zere bekjes’. Het virus veroorzaakt een infectie van de bek en de uiers van schapen en geiten. Overdracht op mensen vindt plaats door direct contact met geïnfecteerde dieren, karkassen of besmette dierproducten, zoals wol en vlees. Risico bestaat bij het met de hand voeden van schapen en geiten, of flesvoeding geven aan lammetjes. De ziekte is met preventieve maatregelen (handschoenen, hygiënisch werken, vooral oppassen als er wondjes of krassen op de handen zijn) te voorkomen. Dieren kunnen er erg ziek van zijn en de infectie makkelijk overdragen, bij de mens blijft het beperkt tot een laesie op de contactplek. Meestal is dat de hand of de arm, maar ook het oog kan geïnfecteerd raken in zeldzame gevallen, hetgeen schade aan de cornea kan achterlaten. Orf aan de penis is ook beschreven (met diverse theorieën over de besmettingswijze die hier verder maar niet besproken worden). Orf is een typische plattelandsziekte, maar wordt nu ook in toenemende mate in de grote steden gezien, binnen de Moslim gemeenschappen. Recidieven na een infectie komen niet vaak voor, als het recidiveert zijn het mildere afwijkingen; er is dus geen blijvende immuniteit na een doorgemaakte infectie. Patiënten met een afweerstoornis zijn bevattelijker voor infecties en het beloop kan erger zijn. Orf kan secundaire huidreacties uitlokken, zoals erythema exsudativum multiforme, toxische erytheem (gegeneraliseerd rash als reactie op het virus), bulleus pemphigoid en andere bulleuze reacties, en er is ook een verspreide papulovesiculeuze variant beschreven. Zeer grote laesies (giant orf) komen voor bij immuun-gecompromitteerden (o.a. bij gebruik biologicals). Er kunnen exofytische tumoren ontstaan met een doorsnede van 10 cm.

Erythema exsudativum multiforme (EEM), ontstaan na en uitgelokt door orf (ecthyma contagiosum) Erythema exsudativum multiforme (EEM), ontstaan na en uitgelokt door orf (ecthyma contagiosum) Erythema exsudativum multiforme (EEM), ontstaan na en uitgelokt door orf (ecthyma contagiosum)
orf gevolgd door EEM litteken primaire orf laesie orf gevolgd door EEM

Klinisch beeld:
Orf is meestal een solitaire afwijking aan de vingers, handen of onderarmen. De aandoening is niet overdraagbaar van mens op mens. Orf verloopt bij de mens in 6 klinische stadia. Elk stadium duurt ongeveer 1 week:
1. incubatieperiode (5-6 dagen)
2. kleine roodblauwe papel
3. vesikel, al dan niet met een centrale delle
4. hemorragische vesikel
5. crusta (korst)
6. ulceratie
De infectie veroorzaakt op zijn hoogtepunt pijn, jeuk, lymfangitis, regionale lymfklierzwelling, koorts en malaise. Na 3-4 dagen is dat weer over.

DD: ecthyma (streptokokken infectie), ecthyma gangrenosum (pseudomonas infectie), milkers nodule, granuloma pyogenicum, koepokken, tularemie, cutane anthrax, herpes simplex panaritium, neutrophilic dermatosis of the hand, pyoderma gangrenosum.

Diagnostiek:
De diagnose wordt gesteld op het klinisch beeld en de anamnese (behoort iemand tot het risicoprofiel, is er contact geweest met schapen of geiten). Door middel van een biopt kan de diagnose eventueel bevestigd worden. Maar een biopt kan ook de schade door de infectie vergroten, en de uitslag is niet meteen bekend, dus varen op het klinisch beeld is ook een goede keuze. Zonodig kweek afnemen op streptokokken en eventueel een virale kweek als herpes panaritium in de DD staat (multipele vesikels of bullae). Het virus kan worden aangetoond met elektronenmicroscopie, serologie, weefselkweken (onbetrouwbaar) en met een PCR; deze methoden zijn echter niet routinematig beschikbaar, en hebben geen meerwaarde in de praktijk omdat de uitslag pas komt als de aandoening allang weer genezen is. Indien inflammatoire dermatosen zoals neutrophilic dermatosis of the hand, en pyoderma gangrenosum serieus overwogen worden ontkomt men niet aan een biopt.

