MAZELEN (MORBILLI) home ICD10: B05.9

Mazelen (morbilli, measles) is één van de maculopapuleuze kinderziekten, veroorzaakt door het mazelenvirus. Het virus is van mens op mens overdraagbaar. Het wordt overgedragen door besmette druppeltjes vocht die mazelenpatiënten uitademen, niezen of hoesten. Mazelen is zeer besmettelijk, vele malen besmettelijker dan bijvoorbeeld griep, rodehond of bof. Een patiënt met mazelen is besmettelijk vier dagen voor tot vier dagen na het begin van de rash. In Nederland komt mazelen bijna niet meer voor omdat er sinds 1976 tegen gevaccineerd wordt. Het mazelenvaccin zit in een combinatievaccin (deBMR-vaccinatie) en wordt aangeboden aan kinderen van 14 maanden en van 9 jaar. Dit vaccin beschermt ook tegen bof en rodehond. In ontwikkelingslanden sterven jaarlijk nog zo'n 75.000 personen, vooral kinderen, aan mazelen. In 2014 was er in Nederland een epidemie onder niet gevaccineerde, orthodox-protestante schoolkinderen.

Mazelen Mazelen Mazelen
mazelen mazelen mazelen

Foto links: CDC (Public Domain Image). Foto rechts: Julien Harneis - Wikimedia (Creative Commons License 2.0).


Klinisch beeld:
De ziekteverschijnselen beginnen 10-14 dagen na besmetting en houden 7-10 dagen aan. Mazelen begint met koorts (>40 °C), hoesten, neusverkoudheid en oogontsteking. Zo’n twee tot vier dagen later ontstaan er kleine rode macula, meestal beginnend in het gezicht daarna gedissemineerd over de rest van het lichaam. In de mondholte kunnen na 2-3 dagen witte vlekken ontstaan die Koplik's spots worden genoemd. Het mazelenvirus kan ook middenoorontsteking en diarree veroorzaken, en in ernstige gevallen longontsteking, stuipen of hersenontsteking, en blindheid. In zeer zeldzame gevallen veroorzaakt mazelen een hersenontsteking die gemiddeld pas 7 jaar na de mazelen begint, en altijd fataal is. Jonge kinderen, volwassenen en personen met een verminderde afweer, hebben een groter risico ernstig ziek te worden als zij mazelen oplopen dan gezonde kinderen op de basisschoolleeftijd. De kans om te overlijden bij patiënten met mazelen is in Nederland kleiner dan 1 op de 1000 gevallen.

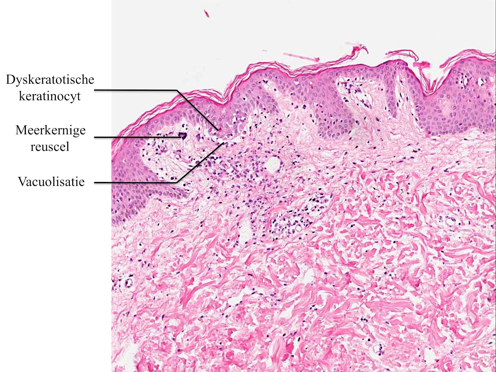
Histologie:
Het histologisch beeld wordt gekenmerkt door epidermale spongiose, vacuolisatie van basale keratinocyten en aanwezigheid van dyskeratotische keratinocyten. In de oppervlakkige dermis is veelal een mild perivasculair lymfohistiocytair ontstekingsinfiltraat met meerkernige reuscellen te zien. Het beeld kan lijken op lupus erythematosus, maar is focaler.

Histologie mazelen


Referenties
1. Weedon D. Viral diseases. In: Weedon’s Skin Pathology. 3th ed. Churchill Livingstone; 2010:628
2. Yoshida M, Yamada Y, Kawahara K et al. Development of follicular rash in measles. Br J Dermatol 2005;153:1226-1228
3. Yanagihara M, Fuiji T, Mochizuki T et al. Measles virus was present in the inner cell of the acrosyringium in the skin rash. Pediatr Dermatol 1998;15:456-458


Author(s):
dr. Jan R. Mekkes. Dermatologist, Amsterdam UMC.
Norbert A. Ipenburg. Co-assistent, UMC Utrecht.
Mary-Ann el Sharouni. Co-assistent, UMC Utrecht.
Prof. dr. Marijke R. van Dijk. Patholoog, UMC Utrecht.

31-05-2023 (JRM / MAS / NAI / MRD) - www.huidziekten.nl Terug naar homepagina



Diagnosis codes:
ICD10 B05.9 Mazelen zonder complicatie
ICD10 B05.9 Measles without complication
SNOMED 14189004 Measles
DBC 4 Dermatosen door micro-organismen