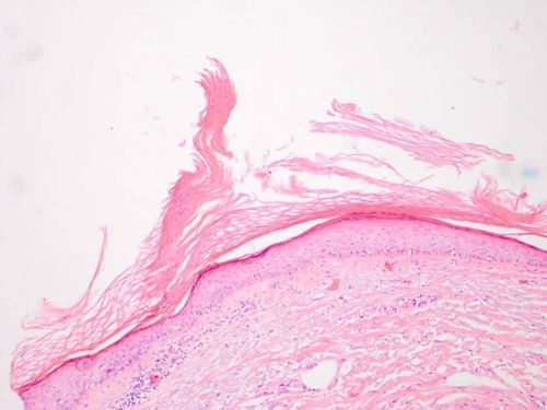
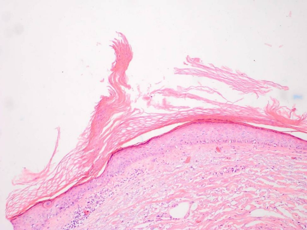
Beschrijving:Een smalle verticale of schuin uitwaaierende
kolom van parakeratose gelegen boven een defect in het stratum granulosum of
stratum spinosum. Pathogmonisch voor
porokeratose.
 |
| cornoid lamella |
Meer informatie:Een cornoid lamella is klassiek
bij:
- porokeratosis van Mibelli
- porokeratosis linearis
- porokeratosis
palmaris et plantaris
- porokeratosis disseminatus superficialis
- porokeratosis
actinica (disseminata) superficialis
Ook kan het worden gezien bij:
- actinische keratose
- basaalcelcarcinoom
- verruca seborroica
- plaveiselcelcarcinoom
- verruca vulgaris
Author(s):dr. Mandy E. Schram.
Arts-assistent Dermatologie, AMC, Amsterdam.