Cheilitis granulomatosa (synoniem: Miescher's cheilitis)
wordt gedefinieerd als een chronische zwelling van de lip door een granulomateuze
ontsteking van onbekende origine. Het
syndroom van (Miescher-)
Melkersson-Rosenthal
bestaat uit een combinatie van
cheilitis granulomatosa met een
fisuurtong en/of
aangezichtsverlamming.
Het syndroom werd in 1928 voor het eerst beschreven
door Melkersson bij een patiënt met lipafwijkingen in combinatie met recidiverende
aangezichtsverlamming. Rosenthal beschreef in 1930 een zelfde patiënt, deze
patiënt had echter ook een fissuurtong (
lingua plicata). Tevens suggereerde
Rosenthal dat er een genetische predispositie zou kunnen zijn voor deze afwijkingen.
In 1945 werd door Miescher de term cheilitis granulomatosa geponeerd naar aanleiding
van een patiënt met herhaalde, chronische lipzwelling, gebaseerd op een (niet-verkazend)
granulomateus infiltraat en obstructie van lymfeafvoer. In recentere
literatuur wordt de term
orofaciale granulomatose gebruikt als overkoepelende
term voor alle granulomateuze afwijkingen in de orofaciale regio (inclusief
cheilitis granulomatosa als geïsoleerd verschijnsel, Melkersson Rosenthal
syndroom, M. Crohn en sarcoidosis). Sommige auteurs beschouwen cheilitis
granulomatosa niet als een apart ziektebeeld, maar als een onderdeel van (nog
niet gediagnostiseerde) sarcoidosis of M.Crohn.
| |
granulomateuze
zwelling lippen |
cobblestone
aspect mucosa |
mucosa
zwelling |
orale ulcera |
facialis
parese |
lingua plicata |
| Orofaciale granulomatosis |
+ |
+ |
+ |
(+) |
- |
- |
| Cheilitis granulomatosa |
+ |
- |
- |
- |
- |
- |
| Melkersson-Rosenthal syndroom |
+ |
- |
- |
- |
+ |
+ |
Etiologie:
Cheilitis granulomatosa is een zeldzaam ziektebeeld, waarvan de oorzaak tot
op heden onbekend is. Mogelijk is er sprake van een genetische predispositie.
Er zijn tot op heden geen aanwijzingen voor een infectieus agens. In de literatuur
worden enkele casus beschreven waarbij er een overlap is van cheilitis granulomatosa
met sarcoidosis of M. Crohn. Patiënten met cheilitis granulomatosa hebben waarschijnlijk
verhoogde kans op ontwikkelen van M.Crohn.
Klinisch beeld:
Mannen en vrouwen zijn gelijk aangedaan, de eerste presentatie kan al tijdens
kinderleeftijd, is meestal tijdens de adolescentie, maar kan ook op latere leeftijd.
De eerste verschijnselen zijn een plotselinge diffuse of nodulaire zwelling
van boven- of onderlip (75%), één of beide wangen (50%). Soms is er ook een
zwelling van het voorhoofd, de oogleden of de hoofdhuid. Aanvallen gaan soms
gepaard met koorts, milde hoofdpijn of visusklachten. De eerste aanval duurt
vaak enkele uren tot dagen, waarna de aanvallen in frequentie en duur toenemen,
uiteindelijk resulterend in persisterende zwelling. De zwelling wordt langzaam
harder, voelt uiteindelijk rubber-achtig aan en kan pijnlijk zijn. Daarbij kunnen
er fissuurtjes ontstaan van de lippen en rood-bruine verkleuring en schilfering
van lippenrood. Soms is er na enkele jaren spontane, langzame regressie. 20-40%
van de patiënten met cheilitis granulomatosa heeft een fissuurtong, soms al
bij geboorte (genetisch?), tevens hebben deze patiënten soms een verminderde
smaak en verminderde speekselproductie. 50% van de patiënten heeft vergrote
regionale lymfklieren. 30% van de patiënten ontwikkelt een aangezichtsverlamming,
soms al enkele jaren voor de eerste aanval van zwelling in het gelaat. De verlamming
is in eerste instantie vaak intermitterend, maar kan ook permanent worden. De
paralyse kan uni- en bilateraal voorkomen, partieel en compleet. Soms is er
ook betrokkenheid van andere craniale zenuwen (n.olfactorius, n.auditorius,
n.glossopharyngeus en n.hypoglossus).
