Eruptieve acrale naevi zijn kleine gepigmenteerde
macula die in korte tijd kunnen ontstaan aan de acra, met name op de handpalmen.
Het verschijnsel doet zich voor bij patiënten die immunosuppressiva gebruiken,
bijvoorbeeld vanwege een donornier of ander donor orgaan. Ondanks de plotselinge
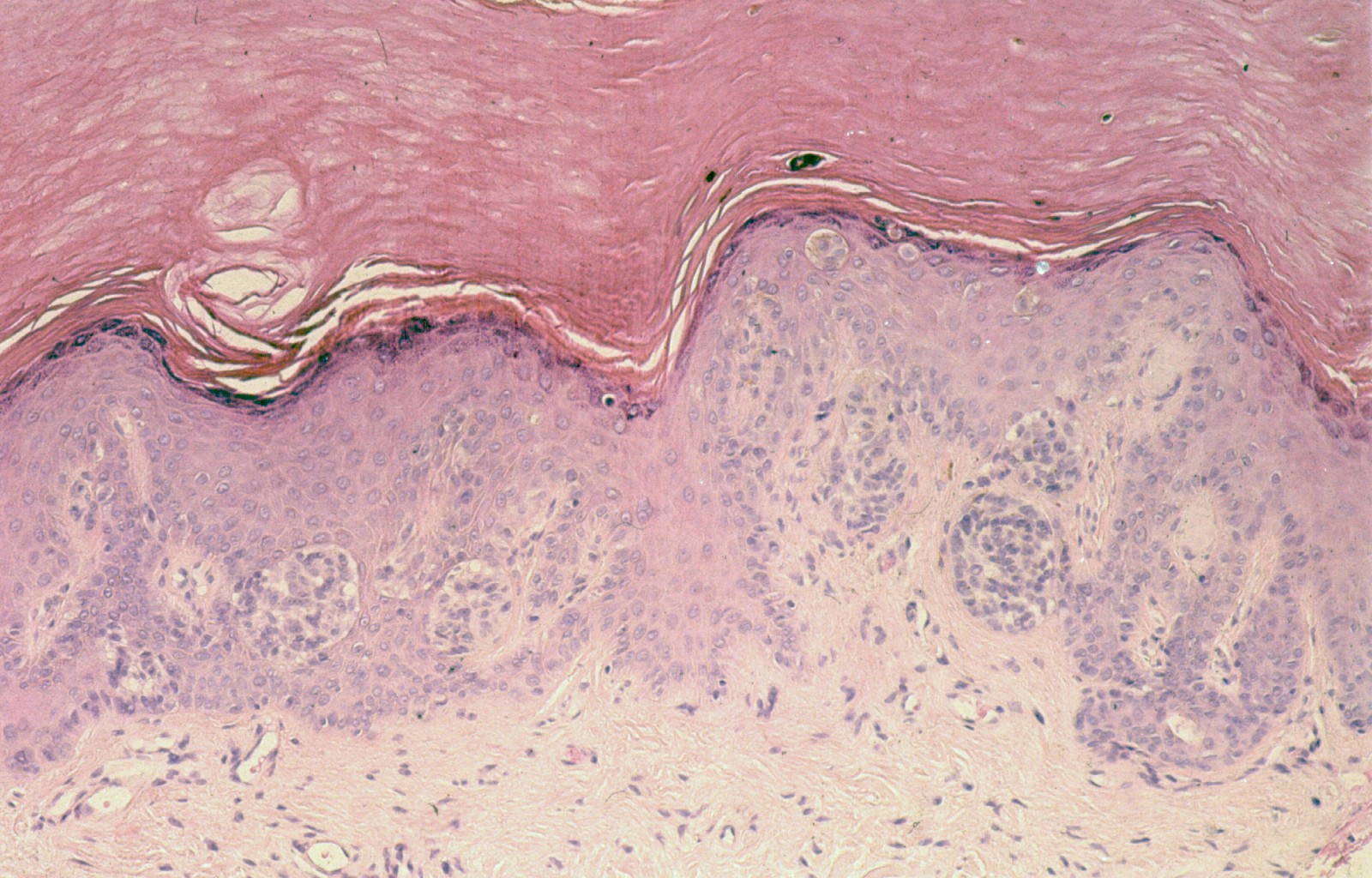
eruptie zijn het benigne naevi. Een biopt wordt aangeraden. De histologie is
moeilijk te beoordelen. Met de anamnese erbij is het voor de patholoog makkelijker
om eventuele dysplastische kenmerken te interpreteren.
