Acrodermatitis acidemica is een verzamelnaam voor
op
acrodermatitis enteropathica
lijkende stofwisselingsziekten bij neonaten, veroorzaakt door stoornissen in
het aminozuur metabolisme (
disorders of metabolism of branched-chain
amino acids). Een van de oorzaken is een stoornis in het isoleucine
metabolisme, met een tekort aan isoleucine. Maar ook andere afwijkingen zoals
glutaric acidemia type I en type II, methylmalonzuurdeficiëntie, propionzuur
aciduria, maple syrup urine disease en andere deficiënties van essentiële aminozuren
kunnen acrodermatitis acidemica veroorzaken.
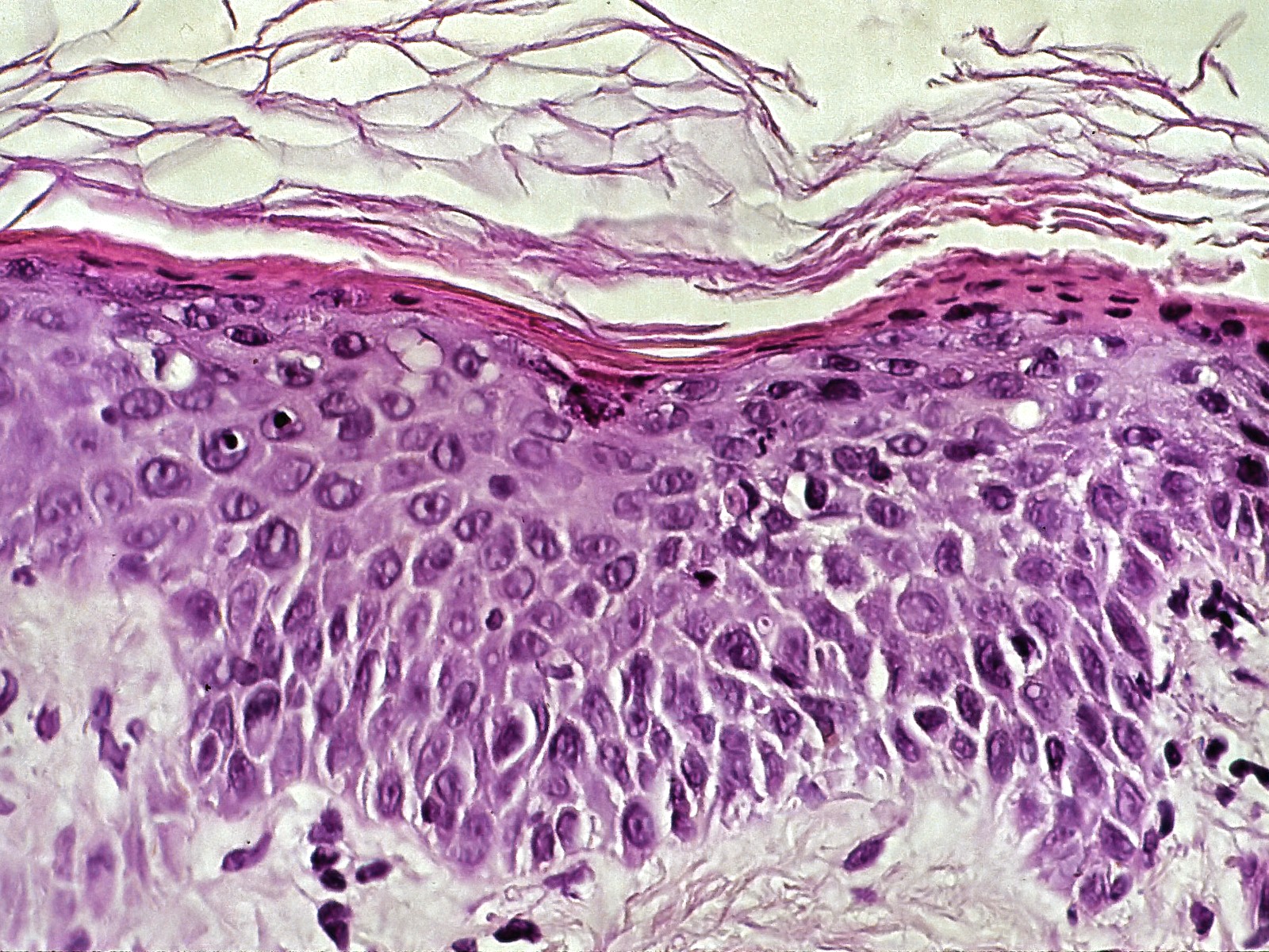
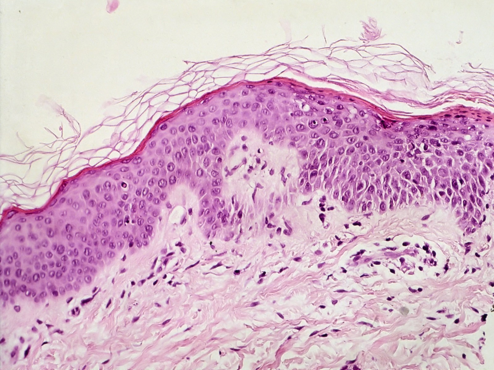
![Acrodermatitis acidemica (click on photo to enlarge) [source: www.huidziekten.nl] Acrodermatitis acidemica](../../../images/acrodermatis-acidemica-1z.jpg) |
![Acrodermatitis acidemica (click on photo to enlarge) [source: www.huidziekten.nl] Acrodermatitis acidemica](../../../images/acrodermatis-acidemica-2z.jpg) |
![Acrodermatitis acidemica (click on photo to enlarge) [source: www.huidziekten.nl] Acrodermatitis acidemica](../../../images/acrodermatis-acidemica-3z.jpg) |
| acrodermatitis
acidemica |
acrodermatitis
acidemica |
acrodermatitis
acidemica |
![Acrodermatitis acidemica (click on photo to enlarge) [source: www.huidziekten.nl] Acrodermatitis acidemica](../../../images/acrodermatis-acidemica-4z.jpg) |
