Casus pro diagnosi (
CPD): huidafwijking waarop (nog)
geen diagnose kan worden gesteld.
In dit tijdperk van automatisering
en DBC codes is het steeds belangrijker om precies af te spreken wat valt
onder een bepaalde diagnose.
Met casus pro diagnosi (geval waar nog een
diagnose op moet worden gesteld) wordt bedoeld dat er huidafwijkingen te
zien zijn waarop geen of nog geen diagnose kan worden gesteld. Het kan dan
zijn dat het gaat om een zeldzame diagnose, die niet herkend wordt, of een
vreemde variant die niet goed ergens onder valt te plaatsen, of een geheel
nieuwe entiteit.
In de wandelgangen wordt de term CPD ook gebruikt
om collega dermatologen op te roepen om te komen kijken naar een patiƫnt met
een bijzondere of onduidelijke diagnose, ten behoeve van onderwijs of
overleg.
Hieronder een aantal voorbeelden van CPD's.
![Casus pro diagnosi (click on photo to enlarge) [source: www.huidziekten.nl] Casus pro diagnosi](../../../images/CPD/cpd-1az.jpg) |
![Casus pro diagnosi (click on photo to enlarge) [source: www.huidziekten.nl] Casus pro diagnosi](../../../images/CPD/cpd-1bz.jpg) |
| CPD 1 |
CPD 1 |
|
|
Hypopigmentatie in een asymmetrisch patroon bij een
jongeman. |
| |
|
|
![Casus pro diagnosi (click on photo to enlarge) [source: www.huidziekten.nl] Casus pro diagnosi](../../../images/CPD/cpd-2az.jpg) |
![Casus pro diagnosi (click on photo to enlarge) [source: www.huidziekten.nl] Casus pro diagnosi](../../../images/CPD/cpd-2bz.jpg) |
| CPD 2 |
CPD 2 |
|
|
Acanthose / hyperkeratose beperkt tot de dorsale
zijde van de distale kootjes van de handen. Verlies van de
normale huidlijnen ter plaatse. Verbrede cuticula met niet zichtbare lunula.
Alle
vingers zijn aangedaan. Exclusief voorkomend bij personen met een donkere
huid. |
| |
|
|
![Casus pro diagnosi (click on photo to enlarge) [source: www.huidziekten.nl] Casus pro diagnosi](../../../images/CPD/cpd-3az.jpg) |
![Casus pro diagnosi (click on photo to enlarge) [source: www.huidziekten.nl] Casus pro diagnosi](../../../images/CPD/cpd-3bz.jpg) |
| CPD 3 |
CPD 3 |
|
|
Deuken en gedilateerde talgklier openingen
(comedonen) in beide
oorschelpen bij een meisje. |
| |
|
|
![Casus pro diagnosi (click on photo to enlarge) [source: www.huidziekten.nl] Casus pro diagnosi](../../../images/CPD/cpd-4az.jpg) |
![Casus pro diagnosi (click on photo to enlarge) [source: www.huidziekten.nl] Casus pro diagnosi](../../../images/CPD/cpd-4bz.jpg) |
| CPD 4 |
CPD 4 |
|
|
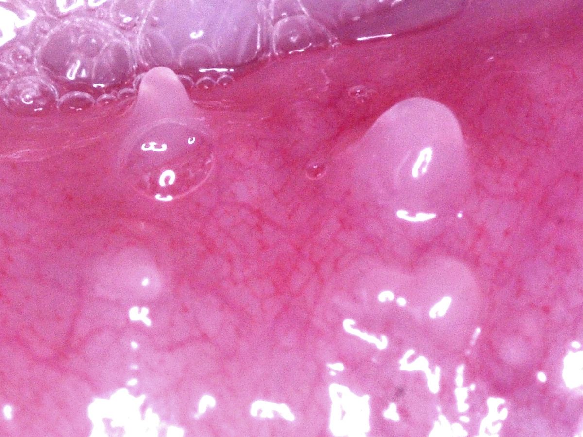
Uitstulpingen aan de binnenkant van de lip bij een
pasgeborene. |
| |
|
|
![Casus pro diagnosi (click on photo to enlarge) [source: www.huidziekten.nl] Casus pro diagnosi](../../../images/CPD/cpd-5az.jpg) |
![Casus pro diagnosi (click on photo to enlarge) [source: www.huidziekten.nl] Casus pro diagnosi](../../../images/CPD/cpd-5bz.jpg) |
| CPD 5 |
CPD 5 |
|
|
Huidkleurige papeltjes over het hele lichaam,
langzaam toenemend. Histologisch geen afwijkingen, geen verruca
plana, geen lichen nitidus, geen virale kenmerken, geen naevus. |
| |
|
|
![Casus pro diagnosi (click on photo to enlarge) [source: www.huidziekten.nl] Casus pro diagnosi](../../../images/CPD/cpd-6az.jpg) |
![Casus pro diagnosi (click on photo to enlarge) [source: www.huidziekten.nl] Casus pro diagnosi](../../../images/CPD/cpd-6bz.jpg) |
| CPD 6 |
CPD 6 |
|
|
Hard aanvoelende nodi in de oorschelpen van een
verder geheel gezonde jongeman. |
| |
|
|
![Casus pro diagnosi (click on photo to enlarge) [source: www.huidziekten.nl] Casus pro diagnosi](../../../images/CPD/cpd-7az.jpg) |
![Casus pro diagnosi (click on photo to enlarge) [source: www.huidziekten.nl] Casus pro diagnosi](../../../images/CPD/cpd-7bz.jpg) |
| CPD 7 |
CPD 7 |
|
|
Folliculair gerangschikte afwijkingen alleen op de
linkerwang bij een jonge vrouw. |
| |
|
|
Author(s):dr. Jan R. Mekkes. Dermatologist, Amsterdam UMC.