Staphylococcus aureus is een bacterie die tot de normale
huidflora van de mens hoort. Daarnaast is het een beruchte veroorzaker van
pussende infecties zoals steenpuisten (
furunkels)
en wondinfecties na een operatie. Van de normale bevolking is 20% langdurig
(levenslang) drager, 60% af en toe drager, en 20% nooit. Drager zijn wil zeggen
dat de bacterie in de
neus en op de huid zit, vaak
ook op het
perineum. Als de bacterie in de neus zit
wordt hij ook vaak op de vingertoppen aangetroffen (bij 13% van de neusdragers
versus 4% van de niet-neusdragers). Bij neusdragers van stafylokokken is het
risico op postoperatieve infecties verhoogd (RR 7.1; 95% betrouwbaarheidsinterval
4.6-11). In de Nederlandse huisartsenpraktijk wordt bij ongeveer 25% van de
patiënten een stafylokok in de neuskweek gevonden.
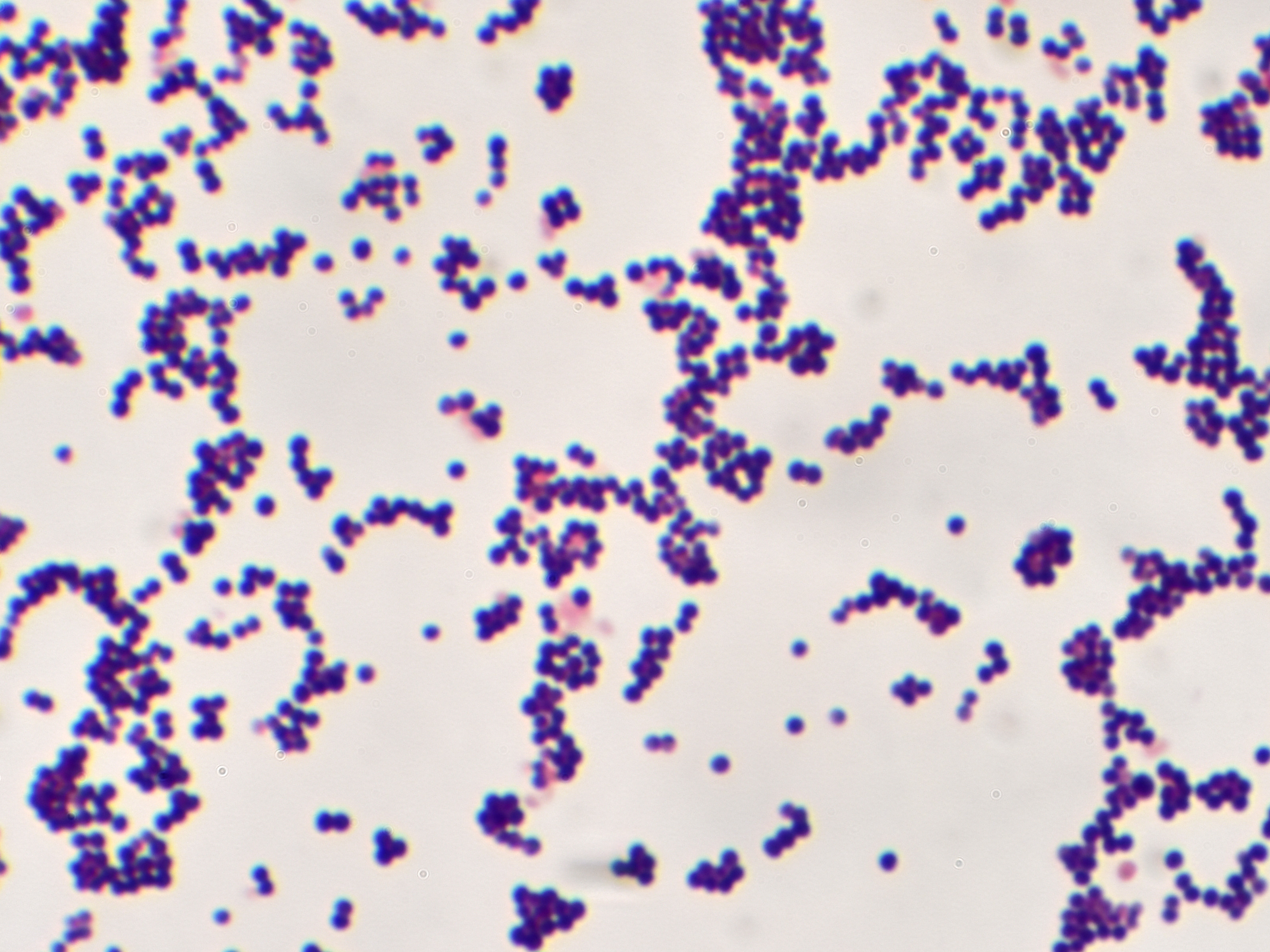
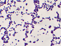
![Stafylococcus aureus (click on photo to enlarge) [source: dr. Graham Beards - Wikimedia - Creative Commons License 4.0] Stafylococcus aureus](../../../images/figures/stafylococcus-aureusz.jpg) |
![Furunculosis (click on photo to enlarge) [source: www.huidziekten.nl] Furunculosis](../../../images/furunkel-3z.jpg) |
| S.
