STILL'S DISEASE (SYSTEMIC ONSET JUVENILE RHEUMATOID ARTHRITIS / JRA / JIA) home ICD10: M08.2

De ziekte van Still is een systemische inflammatoire aandoening gekenmerkt door hoge piekende koorts, polyarthralgie/arthritis, een zalmroze voorbijgaande/vergankelijk rash, lymphadenopathie, leverfunctie stoornissen en splenomegalie. Het kan voorkomen op kinderleeftijd (voor het 16e levensjaar, systemic onset juvenile rheumatoid arthritis (JRA) of juvenile idiopathic arthritis (JIA) genoemd), en het kan zich op volwassen leeftijd manifesteren (na 16e levensjaar, adult onset Still's disease (ASD of AOSD) genoemd). Patiënten hebben vrijwel altijd een verhoogd BSE, CRP en een sterk verhoogd ferritine, leukocytose en normocytaire, normochrome anemie. Still's disease wordt meestal behandeld door een reumatoloog, waarbij nonsteroïdale anti-inflammatoire drugs (NSAIDs), corticosteroïden, biologicals en disease-modifying antirheumatic drugs (DMARDs) kunnen worden ingezet. Het behoort tot de auto-inflammatoire aandoeningen.

Huidafwijkingen bij Stills disease:
De typische huidafwijking die in ca 80-90% van zowel kinderen als volwassenen met de ziekte van Still wordt beschreven is een voorbijgaande maculaire of maculopapulaire zalmroze rash tijdens de febriele episodes. Deze rash is meestal aanwezig op romp en/of extremiteiten maar kan ook voorkomen op handpalmen, voetzolen en soms in het gelaat. Deze typische rash is een van de major diagnostische criteria voor adult onset Still's disease volgens Yamaguchi en heeft een hoge sensitiviteit en specificiteit [1]. Histologisch wordt de typische voorbijgaande rash gekenmerkt door dermaal oedeem en een relatief gering oppervlakkig perivasculair lymfohistiocytair infiltraat met enkele neutrofiele granulocyten [2]. Een biopt is overigens meestal niet nodig voor de diagnose.

Still's disease
Still's disease


Naast de typische voorbijgaande rash zijn er diverse atypische huidafwijkingen beschreven bij patiënten met de ziekte van Still [3]. Van deze atypische huidafwijkingen blijkt de persisterende rash / persisterende lichenoide papels een specifieke klinische en pathologische manifestatie van de ziekte van Still te zijn die in ca. 60-70 % van de patiënten voorkomt. In een deel van de patiënten volgt de persisterende rash op de voorbijgaande rash. Belangrijk is dat patiënten met persisterende rash vaker een ernstiger ziekte beloop lijken te hebben waarvoor systemische corticosteroïden en/of ciclosporine nodig kan zijn. Na systemische anti-inflammatoire behandeling treedt meestal verbetering op van de rash [2,4].

De meeste patiënten met persisterende rash manifesteren zich met erythemateuze, donker rode of bruine, schilferende of crusteuze papels verspreid over nek, gelaat, romp en de strekzijde van de extremiteiten. De papels zijn vaak lichenoid en kunnen versmelten tot grote plaques. De persisterende rash gaat vaak gepaard met ernstige pruritus en krabben.

