Tinea barbae (synoniemen:
dermatomycosis
barbae,
sycosis trichophytica barbae)
is een
schimmelinfectie van de baardstreek. De belangrijkste
verwekkers van tinea barbae zijn de Trichophyton soorten (vaak
T. verrucosum,
T. mentagrofytes,
T. rubrum T. violaceum,
T.
megninni,
M. canis). Tinea barbae komt niet vaak voor. Warme en
vochtige omstandigheden verhogen de besmettingskans. Vroeger kon het ook worden
overgebracht via niet goed gereinigde scheermessen bij de kapper (barber's itch
genoemd). Tegenwoordig ziet men het vooral bij veehouders (zoöfiele dermatophyten
zoals
T. mentagrophytes,
T. equinum,
Microsporum canis,
M. gallinae,
M. gypseum,
M. equinum,
M. nanum,
M. persicolor, en dermatophyten die bij mens en dier kunnen voorkomen
zoals
T. verrucosum en
T. simii). Antropofiele dermatophyten
zoals
T. verrucosum en
T. violaceum veroorzaken over het algemeen
een meer oppervlakkige en mildere ontsteking dan de zoöphiele dermatophyten.
Tinea barbae kan ook voorkomen in het kader van afweerstoornissen zoals HIV,
severe combined immunodeficiency (SCID), beenmergdepressie, immunosuppressiva,
etc. Vrouwen en kinderen hebben uiteraard geen tinea barbae maar kunnen wel
een
mycose in het gelaat oplopen (tinea faciei).
Klinisch beeld:Ronde, rode, schilferende plekken met
losse haarstompjes en pustels, soms confluerend tot abcederende infiltraten.
Afgebroken haren en kale plekken (soms blijvend).
![Dermatomycosis barbae, tinea barbae (click on photo to enlarge) [source: www.huidziekten.nl] Dermatomycosis barbae, tinea barbae](../../../images/dermatomycosis-barbae-1z.jpg) |
![Dermatomycosis barbae, tinea barbae (click on photo to enlarge) [source: www.huidziekten.nl] Dermatomycosis barbae, tinea barbae](../../../images/dermatomycosis-barbae-2z.jpg) |
| dermatomycosis
barbae |
dermatomycosis
barbae |
![Dermatomycosis barbae, tinea barbae (click on photo to enlarge) [source: www.huidziekten.nl] Dermatomycosis barbae, tinea barbae](../../../images/dermatomycosis-barbae-3z.jpg) |
![Dermatomycosis barbae, tinea barbae (click on photo to enlarge) [source: www.huidziekten.nl] Dermatomycosis barbae, tinea barbae](../../../images/dermatomycosis-barbae-4z.jpg) |
| dermatomycosis
barbae |
dermatomycosis
barbae |
DD: folliculitis barbae (
sycosis
barbae), pseudofolliculitis barbae (pustels en follikelgebonden papels,
ten gevolge van ingegroeide baardharen, vooral bij mensen met een sterk kroezend
haartype), acne vulgaris, follliculitis nno, rosacea, candidiasis. Sycosis barbae
is een oude naam voor een folliculitis van de baardstreek, overgebracht door
vuil scheergerei, en met als belangrijkste oorzaak
S. aureus.
Diagnostiek:De diagnose kan worden gesteld op een
KOH preparaat van uitgetrokken haren.
Bij voorkeur ook haren en de inhoud van een pustel kweken op schimmels zodat
kan worden vastgesteld welke het is (en de therapie daar op kan worden afgestemd).
