Rabies (
hondsdolheid) is
geen dermatologische aandoening, maar indien een patiënt verdacht wordt van
rabies kan de dermatoloog behulpzaam zijn bij de diagnostiek door op de goede
manier en op de goede plek biopten af te nemen. De biopten (3 stuks om de sensitiviteit
te vergroten) moeten worden afgenomen van haarfollikels uit de nek. Door middel
van immunofluorescentie en een enzyme immuno assay kan het virus worden gedetecteerd
in zenuwvezels die in de diepte rond de haarfollikel en in de nabijheid van
m. arrector pili kunnen worden getroffen. In circa 50% van de gevallen is de
test binnen een week positief. Het virus kan in gespecialiseerde laboratoria
ook met immuunhistochemische kleuringen worden aangetoond in een in formaline
gefixeerd huidbiopt, of met een PCR in vers materiaal, of met elektronenmicroscopie.
Protocol biopt afnemen:- Draag een mondkapje en
werk steriel (gatdoek, steriele handschoenen, steriele materialen).
- Selecteer
en markeer 3 haarfollikels van nekharen (achterhoofd, overgang naar de nek,
direct onder de haargrens)
Dit gebied wordt de nape of the neck genoemd
- Huid reinigen met chloorhexine in alcohol
- Verdoven met lidocaïne
-
Steriel afdekken
- 3 x 3 mm biopten afnemen zodanig dat de haarfollikel er
goed in zit (met de haarrichting mee stansen)
- doe de biopten in 3 aparte
kweekbakjes (of andere steriele containers) op een met NaCl bevochtigd gaasje
- patiëntengegevens bevestigen en zorgen dat het in handen komt van de betrokken
microbioloog of viroloog
![Plek om biopten af te nemen bij verdenking op rabies (click on photo to enlarge) [source: danabooo - Wikimedia - Creative Commons License 3.0] Plek om biopten af te nemen bij verdenking op rabies](../../../images/rabies-1x.jpg)
Plek
om de biopten af te nemen
Benodigheden:- chloorhexidine
in alcohol
- steriele handschoenen
- gatdoek
- gazen 5x5 steriel
- biopteur 3 mm
- schaartje en pincet
- markeerstift
- lidocaïne verdoving
- drie aparte steriele containers (kweekbakjes)
- steriel NaCl
- pleisters
Het materiaal kan tijdelijk bewaard worden in de vriezer of zelfs in
een vriesvak tot aan het moment van verzending (per koerier, bij voorkeur op
droogijs) naar het
virologisch laboratorium
van het Erasmus Medisch Centrum in Rotterdam (tel. 010-7033431) dat het virus
kan detecteren met een enzyme immuno assay of met een PCR methode. De viroloog
zorgt voor de verzending, soms worden nog andere materialen meegezonden (bloed,
cornea-uitstrijk).
![Direct fluorescent antibody test (binding aan het rabies antigeen) [bron: CDC, Atlanta - Public Domain Image] Direct fluorescent antibody test (binding aan het rabies antigeen)](../../../images/rabies-directe-fluorescentie.jpg)
Direct fluorescent antibody test (binding aan het rabies antigeen). (CDC, Atlanta).
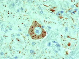
![Microscope image of rabies virus-infected neuronal cell [bron: CDC, Atlanta - Public Domain Image] Microscope image of rabies virus-infected neuronal cell](../../../images/rabies-neuron.jpg)
Immunohistochemische kleuring (neuron met inclusion bodies). (CDC, Atlanta).
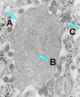
![Electron microscope image of rabies virus budding from an inclusion into the endoplasmic reticulum in a nerve cell [bron: CDC, Atlanta - Public Domain Image] Electron microscope image of rabies virus budding from an inclusion into the endoplasmic reticulum in a nerve cell](../../../images/rabies-budding.jpg)
Electronen microscopie. Rabies virus budding from an inclusion (Negri body)
into the endoplasmic reticulum in a nerve cell.
A = Negri body. B = abundant
RNP in the inclusion. C = Budding rabies virus. (CDC, Atlanta).
![Electron microscope image of negatively stained Rhabdovirus [bron: CDC, Atlanta - Public Domain Image] Electron microscope image of negatively stained Rhabdovirus](../../../images/rabies-virus.jpg)
Negatively stained Rhabdovirus as seen through an electron microscope. Notice
the bullet shape of the virus (A). See the "bee hive" like striations of the
RNP (B). Notice the glycoprotein spikes in the outer member bilayer (C). (CDC,
Atlanta).
Referenties
| 1. |
LCI Richtlijn Rabies. RIVM (www.rivm.nl) |
| 2. |
Dacheux L, Reynes JM, Buchy P, Sivuth O,
Diop BM, et al. A reliable diagnosis of human rabies based on analysis
of skin biopsy specimens. CID 2008;47:1410-1417.
PDF |
Author(s):dr. Jan R. Mekkes. Dermatologist, Amsterdam UMC.