aureus |
furunculosis |
Foto links: dr. Graham Beards - Wikimedia (Creative Commons License
4.0).
In 1% van deze kweken werd een
meticillineresistente Staphylococcus
aureus (
MRSA) aangetroffen. De laatste
jaren worden
infecties met MRSA in de algemene
bevolking toenemend gemeld, waarbij geen verband met verblijf in een ziekenhuis
of verpleeghuis werd gevonden (community associated-MRSA). Een belangrijke besmettingsbron
is de
varkenshouderij. Circa 40% van de Nederlandse
varkens heeft MRSA. MRSA wordt verhoogd aangetroffen in neuskweken onder varkenshouders
(>20%) en dierenartsen (5%). Een andere groep met een (tijdelijk) verhoogd
risico op MRSA-dragerschap zijn patiënten die korter dan twee maanden geleden
opgenomen zijn geweest in een
buitenlands ziekenhuis
en er werden geopereerd of er langer dan 24 uur werden verpleegd. Dit geldt
ook voor patiënten die in het buitenland een katheter of drain kregen of werden
geïntubeerd. In een groot aantal landen is het aantal MRSA-infecties in ziekenhuizen
20% of hoger; in Nederland is dit minder dan 1%.
Indicaties
voor behandeling van Stafylokokken dragerschapEliminatie is
raadzaam bij recidiverende furunculose, folliculitis, recidiverende impetiginisatie
van atopisch eczeem, recidiverende pyodermieën bij afweerstoornissen, bij klepvitium
of gewrichtsprothesen en preventief voorafgaand aan orthopedische ingrepen.
Eliminatie is moeilijk, een antibioticakuur (meestal flucloxacilline) bestrijdt
infecties maar het reservoir in de neus of op het perineum kan aanwezig blijven
en herbesmetting veroorzaken. Stafylokokken dragerschap is te bestrijden met
hygiënische maatregelen zoals dagelijks wassen met water en zeep (Hibiscrub
of betadine jodiumzeep), het aanbrengen van antiseptische zalven (fucidine,
mupirocine, chloorhexidine) in de neusgaten en eventueel op het perineum, dagelijks
schone handdoeken, regelmatig schoon beddegoed en kleding heet wassen.
Therapie:R/ Hibiscrub (chloorhexidine zeepoplossing
40 mg/ml), dagelijks wassen gedurende 5 dagen.
R/ betadine jodium zeep, dagelijks
wassen gedurende 5 dagen, ook voor de haren (betadine jodium shampoo).
R/
chloorhexidine 1% zalf of Fucidin (fusidinezuur) zalf of fucidinegel (Fusithalmic
ooggel) in de neus (en eventueel) op het perineum.
R/ Bactroban (mupirocine
2%) zalf en neuszalf. De basis van de gewone zalf (polyethyleen glycol) is niet
comfortabel voor gebruik op slijmvliezen of in de neus, de speciale Bactroban
2% neuszalf met vaseline-glycerine-ester basis wel. Gedurende 5 dagen 3 dd een
kleine hoeveelheid neuszalf in beide neusgaten aanbrengen, vervolgens neusvleugels
dichtdrukken.