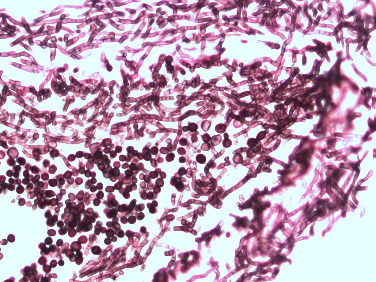
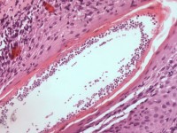
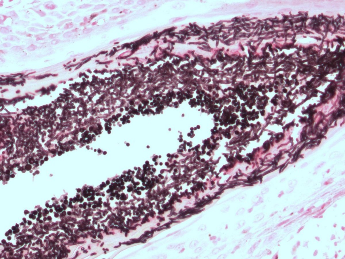
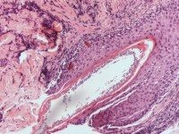
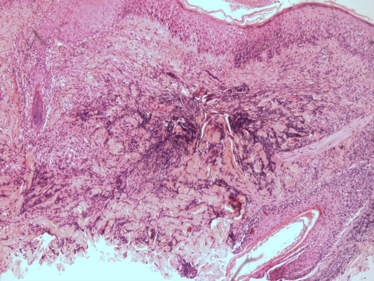
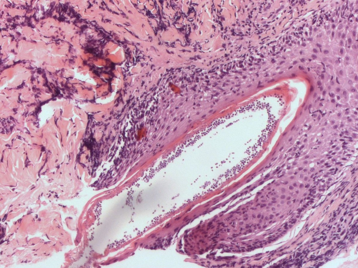
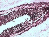
Ook een biopt kan de diagnose aantonen, hierbij zijn schimmeldraden en/of gistbolletjes
te zien in de haarfollikel (PAS kleuring). Bij oppervlakkige mycosen met randschilfering
kan ook een KOH-preparaat van huidschilfers worden gemaakt. Met
Woods lamp onderzoek is soms een groengele
kleur te zien passend bij
ectotrix
groeiende soorten zoals
Trichophyton schoenleinii,
Microsporon
audouinii,
Microsporum canis.
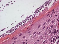
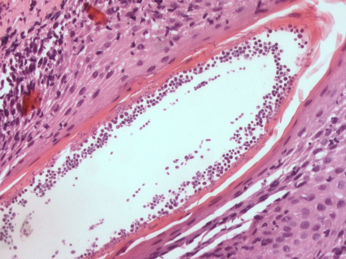
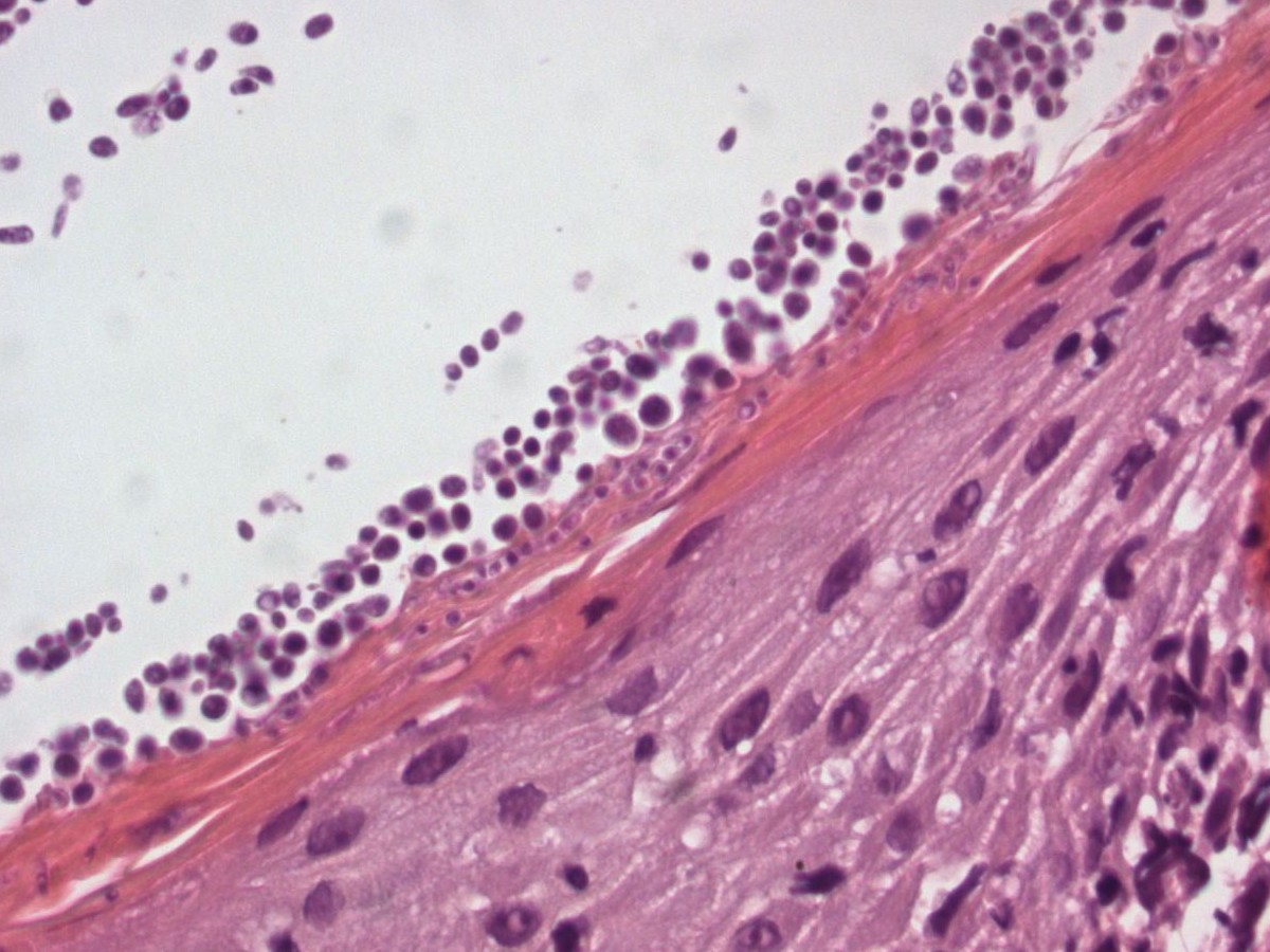
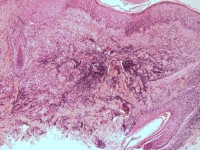
![Histologie van dermatomycosis barbae, tinea barbae (click on photo to enlarge) [source: www.huidziekten.nl] Histologie van dermatomycosis barbae, tinea barbae](../../../images/dermatomycosis-barbae-PA-1z.jpg) |
![Histologie van dermatomycosis barbae, tinea barbae (click on photo to enlarge) [source: www.huidziekten.nl] Histologie van dermatomycosis barbae, tinea barbae](../../../images/dermatomycosis-barbae-PA-2z.jpg) |
![Histologie van dermatomycosis barbae, tinea barbae (click on photo to enlarge) [source: www.huidziekten.nl] Histologie van dermatomycosis barbae, tinea barbae](../../../images/dermatomycosis-barbae-PA-3z.jpg) |
| mycose
baardstreek (PA) |
mycose
baardstreek (PA) |
mycose
baardstreek (PA) |
![Histologie van dermatomycosis barbae, tinea barbae (click on photo to enlarge) [source: www.huidziekten.nl] Histologie van dermatomycosis barbae, tinea barbae](../../../images/dermatomycosis-barbae-PA-4z.jpg) |
