Elastosis senilis (dyselastosis actinica,
solaire elastosis) is het verval van de elasticiteit van de
huid bij het ouder worden. Blootstelling aan UVB speelt daarbij een belangrijke
rol, en daarom wordt vaker de term solaire elastose of solaire dyselastosis
gebruikt. Hoe groot het effect is van zonlicht is goed te zien door bij een
ouder persoon te kijken naar de hoeveelheid rimpels op het gelaat, de armen,
de handruggen en dit te vergelijken met de binnenkant van de bovenarm, waar
nooit zon komt. Daar is de huid nog rimpelloos, blank, gaaf en soepel. Solaire
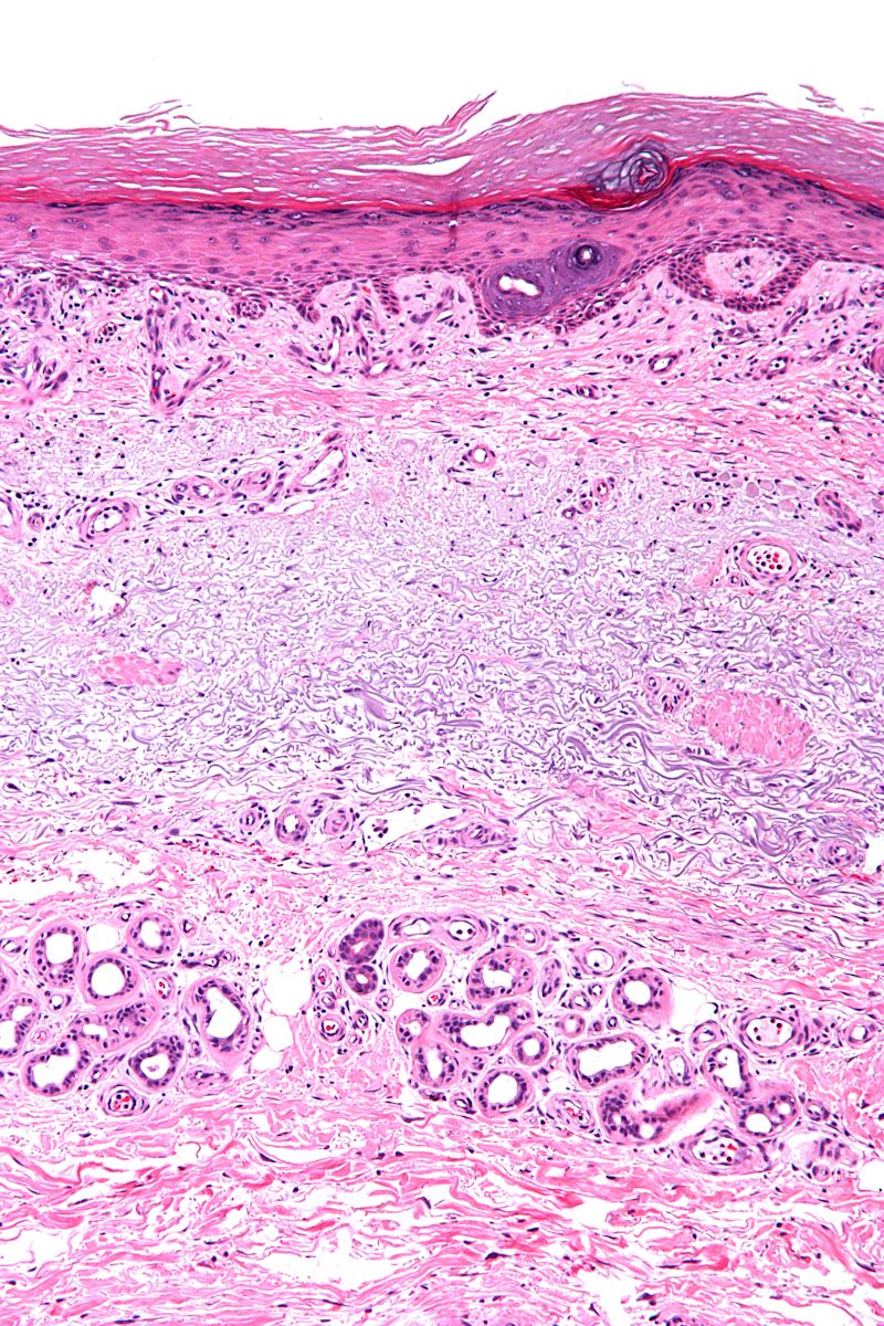
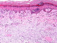
elastosis is ook een PA term, de degeneratie van het collageen en de elastine
vezels is ook histologisch zichtbaar: vaak is er een blauwgrijze (basofiele)
verkleuring hoog in de dermis.
![Actinische beschadiging van de huid (click on photo to enlarge) [source: Flickr - Creative Commons License 1.0 - Public Domain Image] Actinische beschadiging van de huid](../../../images/solardamage1z.jpg) |
![Solaire elastosis (click on photo to enlarge) [source: Michael Bonert (Nephron) - Wikimedia - Creative Commons License 3.0] Solaire elastosis](../../../images/solaire-elastosis-1z.jpg) |
![Solaire elastosis (click on photo to enlarge) [source: Michael Bonert (Nephron) - Wikimedia - Creative Commons License 3.0] Solaire elastosis](../../../images/solaire-elastosis-2z.jpg) |
| rimpels
en plooien |
solaire
dyselastosis |
solaire
dyselastosis |
Foto: Flickr - Public Domain Image
PA-Foto's: Michael Bonert
(Nephron) - Wikimedia - Creative Commons License
3.0
De huidveranderingen die ontstaan bij het ouder worden onder invloed
van zonlicht worden ook wel
photoaging of
actinische beschadiging genoemd, of
degeneratio cutis praesenilis actinica.
De elastine vezels, die de elasticiteit van de huid bepalen, het weer terug
in model komen na uitrekken, raken beschadigd, gefragmenteerd en gaan deels
verloren. Ook collageen vezels, die de maximale uitrekbaarheid van de huid beperken,
raken beschadigd. Klinisch ontstaan er rimpels en groeven. Vaak is de huid ook
gehyperpigmenteerd, met multipele zongeïnduceerde melanocytaire afwijkingen
(lentigo solaris, lentigo maligna, lentigo maligna melanoma) en premaligne en
maligne klonale expansies van beschadigde keratinocyten (actinische keratose,
benigne lichenoide keratose, non melanoma skin cancer). In de nek kunnen diepe
ruitvormige groeven ontstaan (
cutis
rhomboidalis nuchae). In het gelaat vergroving van het relief van de huid
en multipele gedilateerde comedonen (
Favre
Racouchot). Op het coeur een patroon van hyperpigmentatie, hypopigmentatie
en teleangiëctasiën dat
poikiloderma
van Civatte wordt genoemd, en
erythrosis interfollicularis
colli als het in de hals zit.
Therapie:R/ Tretinoïne crème 0.05% of tazarotene
crème 0.05-0.1% (niet in Nederland geregistreerd), mits langdurig (maanden)
toegepast, maken de huid zachter, egaliseren kleinere rimpels en verminderen
hyperpigmentatie. Het histologisch substraat van deze veranderingen is dat de
epidermis dikker wordt, de hoornlaag compacter, en dat de hoeveelheid melanine
afneemt.
R/ Fruitzuur (glycolzuur e.a.) peelings.

Dermabrasie.

CO2 laser
resurfacing.

IPL (Intense
Pulse Light).

Hyaluronzuur
fillers en andere fillers.
Author(s):dr. Jan
R. Mekkes. Dermatologist, Amsterdam UMC.