Het
nagel-patellasyndroom (NPS,
OMIM
161200, synoniemen:
syndroom van Turner-Kieser,
ziekte van
Fong,
erfelijke onycho-osteodysplasie)
is een zeldzaam (circa 1:50.000) autosomaal dominant syndroom met afwijkingen
aan de
nagels (nageldystrofie, anonychia, hyponychia,
onychoschizis, lunula triangularis, longitudinal ridging, pterygium), aplasie
of hypoplasie v.d.
patella en andere botafwijkingen
(bekkenhoorns, afwijkingen ellebooggewricht), afwijkingen v.d. tractus urogenitalis
(nierziekte), oogafwijkingen, en hyperhidrosis palmoplantaris. Circa 88% van
de patiënten heeft iemand in de familie met het syndroom. De oorzaak van dit
syndroom is een mutatie in het
LMX1B-gen, gelegen
op de lange arm van chromosoom 9 (9q34.1). LMX1B, is een LIM-homeodomain transcription
factor nodig voor de normale ontwikkeling van dorsale componenten van de ledematen,
de glomerulaire basaalmembraan, de voorste oogkamer, en dopaminerge en serotonerge
neuronen. Heterozygote mutaties in LMX1B veroorzaken het nail-patella syndroom.
NagelafwijkingenDe nagels kunnen dystrofisch zijn (hyperkeratotisch,
brokkelig, broos, gebarsten, met putjes, misvormd), gespleten (onychoschizis),
klein (hyponychia) of geheel afwezig (anonychia), longitudinale groeven vertonen
(longitudinal ridging). De lunula (maantje) kan driehoekig zijn (lunula triangularis),
dit is pathognomonisch voor het nail-patella syndroom. De duimen zijn vaak het
meest aangedaan, de pink het minst. De huidlijnen kunnen ontbreken in de huid
over de distale interphalangeale gewrichten van de wijsvinger.
![Nagelafwijkingen bij het nail-patella syndroom (click on photo to enlarge) [source: Jan Wijten - Wikimedia - Creative Commons License 3.0] Nagelafwijkingen bij het nail-patella syndroom](../../../images/nail-disorders/nail-patella-syndroom-1z.jpg) |
![Nagelafwijkingen bij het nail-patella syndroom (click on photo to enlarge) [source: JIMMYLINE - Wikimedia - Creative Commons License 1.0 - Public Domain Image] Nagelafwijkingen bij het nail-patella syndroom](../../../images/nail-disorders/nail-patella-syndroom-2z.jpg) |
![Nagelafwijkingen bij het nail-patella syndroom (click on photo to enlarge) [source: Jto410 - Wikimedia - Creative Commons License 3.0] Nagelafwijkingen bij het nail-patella syndroom](../../../images/nail-disorders/nail-patella-syndroom-3z.jpg) |
| lunula
triangularis |
nail-patella
syndroom |
hypoplastische
patella |
Foto's:
Jan Wijten, Jimmyline en Jto410 - Wikimedia (Creative Commons License
3.0
/
1.0).
DD: zie onder
nagelafwijkingen.
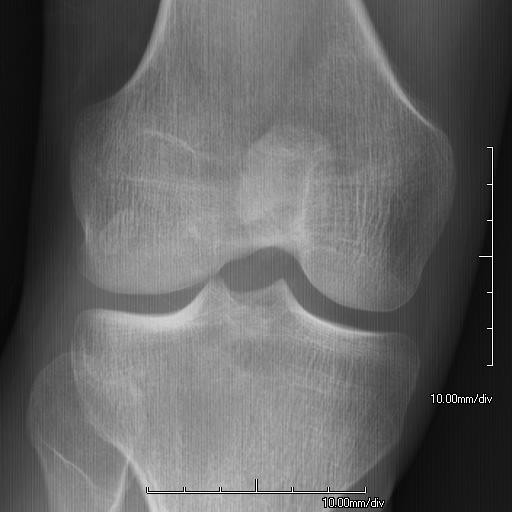
BotafwijkingenDe knieschijf (patella) kan misvormd zijn,
onderontwikkeld (hypoplasie) of geheel ontbreken (aplasie). Dislocatie van de
patella komt vaak voor. De ellebooggewrichten zijn abnormaal (arthrodysplasia)
en staan soms in gebogen stand gefixeerd. Op de heupbeenderen kunnen hoornvormige
botuitsteeksels zitten (iliac horns, bij 70%). Rugpijn door afwijkingen aan
de wervelkolom (spondylolisthesis) komt regelmatig voor.
NierafwijkingenCirca 30-50% heeft een proteïnurie
zonder hematurie, en in circa 5% ontstaat terminale nierinsufficiëntie. Hypertensie
kan ontstaan. Nierstenen komen iets vaker voor.
Oogafwijkingen
Glaucoom kan ontstaan (verhoogde oogboldruk, open kamerhoek glaucoom). In de
iris ziet men soms het Lester sign (donker gepigmenteerde irregulaire rand rond
de iris, niet heel specifiek).
Overige symptomen
preeclampsie, verminderde pijngevoeligheid, skin webbing (pterygia), vermoeidheid.
Diagnostiek: De diagnose wordt gesteld op de klinische
symptomen. Afbeeldend onderzoek zoals rontgenfoto's en MRI's horen daar bij.
De iliac horns zijn soms in utero al te zien. De nagelafwijkingen zijn al vanaf
de geboorte aanwezig. Nierproblemen en glaucoom ontstaan pas op oudere leeftijd.
De oogboldruk moet regelmatig worden gemeten. Een nail patella syndroom patiënt
wordt aangeraden om de nieren en hun werking op zijn minst elk jaar via urine-
en bloedonderzoek te testen.
Therapie: De therapie
bestaat uit symptoombestrijding. De orthopedische problemen kunnen worden aangepakt
met fysiotherapie, braces en correctieve chirurgie. Spaarzaam zijn met NSAID's
vanwege de nieren. ACE inhibitors kunnen de nierfunctie verbeteren. Niertransplantatie
heeft een goed effect. Attent zijn op glaucoom en dit behandelen.
Author(s):dr. Jan R. Mekkes. Dermatologist, Amsterdam UMC.