![Acrodermatitis acidemica (click on photo to enlarge) [source: www.huidziekten.nl] Acrodermatitis acidemica](../../../images/acrodermatis-acidemica-5z.jpg) |
![Acrodermatitis acidemica (click on photo to enlarge) [source: www.huidziekten.nl] Acrodermatitis acidemica](../../../images/acrodermatis-acidemica-6z.jpg) |
| acrodermatitis
acidemica |
acrodermatitis
acidemica |
acrodermatitis
acidemica |
Klinisch beeld:Schilferende en erythemateuze
dermatitis, opgebouwd uit erythemateuze, droge, schilferende
plaques, rond de lichaamsopeningen (peri-anaal, rond de mond) en soms ook aan
de acra (voeten, handjes, benen).
Referenties
| 1. |
Gehrig KA, Dinulos JG. Acrodermatitis due
to nutritional deficiency. Curr Opin Pediatr 2010;22(1):107-112. |
| 2. |
Niiyama S, Koelker S, Degen I, Hoffmann GF,
Happle R, Hoffmann R. Acrodermatitis acidemica secondary to malnutrition
in glutaric aciduria type I. Eur J Dermatol 2001;11(3):244-246. |
| 3. |
Dominguez-Cruz J, Bueno-Delgado M, Bernabeu-Wittel
J, Delgado-Pecellin C, Conejo-Mir J. Acrodermatitis acidemica: experience
of 5 years in Andalusia. Pediatr Dermatol 2010;27(2):218-219. |
| 4. |
Tabanlioğlu D, Ersoy-Evans S, Karaduman A.
Acrodermatitis enteropathica-like eruption in metabolic disorders:
acrodermatitis dysmetabolica is proposed as a better term. Pediatr
Dermatol 2009;26(2):150-154. |
Author(s):dr. Jan R. Mekkes. Dermatologist, Amsterdam UMC.