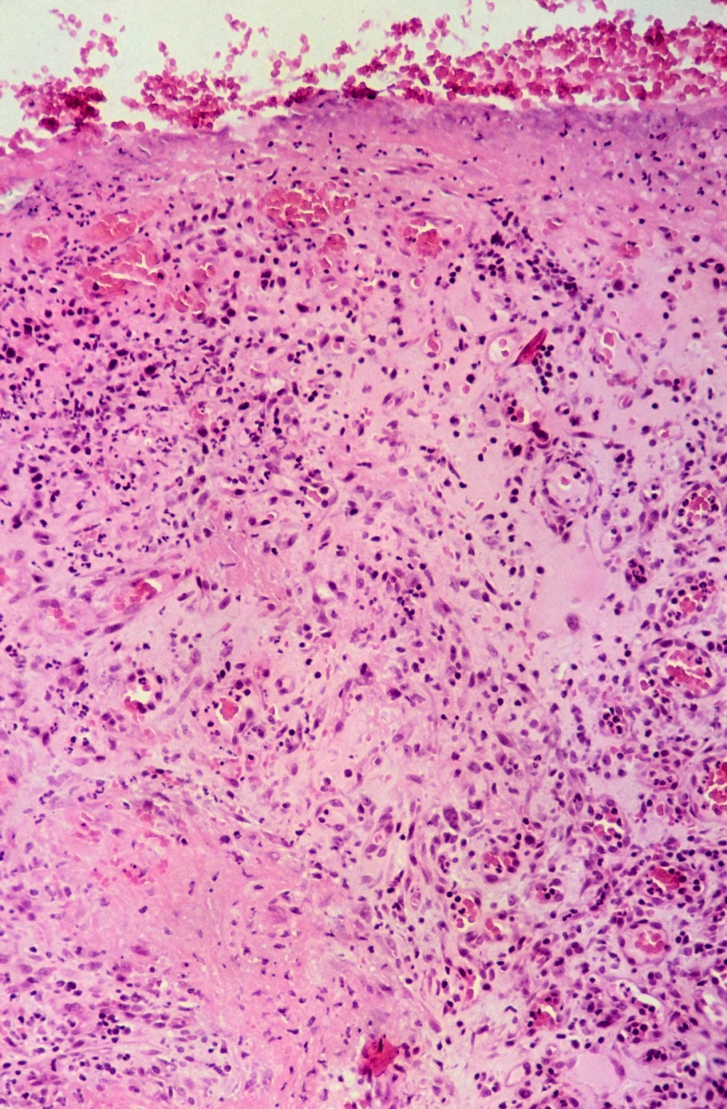
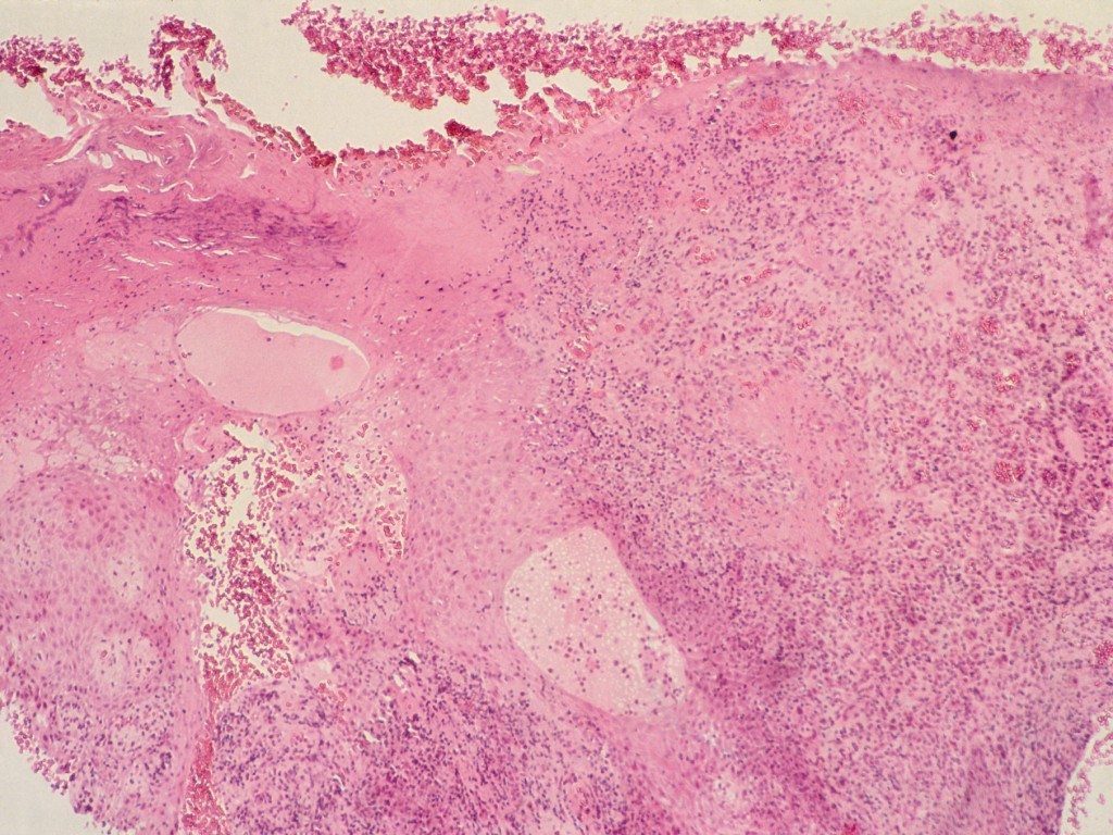
Histologie:
Pseudo-epitheliomateuze hyperplasie, tekenen van virale infectie zoals perinucleaire eosinofiele virusinsluitsels, vacuolaire veranderingen van het epitheel en
pycnotische kernen van keratinocyten. Lymfohistiocytair ontstekingsinfiltraat met plasmacellen.