Histologie:
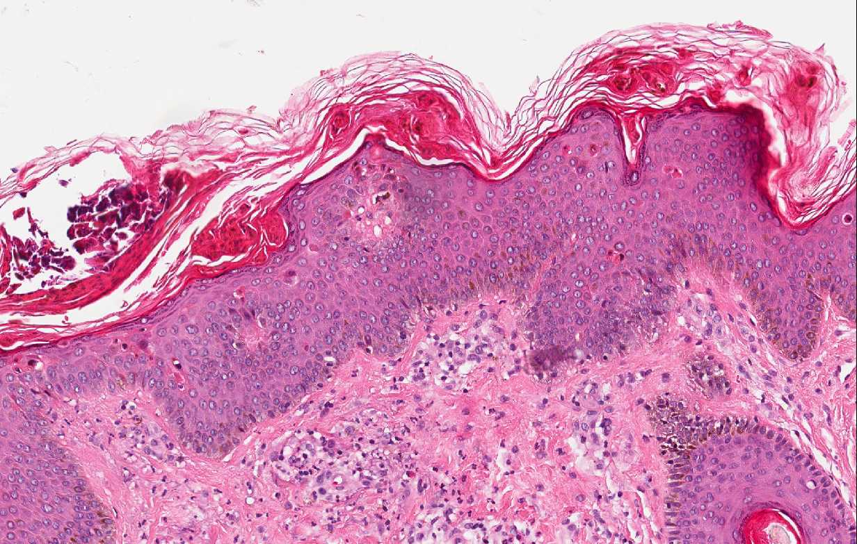
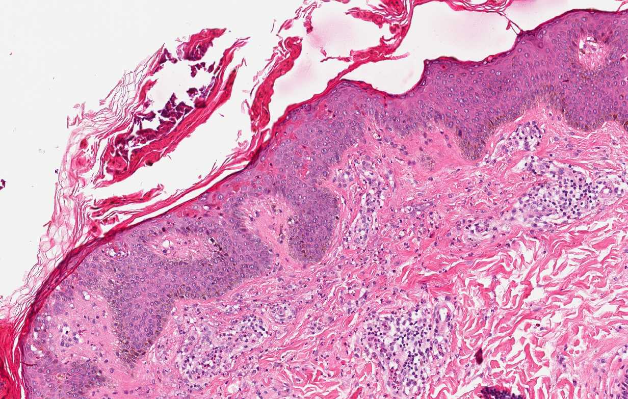
Histologisch worden de persisterende laesies gekenmerkt door heuveltjes van parakeratose en zeer opvallende aanwezigheid van solitaire en/of in aggregaten gelegen necrotische keratinocyten, voornamelijk in de bovenste helft van de epidermis en in de hoornlaag (Figuur 1 en 2). Geringe grensvlak vacuolisatie met sporadische apoptotische keratinocyten, milde acanthose en spongiose worden gezien in ongeveer de helft van de gevallen. Subcorneale pustels of ingedroogde intracorneale pustels en conflurende necrose van de epidermis secundair aan excoriatie komen in een minderheid van de biopten voor. In de dermis wordt meestal een gering tot matig perivasculair en interstitieel ontstekingsinfiltraat gezien met lymfocyten en een wisselende hoeveelheid neutrofiele granulocyten (Figuur 1 en 2). Behoudens pustels is er in de epidermis geen ontstekingsinfiltraat aanwezig [2,4].

Histologisch beeld bij Still's disease Histologisch beeld bij Still's disease
Still's disease Still's disease


Therapie:
R/ NSAIDs.
R/ corticosteroiden.
R/ methotrexaat.
R/ biologicals (tumor necrosis factor-alpha inhibitors).


Referenties
1. Yamaguchi M, Ohta A, Tsunematsu T, Kasukawa R, Mizushima Y, Kashiwagi H, et al. Preliminary criteria for classification of adult Still's disease. J Rheumatol 1992;19:424-430.
2. Lee JY, Yang CC, Hsu MM. Histopathology of persistent papules and plaques in adult-onset Still's disease. J Am Acad Dermatol 2005;52(6):1003-1008.
3. Affleck AG, Littlewood SM. Adult-onset Still's disease with atypical cutaneous features. J Eur Acad Dermatol Venereol 2005;19(3):360-363.
4. Fortna RR, Gudjonsson JE, Seidel G, Dicostanzo D, Jacobson M, Kopelman M, Patel RM. Persistent pruritic papules and plaques: a characteristic histopathologic presentation seen in a subset of patients with adult-onset and juvenile Still's disease. J Cutan Pathol 2010;37(9):932-937.


Author(s):
dr. L.A.A. Brosens. AIOS pathologie UMC Utrecht
prof. dr. M.R. van Dijk. Patholoog UMC Utrecht

31-05-2023 (LAB / MRD) - www.huidziekten.nl Terug naar homepagina



Diagnosis codes:
ICD10 M08.2 Juvenile rheumatoid arthritis
ICD10 M08.2 Juvenile rheumatoid arthritis with systemic onset (Still's disease)
SNOMED 201796004 Systemic onset juvenile chronic arthritis
DBC 28 spacer Geen dermatologische diagnose

ICD10 M06.1 Adult-onset Still's disease
ICD10 M06.1 Adult-onset Still's disease
SNOMED 239920006 Adult-onset Still's disease
DBC 28 spacer Geen dermatologische diagnose