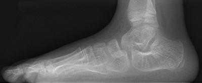
Bij
platvoeten is het voetgewelf ingezakt en ontstaan
er abnormale drukpunten op de voetzool. Er kunnen clavi ontstaan maar ook druk-ulcera.
Platvoeten kunnen aangeboren zijn maar ook verworven. Bij neuropathie (t.g.v.
lepra of diabetes) kan het voetgewelf ook inzakken met als gevolg soms grote
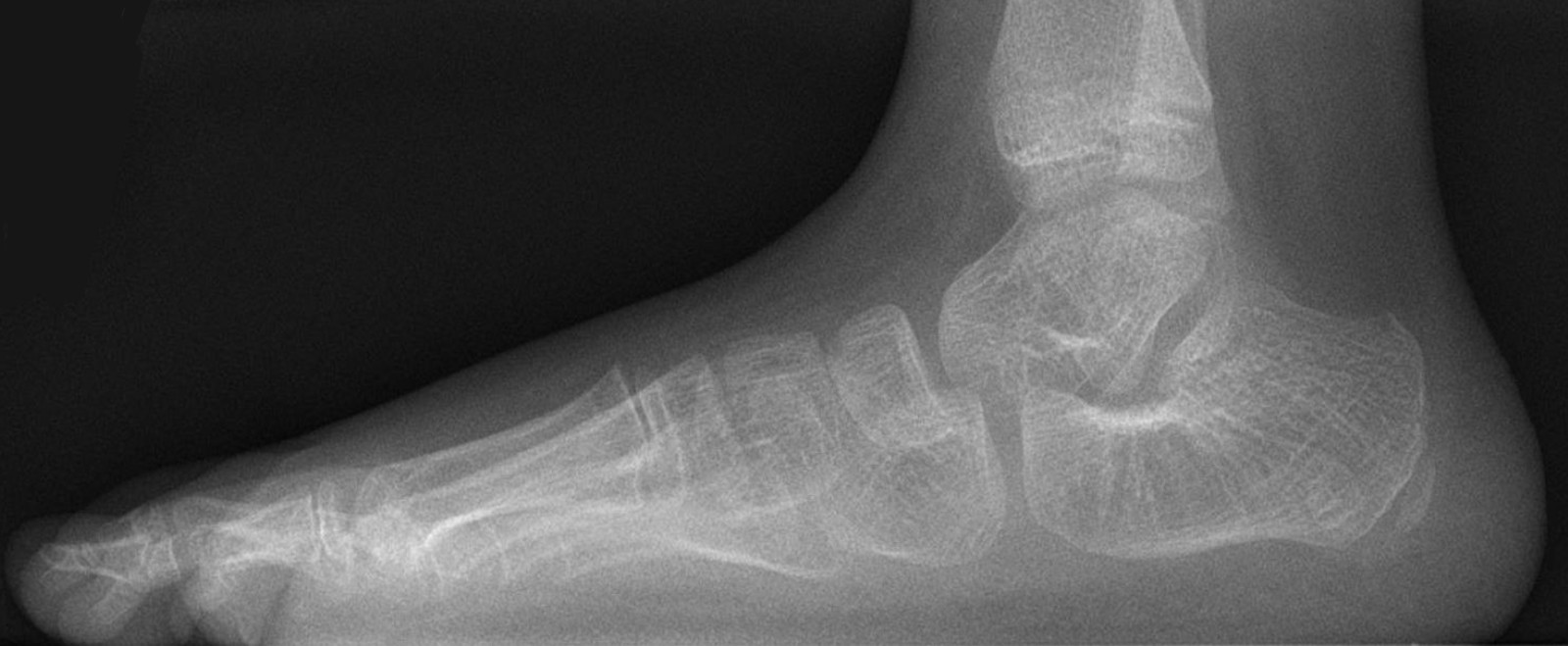
plantaire ulcera. Maar wanneer spreekt men van platvoeten? Als er klinisch contact
is, of meer contact dan normaal, tussen het midden van de voetzool en de vloer.
Radiologisch als een denkbeeldige as die door het midden van de talus wordt
getrokken, loodrecht op het gewrichtsvlak, niet uitkomt in het midden van het
eerste metatarsale bot van dig I. Normaal als de botten netjes in elkaars verlengde
staan hoort men een rechte lijn te kunnen trekken door metatarsale 1 en de tarsus.
![Normale voet (click on photo to enlarge) [source: Mikael Häggström - Wikimedia - Creative Commons License 1.0 - Public Domain Image] Normale voet](../../../images/pes-planus-normale-voet-1w.jpg) |
![Platvoet (click on photo to enlarge) [source: Hellerhoff - Wikimedia - Creative Commons License 4.0] Platvoet](../../../images/pes-planut-platvoet-1w.jpg) |
| normale
voet (holle voet) |
platvoet |
X-Foto's: Mikael Häggström en Hellerhoff - Wikimedia (Creative Commons License
1.0
/
4.0).
Author(s):dr. Jan R. Mekkes. Dermatologist, Amsterdam UMC.