Histologie van orf (ecthyma contagiosum) Histologie van orf (ecthyma contagiosum) Histologie van orf (ecthyma contagiosum)
histologie van orf histologie van orf histologie van orf


Therapie:
Een virale infectie is niet goed te behandelen, daarom is het beleid expectatief.

NB: over de behandeling is controverse: in de Amerikaanse literatuur wordt chirurgisch ingrijpen genoemd zoals wondtoilet, shave-excisie van de laesie, curettage en electrocoagulatie, cryotherapie. Nederlandse dierenartsen adviseren juist om niet te gaan snijden aan de blaar of wond en ook geen cryotherapie toe te passen omdat dit littekens achterlaat.
Bij immuungecompromitteerden is met succes lokaal cidofovir toegepast. Ook effect van Aldara (imiquimod) bij orf is beschreven. Lokale behandelingen met vochtige gazen en/of antiseptica (bijvoorbeeld Prontosan oplossing of gel) kunnen preventief worden toegepast. Dierenartsen, die de meeste ervaring er mee hebben, adviseren juist om er niets op te doen, in ieder geval geen zalven of afsluitende verbanden. En geen lokale steroïden. Een mogelijk truc (expert opinion dierenarts, geen evidence) is het dagelijks druppelen van ether op de ecthyma. Dit droogt de wond snel in (brandt wel).

Uit de tegenstrijdige adviezen is dit een veilige keuze:
Wond luchtig afdekken met steriele gazen ter voorkoming secundaire besmetting.
Verder niets er aan doen, spontane genezing afwachten.
Als de diagnose orf niet duidelijk gesteld kan worden op klinisch beeld en anamnese is het verstandig om een antibiotiucm te starten gericht op streptokokken en stafylococcen (flucloxacilline, amoxicilline/clavulaanzuur). Dit behandelt een eventueel bacterieel ecthyma en secundaire bacteriële infectie mee.
Bij ontstaan van een vies ulcus eventueel starten met gazen gedrenkt in NaCl of Prontosan oplossing 2-3 dd (of een andere antiseptische oplossing zoals chloorhexidine oplossing).
Bij zeer grote hypertrofische laesies (giant orf) is oppervlakkige verwijdering (shave-excisie, curettage) vaak toch nodig.