![Histologie van dermatomycosis barbae, tinea barbae (click on photo to enlarge) [source: www.huidziekten.nl] Histologie van dermatomycosis barbae, tinea barbae](../../../images/dermatomycosis-barbae-PA-5z.jpg) |
![Histologie van dermatomycosis barbae, tinea barbae (click on photo to enlarge) [source: www.huidziekten.nl] Histologie van dermatomycosis barbae, tinea barbae](../../../images/dermatomycosis-barbae-PA-6z.jpg) |
| mycose
baardstreek (PA) |
PAS kleuring |
PAS kleuring |
Therapie:De therapie moet systemisch zijn en langdurig,
net als bij
tinea capitis.
R/ itraconazol
1 dd 100-200 mg gedurende 4-8 weken. De hoge dosering (1 dd 200 mg) heeft de
voorkeur. Een alternatief is 2 dd 200 mg gedurende 1 week, dan 3 weken pauze,
dan nog een week 2 dd 200 mg (puls schema).
R/ terbinafine 1 dd 250 mg gedurende
4-8 weken. Niet danwel beduidend minder effectief tegen M. canis en andere Microsporum
soorten. Bij groene fluorescentie dus niet kiezen voor terbinafine. In dubbele
dosering is de effectiviteit t.o.v. Microsporum iets beter, maar de andere alternatieven
(itraconazol, fluconazol, grisefulvine) hebben dan toch de voorkeur.
R/ fluconazol
caps à 50, 150 of 200 mg; suspensie 10 of 40 mg/ml, 35 ml. Dosering: 1 dd 150
mg gedurende 4-8 weken.
R/ griseofulvine 500 mg dd (zonodig 1 g) in 1-4 doses,
gedurende 6-8 weken, zonodig langer. Recente studies tonen aan dat voor de meeste
Trichophyton soorten ook evengoed terbinafine, itraconazol of fluconazol kan
worden gegeven, maar bij infectie met Microsporum is er twijfel over de effectiviteit
van terbinafine. Bij groene fluorescentie door UV-licht dus altijd itraconazol,
fluconazol of griseofulvine kiezen.
Als ondersteunende behandeling:
R/ ketoconazol crème 2 dd.
Author(s):
dr. Jan R. Mekkes. Dermatologist, Amsterdam UMC.