Lineaire focale elastosis (
linear focal elastosis, elastotic striae) is een gelige of huidkleurige streepvormige horizontaal lopende verheven laesie laag op de rug. Het wordt veroorzaakt door een toename van elastinevezels in de dermis. Vaak zijn het meerdere horizontaal verlopende banden. Het kan ook voorkomen elders op de romp, op de onderbenen en in het gelaat.
![Lineaire focale elastosis (click on photo to enlarge) [source: Mohammad2018 - Wikimedia - Creative Commons License 4.0] Lineaire focale elastosis](../../../images/lineaire-focale-elastosis-1z.jpg) |
![Lineaire focale elastosis (click on photo to enlarge) [source: Mohammad Hosen - Wikimedia - Creative Commons License 3.0] Lineaire focale elastosis](../../../images/lineaire-focale-elastosis-2z.jpg) |
| lineaire focale elastosis |
lineaire focale elastosis |
Foto's: Mohammad2018 (Mohammad Hosen) - Wikimedia (Creative Commons License
4.0
/
3.0).
Lineaire focale elastosis lijkt erg op de
striae distensae die in de puberteit kunnen ontstaan ten gevolge van de groeispurt. Het verschil is dat lineaire focale elastosis verheven is en gelig of huidkleurig, en striae distensae verzonken zijn en roze of rood. Verder is het erg zeldzaam terwijl horizontale striae in de puberteit vaak voorkomen. Waarschijnlijk is er onderrapportage van lineaire focale elastosis, omdat het voor gewone striae wordt aangezien. Het komt voor vanaf 7 jaar tot aan volwassen leeftijd, net als de groeispurt-striae, maar het is ook op oudere leeftijd beschreven.
De oorzaak van lineaire focale elastosis is niet bekend. Een theorie is dat het een doorschietend reparatie mechanisme is van beschadigde elastine vezels. Als dat klopt dan is het misschien niet echt een aparte entiteit, maar een variant van striae met reactieve bindweefselvorming. Snelle groei en zwangerschap worden genoemd als mogelijke trigger, net als bij gewone striae.
DD: striae distensae,
elastoma (naevus elasticus).
Diagnostiek:De diagnose kan worden gesteld op het klinisch beeld. Eventueel een biopt afnemen (elastinekleuring aanvragen).
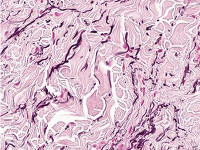
PA:Histologisch ziet men een toename van elastine, en/of abnormaal gevormde (dikke) elastinevezels. Het histologisch beeld lijkt op dat van een naevus elasticus.
Therapie:De aandoening veroorzaakt geen klachten,
behandeling is niet nodig. Geen behandelopties bekend.
Referenties
| 1. |
Garg M, Gupta A. Childhood Linear Focal
Elastosis. Indian Pediatr 2021;58(4):399. |
| 2. |
Seol JE, Kim DH, Cho GJ, Park SH, Jung
SY, Kim H. Linear focal elastosis: A case report and
institutional case series of 22 patients. Australas J Dermatol
2019;60(3):e261-e263. |
| 3. |
Omorodion IH, Wilson BB. What are these
raised, yellow, horizontal streaks on an older man’s back?
Consultant 2021;61(8):e11-e12. |
Author(s):dr. Jan R. Mekkes. Dermatologist, Amsterdam UMC.