![Cheilitis granulomatosa (click on photo to enlarge) [source: www.huidziekten.nl] Cheilitis granulomatosa](../../../images/cheilitis-granulomatosa-1z.jpg) |
![Cheilitis granulomatosa (click on photo to enlarge) [source: www.huidziekten.nl] Cheilitis granulomatosa](../../../images/cheilitis-granulomatosa-2z.jpg) |
![Cheilitis granulomatosa (click on photo to enlarge) [source: www.huidziekten.nl] Cheilitis granulomatosa](../../../images/cheilitis-granulomatosa-3z.jpg) |
| cheilitis
granulomatosa |
cheilitis
granulomatosa |
cheilitis
granulomatosa |
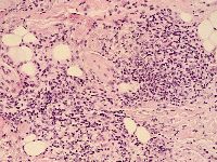
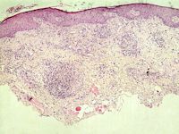
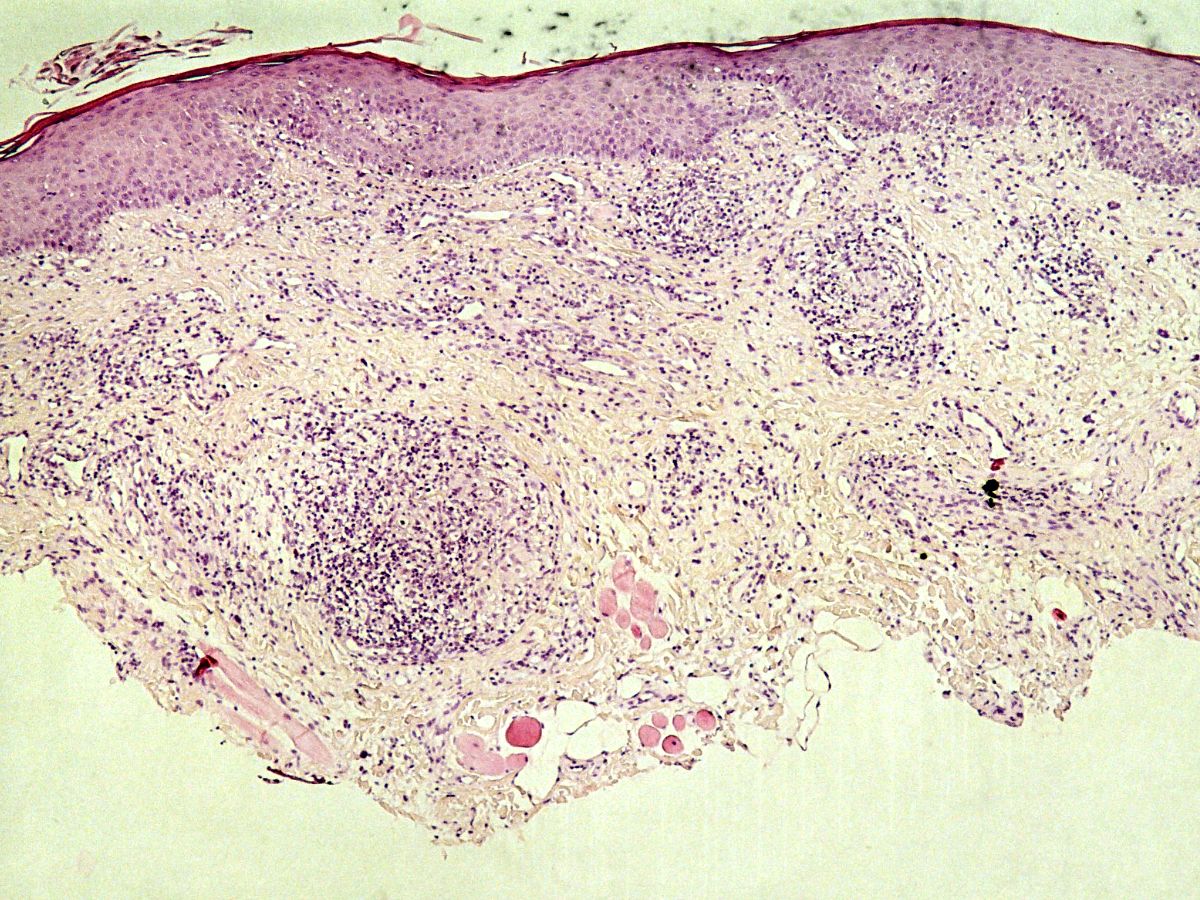
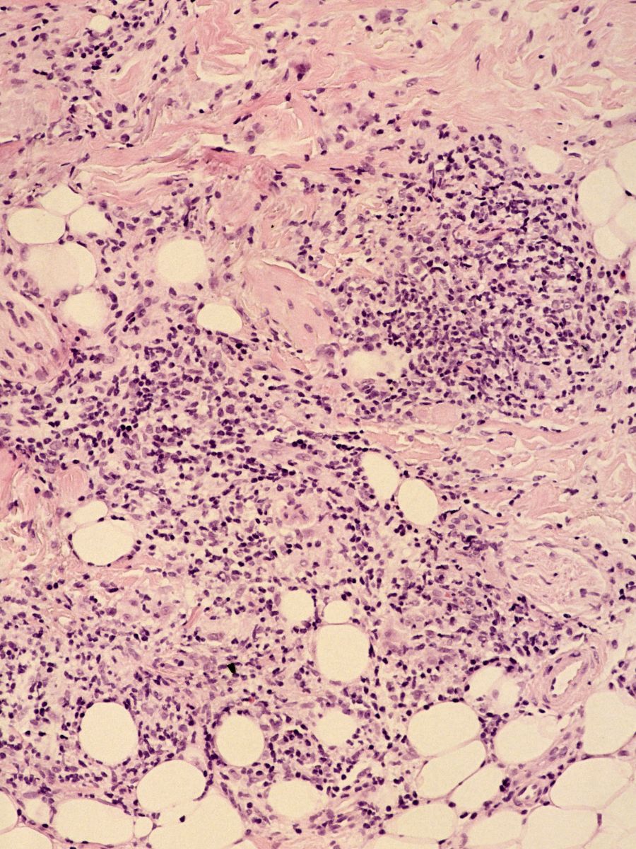
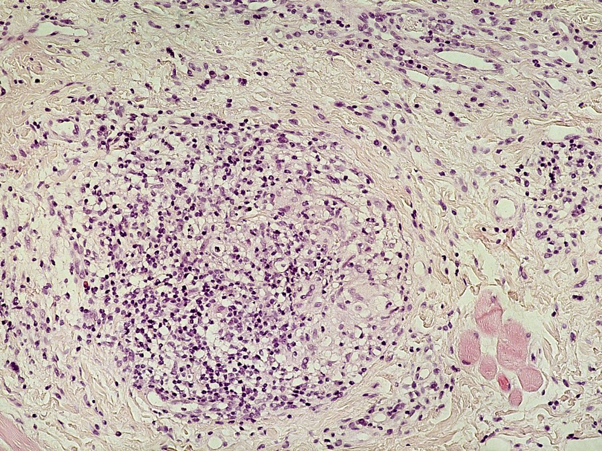
PA:- vroege stadia: oedeem en perivasculair infiltraat.
