Ketogene rash (
keto-rash)
is een huiduitslag die klinisch lijkt op
prurigo pigmentosa,
maar die wordt veroorzaakt door het rigoureus volgen van een
ketogeen
dieet. De rash ontstaat gemiddeld een maand na het starten met
het dieet. Het ketogeen dieet of hoog vet - laag koolhydraat-dieet is een dieet
waarbij er een hoge inname is van vetten en een zeer lage inname van koolhydraten,
maximaal 50 gram per dag.
Prurigo
pigmentosa is een zeldzame jeukende eruptie opgebouwd uit erythemateuze
papels die kunnen conflueren tot een reticulair patroon. Het wordt vooral gezien
op de rug en op de borst en laat post-inflammatoire hyperpigmentatie achter.
Het is voor het eerst beschreven door Nagashima et al. in 1971 en het komt vooral
voor bij Aziatische (met name Japanse) patiënten, twee keer zo vaak bij vrouwen
dan bij mannen. De gemiddelde leeftijd is 24 jaar. De oorzaak van prurigo pigmentosa
is niet bekend. Als mogelijke verklaringen voor het beeld zijn genoemd zweten,
frictie van kleren, atopisch eczeem, contacteczeem, diabetes, zwangerschap,
anorexia nervosa, gewichtsverlies, en nu dus ook
ketose
(
ketosis). Sinds het ketogeen
dieet in zwang is geraakt zijn er steeds meer gevallen van ketogene rash /
prurigo pigmentosa door keto-dieet beschreven. De meeste patiënten waren
Aziatisch of afkomstig uit het Midden-Oosten, maar ook onder Europeanen is
het beschreven.
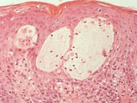
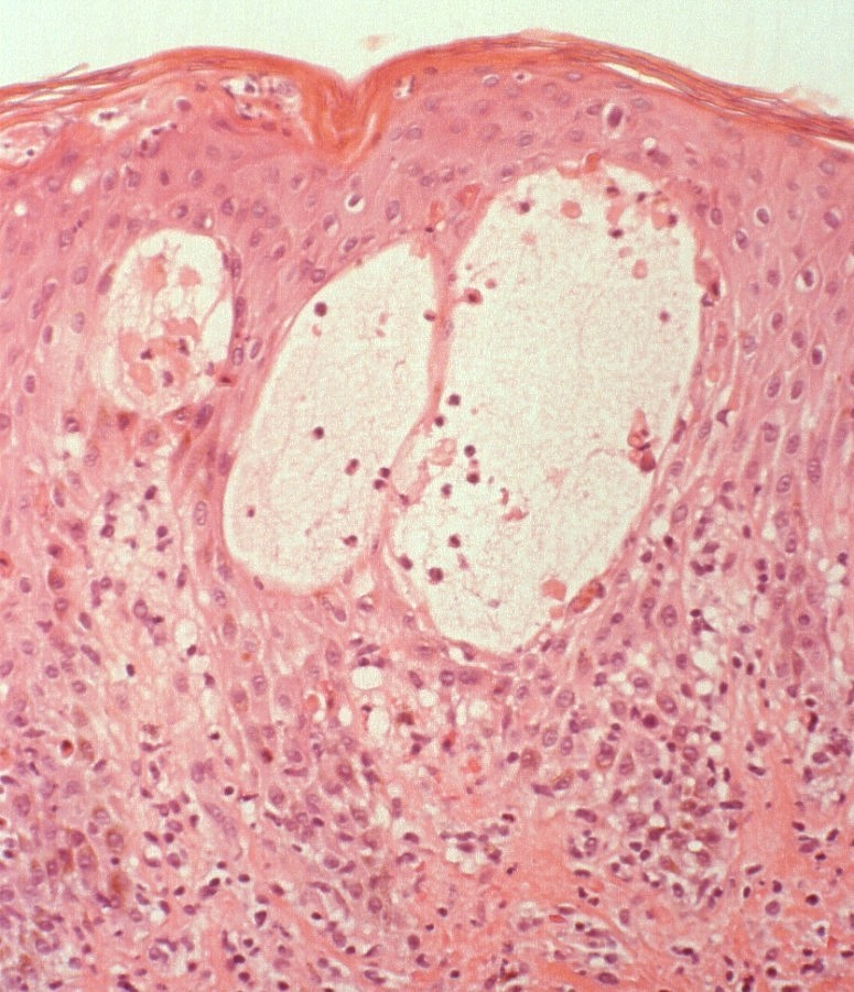
![Prurigo pigmentosa (click on photo to enlarge) [source: www.huidziekten.nl] Prurigo pigmentosa](../../../images/prurigo-pigmentosa-3z.jpg) |
![Prurigo pigmentosa (click on photo to enlarge) [source: www.huidziekten.nl] Prurigo pigmentosa](../../../images/prurigo-pigmentosa-4z.jpg) |
| prurigo pigmentosa |
Men spreekt van
ketose of
ketogene
toestand als er een verhoogde concentratie ketonen in het bloed
is, veroorzaakt door afbraak van vetzuren (ketogenese). Ketogenese vindt plaats
als de afbraak van koolhydraten onvoldoende energie levert aan het lichaam.