Ecthyma bij schaap en geit vanuit het perspectief van de dierenarts:
(Auteurs: D.P. Dercksen en P. Vellema, Specialisten kleine herkauwers gezondheid, Gezondheidsdienst voor Dieren, Postbus 9, 7400 AA Deventer)

Ecthyma is een besmettelijke aandoening van huid en slijmvliezen van schaap en geit en komt wereldwijd voor op plaatsen waar schapen en geiten worden gehouden. De aandoening wordt veroorzaakt door een virus dat behoort tot het genus Parapoxvirus. Hoewel in principe dieren van elke leeftijd kunnen worden aangetast, doen de grootste problemen zich voor bij lammeren. De meeste klinische infecties worden gezien in de lammerperiode, die bij schapen en geiten over het algemeen tussen december en april plaatsvindt. Ecthyma als klinisch beeld kan eveneens voorkomen bij mensen en bij een aantal andere diersoorten (o.a. herten), waarbij niet volledig duidelijk is of het hier om hetzelfde virus of om verwante virussen gaat.

Enkele andere namen die voor deze afwijking wel gebruikt worden zijn zere bekjes, bekschurft, orf, ecthyma contagiosum, infectieuze pustuleuze dermatitis, 'scabby mouth' en 'Lippen- und Fussgrind'. Het ecthymavirus is zeer resistent. Bij lage temperatuur blijven droge korsten jarenlang infectieus. Bij hogere temperatuur en luchtvochtigheid gaat de besmettelijkheid snel verloren. Dieren besmetten elkaar door direct contact of indirect door contact met virusbevattend materiaal. Meestal verspreidt de infectie zich snel door het koppel. Een uitbraak duurt in de regel 6 tot 8 weken. Herinfectie van een koppel kan plaatsvinden na contact met virusbevattend korstmateriaal. Waarschijnlijk spelen bij een nieuwe uitbraak virusdragers een belangrijkere rol dan het achtergebleven virusbevattend korstmateriaal. Er is een vaccin beschikbaar tegen orf, maar dit biedt geen volledige bescherming en de dieren zouden dan elke 6-8 maanden moeten worden ingeënt.

Klinische verschijnselen bij dieren
Het ecthymavirus vermenigvuldigt zich in de actief delende cellen van huid en slijmvlies wanneer, na het optreden van een beschadiging, wondherstel optreedt. Na infectie ontstaan insluitlichaampjes in de geïnfecteerde cellen. Wanneer virusbevattend materiaal in huidscarificaties (krasjes in de huid) wordt gesmeerd, ontstaat na enkele dagen een rode zwelling. Na 5 à 6 dagen vormen zich blaasjes en pustels die openbarsten. Het door de ontstane zweertjes geproduceerde wondvocht droogt in tot korsten. Deze korsten zitten vrij vast aan de onderlaag en wanneer ze worden verwijderd blijft een verheven, rood, vochtig woekerend oppervlak achter dat gemakkelijk bloedt. Het geheel doet wratachtig aan. Bijkomende bacteriële infecties kunnen het beeld verergeren. Bij een infectie van het mondslijmvlies worden geen korsten gevormd, maar verhevenheden die omgeven zijn door een bloedrijke zone. Later kan op deze plaatsen weefselversterf optreden.

Bij een niet-gecompliceerde aantasting van de huid treedt binnen 4 weken restloze genezing op. Na een bijkomende bacteriële infectie duurt het herstel veel langer. Na het doormaken van een infectie wordt een gemakkelijk te doorbreken weerstand opgebouwd. Sommige dieren worden virusdrager. De ecthymalaesies komen bij schapen meestal voor op de onbewolde huid. De huid rondom de mondopening, maar ook het slijmvlies van lippen en tandvlees is vaak aangedaan. In principe kunnen de laesies overal ontstaan waar wondjes kunnen voorkomen. Soms wordt gesproken van verschillende vormen van ecthyma: de lippenvorm (labiale vorm), de geslachtsvorm (genitale vorm) en de klauw- of voetvorm (pedale vorm). De laatste jaren worden nogal eens gevallen van ecthyma gezien waarbij uitwendig geen of bijna geen verschijnselen worden waargenomen. In de mondholte, maar tevens in de slokdarm en op het pensslijmvlies kunnen dan laesies worden aangetroffen. De dieren kunnen soms enkele dagen tot meer dan een week bijna geen voedsel opnemen. Bij oudere dieren levert dat in de regel geen echt grote problemen op, maar bij lammeren wordt bij die vorm nogal eens sterfte gezien. Dieren met deze vorm van ecthyma hebben soms een dikke kop, veroorzaakt door de stuwing die het gevolg is van de ontsteking in het keelgebied. Bij het openen van de bek kunnen in zulke gevallen zweertjes, bloed, slijm en voedselresten worden gezien. Door het ontstaan van ecthyma aan uier en tepel wordt de kans op het optreden van mastitis bij zogende ooien of geiten vergroot. Over het algemeen zijn de klinische verschijnselen zo duidelijk dat er geen verder onderzoek nodig is om de diagnose te stellen. In geval van twijfel kan door middel van elektronenmicroscopisch onderzoek parapoxvirus worden aangetoond. Vroeger werd in geval van twijfel nog wel eens een huidscarificatie gemaakt bij een lam zonder verschijnselen. Wanneer na insmeren met korstmateriaal van een schaap verdacht van ecthyma na een aantal dagen een typische ecthyma laesie ontstond, was daarmee de diagnose gesteld.

