Faciale haemangiomen
kunnen geassocieerd
zijn met het
Dandy-Walker malformatie syndroom (agenese of hypoplasie van de
vermis van het cerebellum, cystische dilatatie van de vierde ventrikel en
toename van de fossa posterior) of met een soortgelijke fossa posterior
malformatie. Hydrocephalus is niet altijd aanwezig. Er is vooralsnog geen
verklaring voor deze associatie. Volgens een hypothese ontstaan tussen de
8ste en 10e zwangerschapsweek afwijkingen, welke uiteindelijk leiden tot
CZS-malformaties en ontwikkeling van haemangiomen. Het is belangrijk om dit
neurocutaan syndroom te herkennen en te onderscheiden van het hierop
lijkende
Sturge-Weber syndroom en om nader brain-imaging onderzoek te
verrichten, m.n. bij grote faciale haemagiomen en bij abnormale
ophtalmologische bevindingen.
DD:
hemangioom nno,
Sturge Weber
syndroom.
Diagnostiek: MRI hersenen.
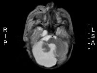
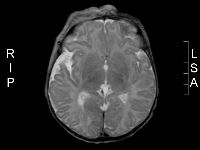
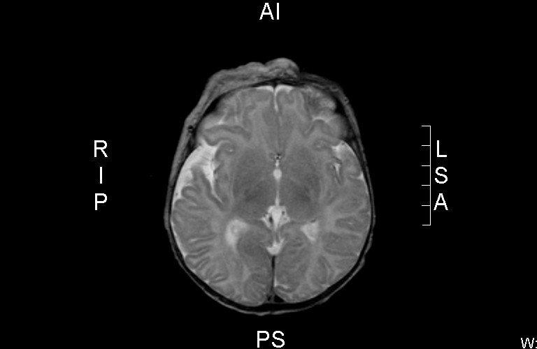
![Dandy-Walker malformatie (click on photo to enlarge) [source: www.huidziekten.nl] Dandy-Walker malformatie](../../../images/Dandy-Walker-malformatie-1z.jpg) |
![Dandy-Walker malformatie (click on photo to enlarge) [source: www.huidziekten.nl] Dandy-Walker malformatie](../../../images/Dandy-Walker-malformatie-2z.jpg) |
![Dandy-Walker malformatie (click on photo to enlarge) [source: www.huidziekten.nl] Dandy-Walker malformatie](../../../images/Dandy-Walker-malformatie-3z.jpg) |
|
Dandy-Walker malformatie |
Dandy-Walker malformatie |
Dandy-Walker malformatie |
MRI:
Beeld van hemangioom
in de cutis rechts parietaal en frontaal, doorlopend in de rechter orbita.
Hypoplasie van de vermis en de rechter cerebellum hemisfeer met wat wijde
achterste schedelgroeve, gevuld met liquor - beeld passend bij een
Dandy-Walker malformatie.
HaemangiomenHaemangiomen zijn de meest voorkomende goedaardige
tumoren bij kleine kinderen. Ze kunnen al bij de geboorte aanwezig zijn maar
ze ontstaan meestal in de eerste weken daarna. Haemangiomen ondergaan een
periode van actieve proliferatieve groei, een periode van stabilisatie
gevolgd door spontane regressie (involutie). Deze begint meestal in de
tweede helft van het eerste levensjaar maar het exacte verloop voor elke
afzonderlijke laesie is niet te voorspellen. De pathogenese is onbekend.
Haemangiomen worden vaker gezien bij preterm geboren baby's en bij baby's
van wie de moeders tijdens hun zwangerschap een chorio-amniocentese hebben
ondergaan. De meisjes zijn vaker aangedaan dan jongetjes (5:1 tot 2:1). In
15-30% van kinderen komen er multipele laesies voor. De predilectie plaatsen
zijn hoofd en hals. De diagnose wordt meestal op basis van het klinisch
beeld gesteld, maar soms is een echo nodig of een MRI onderzoek om het type,
de uitbreiding en de diepte van de laesie vast te stellen. De meest
voorkomende complicatie is de ulceratie (in 5-10% van de gevallen) welke
meestal ontstaat in de fase van snelle proliferatie. Overige complicaties
zijn secundaire infectie van ulceraties, bloeding, decompensatio cordis (bij
grote of multipele haemangiomen), visusstoornissen, ademhalingsproblemen,
voedingsintake problemen en verminking. De lokalisatie van het haemangioom
is bepalend voor de ernst ervan.
Multipele haemangiomen (diffuse
haemangiomatosis) en de grote faciale haemangiomen kunnen geassocieerd zijn
met viscerale haemangiomen. Zelden zijn de haemangiomen geassocieerd met
andere structurele anomalieën (b.v. lumbosacrale haemangiomen met
afwijkingen aan het ruggenmerg en aan de ano- en urogenitale tractus of het
PHACE syndroom: posterior fossa malformaties, haemangiomen, arteriële
anomalieën, coarctatio aortae en cardiale defecten, 'eye' afwijkingen. Zie
ook onder
hemangiomen.
Referenties
| 1. |
Reese V,
Frieden IJ, Paller AS, Esterly NB, Ferriero D, Levy ML, Lucky AW, Gellis SE,
Siegfried EC. Association of facial hemangiomas with Dandy-Walker and other
posterior fossa malformations. J Pediatr 1993;122(3):379-384. |
| 2. |
Poetke
M, Bultmann O, Berlien HP. Association of large facial hemangiomas with
Dandy-Walker syndrome. Case study concerning three infants. Eur J Pediatr
Surg 2000;10(2):125-129. |
Author(s):Biljana Zupan-Kajcovski. Dermatoloog,
Huid- en Melanoom Centrum Antoni van Leeuwenhoek, Amsterdam.
dr. Jan R. Mekkes. Dermatologist, Amsterdam UMC.