EOSINOFIEL GRANULOOM home ICD10: C96.6

Een eosinofiel granuloom is een plaatselijke proliferatie van Langerhans cellen (unifocale Langerhans-cell histiocytose) in botten, huid, mondholte, longen of maag. Zie onder Langerhans cel histiocytose.

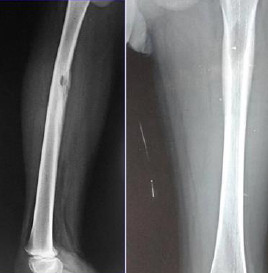
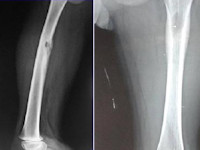
Bothaard langerhanscellen
bothaarden

X-foto: Patnaik S. et al. Imaging of Osseous Lesions in Langerhans Cell Histiocytosis (LCH). Indian J Appl Radiol 2017;3(1):114 (Creative Commons License 3.0 - Open Access Journal).


Author(s):
dr. Jan R. Mekkes. Dermatologist, Amsterdam UMC.

31-05-2023 (JRM) - www.skin-diseases.eu Terug naar homepagina



Diagnosis codes:
ICD10 C96.6 Unifocale Langerhans-cell histiocytose
ICD10 C96.6 Unifocal Langerhans-cell histiocytosis
SNOMED 129000002 Langerhans cell histiocytosis, unifocal
DBC 27 spacer Diagnose niet nader omschreven

ICD10 C96.6 Unifocale Langerhans-cell histiocytose: eosinofiel granuloom bot
ICD10 C96.6 Unifocal Langerhans-cell histiocytosis: eosinophilic granuloma of bone
SNOMED 238476000 Eosinophilic granuloma of bone
DBC 27 spacer Diagnose niet nader omschreven

ICD10 K13.4 Granuloom en granuloomachtige afwijkingen van mondslijmvlies: eosinofiel granuloom
ICD10 K13.4 Granuloma and granuloma-like lesions of oral mucosa: eosinophilic granuloma
SNOMED 8090002 Eosinophilic granuloma of oral mucosa
DBC 27 spacer Diagnose niet nader omschreven