Bij het
Sjögren syndroom is er een chronische
ontsteking rond de
speekselklieren en
traanvochtklieren met als gevolg droge mond en droge ogen. De
diagnose wordt vooral gesteld op het klinisch beeld, de serologie (kernantigenen,
SS-A (Ro), SS-B (La)), meting traanproductie met filtreerpapiertjes, maar ook
een biopt van een speekselklier kan behulpzaam zijn. Hiervoor wordt een incisie
gemaakt van ca 1 cm lengte aan de binnenkant van de lip. Door stomp te spreiden
zijn meestal enkele speekselkliertjes te zien. Deze kunnen met een pincet of
klem naar buiten worden getrokken. Liefst enkele (2-3) proberen te pakken en
in een formaline potje insturen. Daarna sluiten met dunne oplosbare draad, bijvoorbeeld
vicryl (rapide) 5-0. Om dit goed te kunnen doen is assistentie nodig (en veel
gazen vanwege het bloeden). Het beoordelen van een
minor salivary
gland biopt (MSGB) is geen routinezaak en moet gedaan worden door
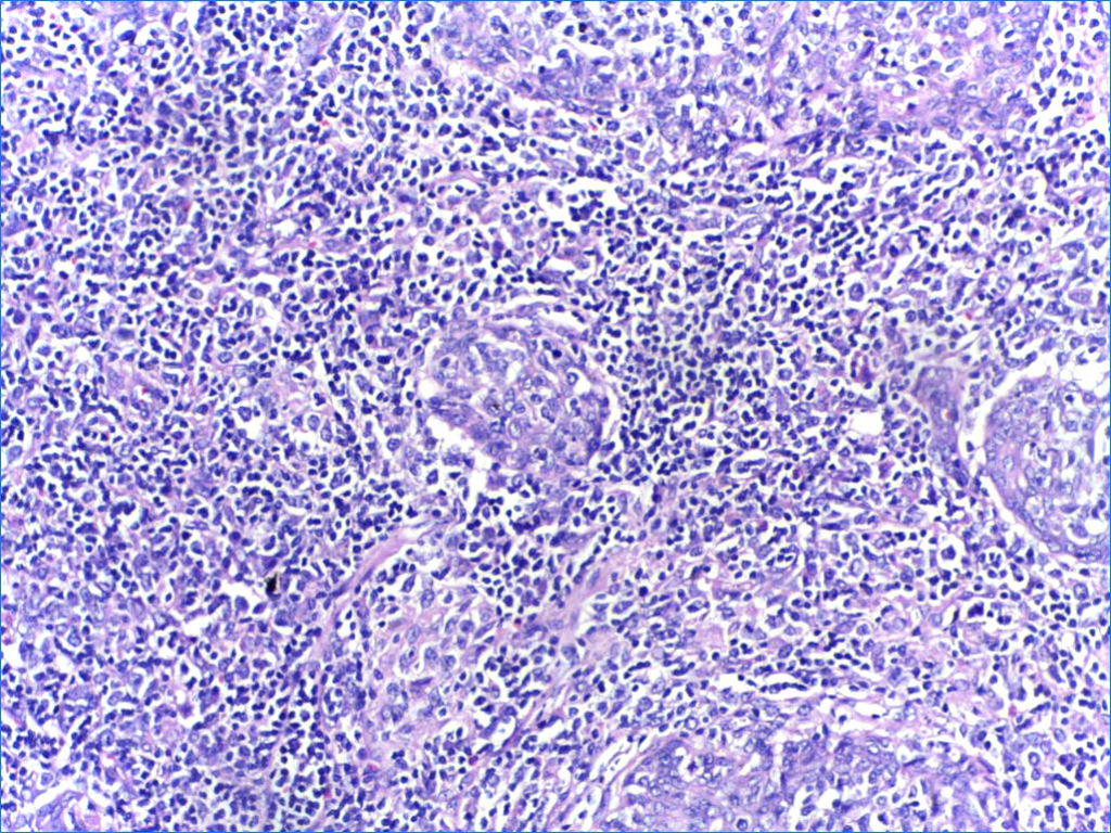
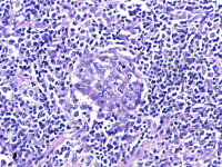
een patholoog die er ervaring mee heeft. Histologisch ziet men een dicht lymfocytair
infiltraat rond de speekselklieren en afvoergangen. De sensitiviteit en specificiteit
is niet erg hoog, volgens sommige auteurs is de meerwaarde t.o.v. anamnese en
serologie niet heel groot. Aankleuren van IgG, IgA of IgM wordt in sommige artikelen
aangeraden. Zie verder onder
Sjögren
syndroom.
![Biopt speekselklier bij het Sjögren syndroom (click on photo to enlarge) [source: Department of Pathology, Calicut Medical College - Wikimedia - Creative Commons License 4.0] Biopt speekselklier bij het Sjögren syndroom](../../../images/salivary-gland-biopsy-sjogren-1z.jpg) |
| biopt
speekselklier Sjögren |
PA-Foto: Department of Pathology, Calicut Medical College - Wikimedia
(Creative Commons License
4.0).

Video van het afnemen van een speekselklierbiopt van Sara McCoy (University
of Wisconsin School of Medicine and Public Health) en Bob Ike (University of
Michigan).
Referenties
| 1. |
Santiago ML, Seisdedos MR, Garcia Salinas
RN, Catalán Pellet A, Villalón L, Secco A. Usefulness of antibodies
and minor salivary gland biopsy in the study of sicca syndrome in
daily clinical practice. Reumatol Clin 201511(3):156-260. |
| 2. |
Guellec D, Cornec D, Jousse-Joulin S, Marhadour
T, Marcorelles P, Pers JO, Saraux A, Devauchelle-Pensec V. Diagnostic
value of labial minor salivary gland biopsy for Sjögren's syndrome:
a systematic review. Autoimmun Rev 2013 Jan;12(3):416-420. |
| 3. |
Salomonsson S, Rozell BL, Heimburger M, Wahren-Herlenius
M. Minor salivary gland immunohistology in the diagnosis of primary
Sjögren's syndrome. J Oral Pathol Med 2009;38(3):282-288. |
Author(s):dr. Jan R. Mekkes. Dermatologist, Amsterdam UMC.