![Eruptieve acrale naevi bij ciclosporine en prednison voor donornier (click on photo to enlarge) [source: www.huidziekten.nl] Eruptieve acrale naevi bij ciclosporine en prednison voor donornier](../../../images/eruptieve-acrale-naevi-1z.jpg) |
![Eruptieve acrale naevi bij ciclosporine en prednison voor donornier (click on photo to enlarge) [source: www.huidziekten.nl] Eruptieve acrale naevi bij ciclosporine en prednison voor donornier](../../../images/eruptieve-acrale-naevi-PA-1z.jpg) |
| eruptieve
acrale naevi |
eruptieve
acrale naevi (PA) |
Plotseling ontstane multipele naevi worden geassocieerd met:
-
blaarziekten (EEM, SJS, TEN, EB, blaren door mosterdgas)
(Naevi ontstaan weken tot maanden na reepithelialisatie)
-
immuunsuppressie
(niertransplantatie, HIV, maligniteiten)
-
ziekte van Addison
-
PUVA therapieEr is een verband tussen het
ontstaan van de naevi en aantal cycli prednison, gebruik azathioprine, tacrolimus,
5-FU, Alefacept, Etanercept, Infliximab. Dit verband is niet door direct effect
op de melanocyten, maar door onderdrukking immuunsysteem. Naevi voor en na start
antiretrovirale therapiebij HIV zijn beschreven. Interne maligniteiten: voor
en na start chemotherapie kunnen ze ontstaan.
Het is niet duidelijk waarom
bij bepaalde patiënten de naevi op de acra ontstaan. Normaal gesproken zitten
er zeer weinig naevi op handpalmen en voetzolen (eerder onderzoek: bij respectievelijk
7.9 % en 9.4 %).
Mogelijke verklaringen:- blaarziekten:
dysregulatie locale groeifactoren na epidermis schade
- overig: wellicht
door systemische verhoging MSH. De handpalmen en voetzolen reageren hier wellicht
anders op dan de rest van de huid (er zijn daar geen haarfollikels (fysiologische
suppressor werking MSH). Wellicht dat immuunsuppressie ook andere MSH suppressors
onderdrukt, waardoor naevi ontstaan.
De relatie tussen immuunsysteem
en melanocyt proliferatie is complex. Mensen met een immuunsuppressie (wel of
niet veroorzaakt door medicatie) kunnen eruptieve naevi ontwikkelen. Het immuunsysteem
is blijkbaar van groot belang om de melanocyten proliferatie onder controle
te houden. Gek genoeg hebben transplantatie patiënten geen verhoogde kans op
het ontwikkelen van een melanoom.
Risico's melanoom?
het is onbekend of mensen met
acrale naevi een verhoogd risico hebben op het
ontwikkelen van
melanomen. In het algemeen geldt wel dat als het aantal naevi
toeneemt, meer dysplastische naevi ontstaan. Bij immuunsuppressie is er sowieso
een groter risico op het ontwikkelen van een melanoom.
Therapie:
In het verleden werden er bij patiënten met acrale naevi profylactische excisies
verricht; nu is het advies ze goed te vervolgen en bij twijfel te biopteren.
Referenties
| 1. |
Eruptive nevi of the palms and soles. JAAD
2005;52:S96-S100. |
| 2. |
Eruptive melanozytaere Naevi
palmoplantar bei einer Patientin mit M. Crohn. JDDG 2006;4:486-488. |
| 3. |
Immunosuppression and melanocyte proliferation.
Melanoma Research 2009;19:63-68. |
| 4. |
Induction of eruptive benign melanocytic
naevi by immune suppressive agents, including biologicals. Br J
Dermatol 2006;154:880-884. |
Author(s):dr. Jan R. Mekkes. Dermatologist, Amsterdam UMC.