Behandeling van S. aureus dragerschap. Duur behandeling:
5 dagen.
| - |
Mupirocine neuszalf (Bactroban) 3 maal daags
in beide neusgaten aanbrengen. Een kleine hoeveelheid op de pink doen,
vervolgens aanbrengen in ieder neusgat tot zover je kunt komen, zonder
diep door te drukken. Door vervolgens de neusgaten dicht te knijpen
wordt de zalf goed verdeeld. Na toediening de handen goed wassen. |
| - |
Dagelijks het hele lichaam en ook de haren wassen
met desinfecterende zeep (Hibiscrub, chloorhexidine zeepoplossing 40
mg/ml). Extra aandacht besteden aan de hals, het gebied rond de neus,
de oren, de anus en het perineum, onder de borsten, de oksels en de
navel, de handen, tussen de vingers, rond en onder de nagels. Zeep aanbrengen
op een bevochtigde huid en enige minuten in laten trekken. Vervolgens
goed afspoelen. In plaats van Hibiscrub kan ook betadine jodium zeep
oplossing en betadine jodium shampoo worden gebruikt. |
| - |
Regelmatig de handen wassen met Hibiscrub. |
| - |
Dagelijks schoon ondergoed, kleding, pyjama,
schone handdoek en schoon washandje gebruiken. |
| - |
Op dag 1, 2 en 5 van de kuur beddengoed verschonen. |
Hoe om te gaan met steenpuisten en huidinfecties
| - |
Geïnfecteerde plekken altijd goed afdekken en
3 keer per dag verschonen en met chloorhexidinecrème behandelen. |
| - |
Verbandgaas zo snel mogelijk in een plastic boterhamzakje
in een vuilcontainer gooien. |
| - |
Na elke behandeling de huid rondom de geïnfecteerde
plek ruim met alcohol 80% desinfecteren (schoonmaken). |
| - |
Na verzorging of contact met de infectieplaats
uw handen desinfecteren met handalcohol of heel goed wassen. |
| - |
Zo veel mogelijk katoenen kleding dragen die
heet gewassen kan worden en handdoeken éénmalig gebruiken en heet wassen
(boven 60° C). |
| - |
Wekelijks schoon beddengoed gebruiken en dit
heet wassen (boven 60° C). |
Algemene hygiënische maatregelen (om herbesmetting vanuit de omgeving
te voorkomen)
| - |
Alle kleding, beddengoed, handdoeken enz. boven
de 60° C wassen. |
| - |
Kleding waarbij dit niet mogelijk is, zoals wollen
truien, buiten luchten (liefst in wind en zon) en op lagere temperatuur
wassen. |
| - |
Alle gordijnen, dekens, dekbedden en vloerkleden
langdurig luchten (liefst in wind en zon). Zo mogelijk wassen. Alles
wat onder punten 1-3 genoemd is, in plastic vuilniszakken bewaren of
buiten laten hangen tot huis verder schoongemaakt en gedesinfecteerd
is. |
| - |
In huis van boven naar beneden alle gladde horizontale
oppervlakken met chlooroplossing afnemen, gladde vloeren met chlooroplossing
dweilen. |
| - |
Alle plaatsen die aangeraakt worden (deurkrukken,
toetsenbord, telefoon enz.) zo veel mogelijk met chlooroplossing afnemen. |
| - |
De lege klerenkasten met chlooroplossing uitnemen. |
| - |
Zeer goed alle vloerbedekking zuigen (liefst
meerdere malen). |
| - |
Zodra al deze handelingen zijn gedaan, kunnen
kleding, gordijnen enz. weer naar binnen. |
| - |
Na elke toiletgang de handen goed wassen. |
| - |
Handdoeken voor afdrogen van het lichaam en washandjes
éénmalig gebruiken, niet delen met andere personen en heet wassen (min.
60 graden). |
| - |
Eventuele oorbellen en piercings verwijderen
en desinfecteren (70% alcohol) en pas weer indoen na afsluiten behandeling. |
Adviezen betreffende sociale contacten
| - |
Geen beperkingen in contacten binnen het gezin. |
| - |
Als behandeling niet is gelukt eventueel gezinsleden
kweken om te bepalen of zij ook besmet zijn geraakt en de reden van
herbesmetting kunnen zijn. In dat geval kan het nodig zijn alle besmette
gezinsleden mee te behandelen. Zelden noodzakelijk. |
| - |
De kans op overdracht in normaal sociaal verkeer
zonder intensieve lichamelijke contacten is zeer gering. Bovendien ontstaat
blijvend dragerschap slechts zelden. |
Referenties
| 1. |
NHG standaard bacteriële huidinfecties. |
Author(s):dr. Jan R. Mekkes. Dermatologist, Amsterdam UMC.