Morphea profunda is een diep gelokaliseerde vorm van
morphea (lokale
sclerodermie). Morphea is scleroderma
beperkt tot de huid. Er zijn meerdere klinische vormen: guttata, plaque, nodulair,
lineair, gegeneraliseerde en morphea profunda (subcutane morphea). Morphea profunda
is voor het eerst beschreven in 1979 en betreft induratie en hyalinisatie van
de diepe dermis, het subcutane weefsel en de fascie. Het klinische beeld wordt
gekenmerkt door indolente subcutane induraties met hyperpigmentatie, meestal
symmetrisch op de romp en de extremiteiten, maar er zijn ook solitaire laesies
beschreven. De huid voelt ter plaatse strak en geïndureerd aan en zit vast aan
de ondergrond. Er zijn superficiële ulceraties in de induraties beschreven zowel
als peau d’orange aspect van de geïndureerde huid. Er treedt geen spontane genezing
van de laesies op. De orgaansystemen worden niet aangetast.
![Morphea profunda (click on photo to enlarge) [source: www.huidziekten.nl] Morphea profunda](../../../images/morphea-profunda-1z.jpg) |
![Morphea profunda (click on photo to enlarge) [source: www.huidziekten.nl] Morphea profunda](../../../images/morphea-profunda-2z.jpg) |
![Morphea profunda (click on photo to enlarge) [source: www.huidziekten.nl] Morphea profunda](../../../images/morphea-profunda-3z.jpg) |
| morphea
profunda |
morphea
profunda |
morphea
profunda |
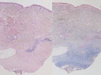
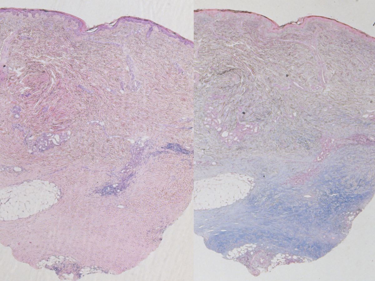
Histopathologisch onderzoek:Epidermis zonder afwijkingen.
De reticulaire dermis is sterk verbreed, met name in de diepere delen door een
toename van brede collageen bundels die vrij dicht opeen gepakt zijn. Er is
collageentoename ook in de interlobulaire vetsepta in de panniculus met enig
verlies van vetweefsel rond de adnexen. Er zijn ophopingen van grijzig homogeen
materiaal tussen het collageen welke blauw aankleurt in de Acian Blue kleuring.
Verder een matig tot uitgesproken ontstekingsinfiltraat opgebouwd m.n. uit lymfocyten
en soms eosinofiele granulocyten perivasculair en in het subcutane vetweefsel,
dit onderscheidt morphea profunda van de ‘gewone’ morphea.
![Morphea profunda (click on photo to enlarge) [source: www.huidziekten.nl] Morphea profunda](../../../images/morphea-profunda-4z.jpg) |
![Morphea profunda (click on photo to enlarge) [source: www.huidziekten.nl] Morphea profunda](../../../images/morphea-profunda-5z.jpg) |
| morphea
profunda |
morphea
profunda |
DD: gegeneraliseerde
morphea,
atrophoderma van
Pasini en Pierini,
eosinofiele
fasciitis,
panniculitis,
scleroedema adultorum (van
Buschke),
acrodermatitis
chronica atrophicans.
Therapie:In de literatuur
zijn er geen effectieve behandelingsopties voor morphea profunda beschreven.
De behandelingen die reeds met wisselend resultaat bij andere vormen van morphea
worden toegepast, zijn topicaal of intralesionaal toegepaste corticosteroïden,
topicaal calcipotriol, PUVA, UVA1, methotrexaat en methotrexaat in combinatie
met oraal toegediende corticosteroïden.
Referenties
| 1. |
Sayama K, Chen M, Shiraishi S, Yoshiharu
M. Morphea profunda. Int J Dermatol 1991;301:873-875. |
| 2. |
Whittaker SJ, Smith NP, Jones RR. Solitary
morphea profunda. Br J Dermatol 1989;1203:41-40. |
| 3. |
Sapadin AN, Fleischmejer R. Treatment of
scleroderma. Arch Dermatol 2002;138:99-105. |
| 4. |
Seyger MMB, van den Hoogen FHJ, de Boo T,
Elke MGJ, de Jong MD. Low-dose methotrexate in the treatment of
widespread morphea. J Am Acad Derm 1998;39(2 Pt 1):220-225. |
Author(s):Biljana Zupan-Kajcovski. Dermatoloog,
Huid- en Melanoom Centrum Antoni van Leeuwenhoek, Amsterdam.
dr. Jan R. Mekkes.
Dermatologist, Amsterdam UMC.