Vergelijkbare ziektebeelden bij dieren
Bij de inwendige vorm van ecthyma wordt soms in een vroeg stadium gedacht aan mond- en klauwzeer. Wanneer alleen afwijkingen in de tussenklauwspleet aanwezig zijn, wordt soms ten onrechte de diagnose rotkreupel (een infectie waarbij Dichelobacter nodosus en Fusobacterium necroforum een rol spelen) gesteld. De met woekeringen gepaard gaande aandoeningen aan de ondervoet worden wel eens omschreven als 'strawberry footrot'. Uit dergelijke afwijkingen wordt behalve het ecthymavirus meestal ook de bacterie Dermatophilus congolensis geïsoleerd. Andere afwijkingen die op ecthyma lijken zijn ulceratieve dermatosis (ook een virusinfectie), schapenpokken en een door Staphylococcus aureus veroorzaakte huidontsteking ('facial dermatitis').


Referenties
1. Schimmer B, Sprenger HG, Wismans PJ, van genderen PJJ. Drie patiënten met orf (ecthyma contagiosum). Ned Tijdschr Geneeskd 2004;148(16):788-791.
2. Peterkin GAG. The occurrence in humans of contagious pustular dermatitis of sheep (‘orf’). Br J Dermatol 1937;49:492-497.
3. Groves RW, Wilson-Jones E, MacDonald DM. Human orf and milkers’ nodule: a clinicopathologic study. J Am Acad Dermatol 1991;25:706-711.
4. Torfason EG, Gunadottir S. Polymerase chain reaction for laboratory diagnosis of orf virus infections. J Clin Virol 2002;24:79-84.
5. Gourreau JM, Mornet M, Gressin R, Fraisse JC, Gourvil J, Lesouple C. Orf: recontamination 8 months after the original infection. Review of the literature apropos of a case. Ann Dermatol Venereol 1986;113:1065-1076.
6. Ghislain PD, Dinet Y, Delescluse J. Orf in urban surroundings and religious practices: a study over a 3-year period. Ann Dermatol Venereol 2001;128:889-892.
7. Ferrando MF, Leaute-Labreze C, Fleury H, Taieb A. Orf and erythema multiforme in a child. Pediatr Dermatol 1997;14:154-155.
8. Geerinck K, Lukito G, Snoeck R, Vos R de, Clercq E de, Vanrenterghem Y, et al. A case of human orf in an immunocompromised patient treated successfully with cidofovir cream. J Med Virol 2001;64:543-539.
9. Erbagci Z, Erbagci I, Almila Tuncel A. Rapid improvement of human orf (ecthyma contagiosum) with topical imiquimod cream: report of four complicated cases. J Dermatolog Treat. 2005;16(5-6):353-356.
10. Rørdam OM, Grimstad Ø, Spigset O, Ryggen K. Giant orf with prolonged recovery in a patient with psoriatic arthritis treated with etanercept. Acta Derm Venereol 2013;934):487-488.


Author(s):
dr. Jan R. Mekkes. Dermatologist, Amsterdam UMC.

04-08-2024 (JRM) - www.skin-diseases.eu Terug naar homepagina



Diagnosis codes:
ICD10 B08.0 Overige orthopoxvirusinfecties: orf (ecthyma contagiosum)
ICD10 B08.0 Other orthopoxvirus infections: orf (ecthyma contagiosum)
ICD11 1E75 Orf
SNOMED 74050005 Orf virus disease
DBC 4 Dermatosen door micro-organismen