Er wordt dan van een koolhydraatverbranding overgegaan op vetverbranding, met
verbruik van vetzuren en ketonen. Men neemt aan dat de verhoogde concentratie
ketonen een perivasculair neutrofiel infiltraat kunnen induceren. Een verhoogde
concentratie ketonen is eenvoudig aan te tonen met een urine test (Ketostix);
fervente volgers van een ketogeen dieet gebruiken deze sticks om hun keto-toestand
te meten.
 |
| Ketostix
urinetest |
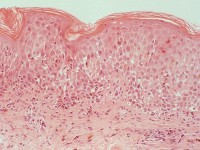
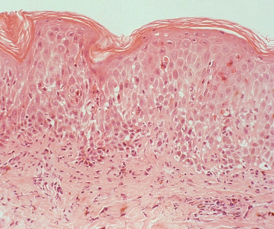
PA:In de beginfase een oppervlakkig perivasculair
neutrofiel infiltraat, later spongiose, necrotische keratinocyten en infiltraat
met lymfocyten en eosinofielen. Tevens pigmentincontinentie met melanofagen
in de papillaire dermis.
![Histologie prurigo pigmentosa (click on photo to enlarge) [source: www.derm101.com] Histologie prurigo pigmentosa](../../../images/prurigo-pigmentosa-PA-1z.jpg) |
![Histologie prurigo pigmentosa (click on photo to enlarge) [source: www.derm101.com] Histologie prurigo pigmentosa](../../../images/prurigo-pigmentosa-PA-2z.jpg) |
| prurigo
pigmentosa (PA) |
prurigo
pigmentosa (PA) |
Foto's: www.derm101.com.
Therapie:Stoppen met het koolhydraat arme keto-dieet.
Hierdoor verdwijnt na gemiddeld 18 dagen de rash, maar er kan wel hyperpigmentatie
achterblijven. Ook tetracyclinen worden genoemd als therapie, waarschijnlijk
door hun anti-inflammatoire effect, het remmen van neutrofielen chemotaxis.
R/ doxycycline 1 dd 100 mg.
R/ minocycline 1 dd 50-100 mg.
Referenties
| 1. |
Nagashima M. A peculiar pruriginous dermatosis
with gross reticular pigmentation. Jpn J Dermatol 1971;81:38-39.
Nakada T, Sueki H, Iijima M. Prurigo pigmentosa (Nagashima) associated
with anorexia nervosa. Clin Exp Dermatol 1998;23:25-27. |
| 2. |
Ohnishi T, Kisa H, Ogata E et al. Prurigo
pigmentosa associated with diabetic ketoacidosis. Acta Derm Venereol
2000;80:447-448. |
| 3. |
Michaels JD, Hoss E, DiCaudo DJ, Price H.
Prurigo pigmentosa after a strict ketogenic diet. Pediatr Dermatol
2015;32(2):248-51. |
| 4. |
Alkeraye S, AlMuqrin A, AlQahtani SM, et
al. Twenty-five year-old female with sudden onset itchy skin eruption
over her upper back and chest three weeks after starting a ketogenic
diet. Ann Saudi Med 2019;39(6):444-5. |
| 5. |
Alshaya MA, Turkmani MG, Alissa AM. Prurigo
pigmentosa following ketogenic diet and bariatric surgery: A growing
association. JAAD Case Rep 2019 Jun 1;5(6):504-507. |
| 6. |
Au J, Jaros J, Wang S, Flischel A. Prurigo
pigmentosa: A case of the” keto rash”. J Am Acad Dermatol 2019;81(4):
AB260-AB260. |
| 7. |
Lonowski S, Levins P. A unique case of prurigo
pigmentosa related to ketogenic diet. Dermatol Online J 2020;26(2). |
| 8. |
Delaleu J, Grynberg-Laloum E, Moguelet P,
Hamann P, Francès C, Barbaud A, Senet P. Prurigo pigmentosa induced
by ketosis ("keto rash"): a demonstrative case and internet search
results. Int J Dermatol 2020;59(7):876-877. |
| 9. |
Ben Hamouda M, Ghariani Fetoui N, Ghariani
N, Boussofara L, Denguezli M. Prurigo Pigmentosa Following Ketogenic
Diet. Am J Med 2021 Apr;134(4):e291-e292. |
| 10. |
Xiao A, Kopelman H, Shitabata P, Nami N.
Ketogenic Diet-induced Prurigo Pigmentosa (the "Keto Rash"): A Case
Report and Literature Review. J Clin Aesthet Dermatol 2021;14(12
Suppl 1):S29-S32.
PDF |
Author(s):dr. Jan R. Mekkes. Dermatologist, Amsterdam UMC.