- later stadium: granuloomvorming, niet te onderscheiden van granuloomvorming
bij sarcoidosis of M.Crohn, soms soortgelijke afwijkingen in regionale lymfklieren.
![Cheilitis granulomatosa (click on photo to enlarge) [source: www.huidziekten.nl] Cheilitis granulomatosa](../../../images/cheilitis-granulomatosa-4z.jpg) |
![Cheilitis granulomatosa (click on photo to enlarge) [source: www.huidziekten.nl] Cheilitis granulomatosa](../../../images/cheilitis-granulomatosa-5z.jpg) |
![Cheilitis granulomatosa (click on photo to enlarge) [source: www.huidziekten.nl] Cheilitis granulomatosa](../../../images/cheilitis-granulomatosa-6z.jpg) |
| cheilitis
granulomatosa |
cheilitis
granulomatosa |
cheilitis
granulomatosa |
DD: histologisch is onderscheid met o.a. sarcoidosis
en M.Crohn niet te maken. Andere oorzaken van macrocheilitis moeten worden uitgesloten,
waaronder traumatisch, infectieus, angio-oedeem, EEM, actinische cheilitis,
syndromaal, o.b.v. lymfoedeem, neoplastisch, sarcoidosis, en M. Crohn.
Therapie (grotendeels casuistiek, behandeling is zeer moeizaam):
R/ intralesionale injectie met triamcinolon (10 mg/L) (tot 10 ml), na lokale
anaesthesie, bij effect de behandeling elke 4-6 maaanden herhalen.
R/
minocycline 1 dd 100 mg gedurende 4 maanden.
R/ chirurgische
reductie door de plastisch chirurg, in combinatie met corticosteroid injectie
(en/of systemische tetracycline)
R/ Lampren (clofazimine) lijkt bij de meerderheid
van de patiënten een effect te hebben, dosis: 2 dd 100 mg, gedurende 10 dagen,
vervolgens twee maal per week 100-200 mg gedurende 6 maanden.
Systemische
corticosteroïden lijken niet geïndiceerd, weinig effect en veel bijwerkingen.
Andere opties die worden gesuggereerd in case reports: metronidazol, langdurig
penicilline, tetracyclinen (anti-inflammatoir), erytromycine, sulfasalazine,
dapson, hydroxychloroquine, nicotinamide en ketotifen. De evidence is niet sterk
en zal gezien de zeldzaamheid van de aandoening ook niet toenemen.
R/ doxycycline 1 dd 100-200 mg.
R/ sulfasalazine 3 dd 500-1500
mg.
R/ Protopic (tacrolimus) 0.1% zalf 1-2 dd.
R/ fumaarzuur.
R/ nicotinamide
3 dd 100 mg.
R/ Dapson (diafenylsulfon) 1 dd 100-150 mg.
R/ Plaquenil
(hydroxychloroquine).
R/ metronidazol 2 dd 500 mg.
Referenties
| 1. |
Scully C. The oral cavity and lips. In: Burns
T, Breathnach S, Cox N, Griffiths C. Rook's textbook of dermatology
7nd ed. Blackwell 2004, Page 66. |
| 2. |
Shelley WB, Shelley ED. Advanced dermatologic
therapy II. Saunders 2001, page 215-217. |
| 3. |
van der Waal RI, Schulten EA, van de Scheur
MR, Wauters IM, Starink TM, van der Waal I. Cheilitis granulomatosa.
JEADV 2001;15:519-523. |
| 4. |
Sciubba JJ, Said-Al-Naief N. Orofacial granulomatosis:
presentation, pathology and management of 13 cases. J Oral Pathol
Med 2003;32:576-585. |
| 5. |
Leao JC, Hodgson T, Scully C, Porter S. Orofacial
granulomatosis. Aliment Pharmacol Ther 2004;20:1019-1027. |
Author(s):W.F.M. Goldschmidt. Dermatoloog, Ziekenhuis
Amstelland, Amstelveen.
dr. Jan R. Mekkes. Dermatologist, Amsterdam UMC.